• 文献检索
  • 文档翻译
  • 深度研究
  • 学术资讯
  • Suppr Zotero 插件Zotero 插件
  • 邀请有礼
  • 套餐&价格
  • 历史记录
应用&插件
Suppr Zotero 插件Zotero 插件浏览器插件Mac 客户端Windows 客户端微信小程序
定价
高级版会员购买积分包购买API积分包
服务
文献检索文档翻译深度研究API 文档MCP 服务
关于我们
关于 Suppr公司介绍联系我们用户协议隐私条款
关注我们

Suppr 超能文献

核心技术专利:CN118964589B侵权必究
粤ICP备2023148730 号-1Suppr @ 2026

文献检索

告别复杂PubMed语法,用中文像聊天一样搜索,搜遍4000万医学文献。AI智能推荐,让科研检索更轻松。

立即免费搜索

文件翻译

保留排版,准确专业,支持PDF/Word/PPT等文件格式,支持 12+语言互译。

免费翻译文档

深度研究

AI帮你快速写综述,25分钟生成高质量综述,智能提取关键信息,辅助科研写作。

立即免费体验

一名患有多发性黑色素瘤和丛状神经纤维瘤的女性9号染色体短臂2区1带生殖系缺失的分子定义:对9p肿瘤抑制基因的意义

Molecular definition of a chromosome 9p21 germ-line deletion in a woman with multiple melanomas and a plexiform neurofibroma: implications for 9p tumor-suppressor gene(s).

作者信息

Petty E M, Gibson L H, Fountain J W, Bolognia J L, Yang-Feng T L, Housman D E, Bale A E

机构信息

Departments of Genetics, Yale University School of Medicine, New Haven, Cambridge.

出版信息

Am J Hum Genet. 1993 Jul;53(1):96-104.

PMID:8317504
原文链接:https://pmc.ncbi.nlm.nih.gov/articles/PMC1682234/
Abstract

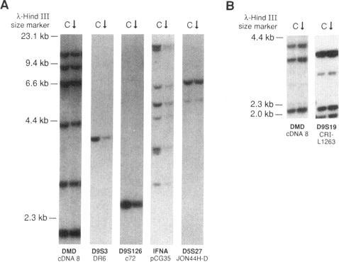
Cutaneous malignant melanoma (CMM) is often familial, but the mode of inheritance and the chromosomal location of melanoma susceptibility locus are controversial. Identification of a 34-year-old woman with eight primary malignant melanomas, multiple atypical moles, and a de novo constitutional cytogenetic rearrangement involving chromosomes 5p and 9p suggested the presence of a melanoma predisposition gene at one of these locations. A high-resolution karyotype showed a partial deletion of a dark-staining Giemsa band, either 5p14 or 9p21. The patient was heterozygous for five 5p14 RFLPs. In situ hybridization with D9S3 indicated that this 9p21 marker was deleted. Gene dosage studies demonstrated the deletion of two more distal 9p21 markers, D9S126 and IFNA. In addition, she was hemizygous for the more proximal 9p21 short tandem-repeat polymorphism at D9S104. D9S18, D9S19, and D9S33 were retained, localizing the deletion to 9p21 between D9S19 on the proximal side and D9S33 on the distal side. Pulsed-field gel electrophoresis with D9S19 and D9S33 did not reveal any junction fragments in the patient's DNA. This germ-line deletion suggests that mutations in a 9p21 gene may initiate melanoma tumorigenesis.

摘要

皮肤恶性黑色素瘤(CMM)通常具有家族性,但黑色素瘤易感基因座的遗传模式和染色体定位存在争议。一名34岁女性患有8处原发性恶性黑色素瘤、多个非典型痣,并且存在涉及5号染色体短臂(5p)和9号染色体短臂(9p)的新生染色体组型重排,这表明在这些位置之一存在黑色素瘤易感基因。高分辨率核型分析显示一条深染的吉姆萨带部分缺失,要么是5p14,要么是9p21。该患者对于5个5p14限制性片段长度多态性(RFLP)呈杂合状态。用D9S3进行原位杂交表明该9p21标记缺失。基因剂量研究证实另外两个位于9p21远端的标记D9S126和IFNA缺失。此外,她在更靠近近端的D9S104处的9p21短串联重复多态性上呈半合子状态。D9S18、D9S19和D9S33保留,将缺失定位在近端的D9S19和远端的D9S33之间的9p21区域。用D9S19和D9S33进行脉冲场凝胶电泳未在患者DNA中发现任何连接片段。这种种系缺失提示9p21基因中的突变可能引发黑色素瘤的肿瘤发生。

https://cdn.ncbi.nlm.nih.gov/pmc/blobs/2355/1682234/c0b1337c58b0/ajhg00052-0107-b.jpg
https://cdn.ncbi.nlm.nih.gov/pmc/blobs/2355/1682234/e6107b479e1b/ajhg00052-0106-a.jpg
https://cdn.ncbi.nlm.nih.gov/pmc/blobs/2355/1682234/d542340d9ac5/ajhg00052-0107-a.jpg
https://cdn.ncbi.nlm.nih.gov/pmc/blobs/2355/1682234/c0b1337c58b0/ajhg00052-0107-b.jpg
https://cdn.ncbi.nlm.nih.gov/pmc/blobs/2355/1682234/e6107b479e1b/ajhg00052-0106-a.jpg
https://cdn.ncbi.nlm.nih.gov/pmc/blobs/2355/1682234/d542340d9ac5/ajhg00052-0107-a.jpg
https://cdn.ncbi.nlm.nih.gov/pmc/blobs/2355/1682234/c0b1337c58b0/ajhg00052-0107-b.jpg

相似文献

1
Molecular definition of a chromosome 9p21 germ-line deletion in a woman with multiple melanomas and a plexiform neurofibroma: implications for 9p tumor-suppressor gene(s).一名患有多发性黑色素瘤和丛状神经纤维瘤的女性9号染色体短臂2区1带生殖系缺失的分子定义:对9p肿瘤抑制基因的意义
Am J Hum Genet. 1993 Jul;53(1):96-104.
2
Homozygous deletions within human chromosome band 9p21 in melanoma.
Proc Natl Acad Sci U S A. 1992 Nov 1;89(21):10557-61. doi: 10.1073/pnas.89.21.10557.
3
Refined localization of the melanoma (MLM) gene on chromosome 9p by analysis of allelic deletions.通过等位基因缺失分析对9号染色体短臂上黑色素瘤(MLM)基因进行精细定位。
Oncogene. 1994 Mar;9(3):819-24.
4
Genetic and physical map of the interferon region on chromosome 9p.
Genomics. 1992 Sep;14(1):105-12. doi: 10.1016/s0888-7543(05)80290-3.
5
Loss of heterozygosity and homozygous deletions on 9p21-22 in melanoma.黑色素瘤中9p21 - 22区域的杂合性缺失和纯合性缺失
Oncogene. 1994 May;9(5):1361-5.
6
Cutaneous malignant melanoma and atypical moles associated with a constitutional rearrangement of chromosomes 5 and 9.
Am J Med Genet. 1993 Jan 1;45(1):77-80. doi: 10.1002/ajmg.1320450119.
7
Molecular deletion of 9p sequences in non-small cell lung cancer and malignant mesothelioma.非小细胞肺癌和恶性间皮瘤中9p序列的分子缺失
Genes Chromosomes Cancer. 1993 May;7(1):47-53. doi: 10.1002/gcc.2870070108.
8
Assignment of a locus for familial melanoma, MLM, to chromosome 9p13-p22.
Science. 1992 Nov 13;258(5085):1148-52. doi: 10.1126/science.1439824.
9
Identification of a novel region of homozygous deletion on chromosome 9p in squamous cell carcinoma of the lung: the location of a putative tumor suppressor gene.肺鳞状细胞癌9号染色体短臂纯合缺失新区域的鉴定:一个假定抑癌基因的定位
Cancer Res. 1997 Jan 1;57(1):1-6.
10
Fluorescence in situ hybridization (FISH) evaluation of chromosomes 6, 7, 9 and 10 throughout human melanocytic tumorigenesis.在人类黑素细胞肿瘤发生过程中对6号、7号、9号和10号染色体进行荧光原位杂交(FISH)评估。
Melanoma Res. 2005 Jun;15(3):155-60. doi: 10.1097/00008390-200506000-00003.

引用本文的文献

1
Case report: The smallest 9p21.3 microdeletion involving but not causes multiple plexiform neurofibromas.病例报告:涉及但不导致多发性丛状神经纤维瘤的最小9p21.3微缺失。
Front Oncol. 2025 Feb 19;15:1437093. doi: 10.3389/fonc.2025.1437093. eCollection 2025.
2
9p21.3 Microdeletion involving in a young patient with multiple primary cancers and review of the literature.9p21.3 微缺失涉及,一个年轻患者患有多种原发性癌症,并回顾文献。
Cold Spring Harb Mol Case Stud. 2022 Jun 22;8(4). doi: 10.1101/mcs.a006164. Print 2022 Jun.
3
Hereditary oral squamous cell carcinoma associated with CDKN2A germline mutation: a case report.

本文引用的文献

1
Cutaneous malignant melanoma and atypical moles associated with a constitutional rearrangement of chromosomes 5 and 9.
Am J Med Genet. 1993 Jan 1;45(1):77-80. doi: 10.1002/ajmg.1320450119.
2
Mutation and cancer: statistical study of retinoblastoma.突变与癌症:视网膜母细胞瘤的统计学研究
Proc Natl Acad Sci U S A. 1971 Apr;68(4):820-3. doi: 10.1073/pnas.68.4.820.
3
High risk of malignant melanoma in melanoma-prone families with dysplastic nevi.发育异常痣的黑素瘤易感家族中患恶性黑素瘤的风险很高。
遗传性口腔鳞状细胞癌与 CDKN2A 种系突变相关:一例报告。
J Otolaryngol Head Neck Surg. 2022 Feb 5;51(1):5. doi: 10.1186/s40463-022-00556-y.
4
An interstitial deletion within 9p21.3 and extending beyond predisposes to melanoma, neural system tumours and possible haematological malignancies.9p21.3区域内的间质性缺失并延伸至其他区域,易引发黑色素瘤、神经系统肿瘤以及可能的血液系统恶性肿瘤。
J Med Genet. 2016 Nov;53(11):721-727. doi: 10.1136/jmedgenet-2015-103446. Epub 2016 Jan 21.
5
Linkage analysis of extended high-risk pedigrees replicates a cutaneous malignant melanoma predisposition locus on chromosome 9q21.连锁分析扩展的高危家系复制染色体 9q21 上的皮肤恶性黑色素瘤易感性位点。
J Invest Dermatol. 2013 Jan;133(1):128-34. doi: 10.1038/jid.2012.271. Epub 2012 Sep 6.
6
Genetics of primary intraocular tumors.原发性眼内肿瘤的遗传学。
Ocul Immunol Inflamm. 2012 Aug;20(4):244-54. doi: 10.3109/09273948.2012.702843.
7
New developments in melanoma genetics.黑色素瘤遗传学的新进展。
Curr Oncol Rep. 2000 Jul;2(4):300-6. doi: 10.1007/s11912-000-0022-z.
8
Linkage of cutaneous malignant melanoma/dysplastic nevi to chromosome 9p, and evidence for genetic heterogeneity.皮肤恶性黑色素瘤/发育异常痣与9号染色体的连锁关系及遗传异质性证据。
Am J Hum Genet. 1994 Mar;54(3):489-96.
9
Assignment of HBRM, the human homolog of S. cerevisiae SNF2/SWI2 and Drosophila brm genes, to chromosome region 9p23-p24, by in situ hybridization.
Mamm Genome. 1994 Apr;5(4):241-3. doi: 10.1007/BF00360554.
10
Antioncogenes and human cancer.抗癌基因与人类癌症。
Proc Natl Acad Sci U S A. 1993 Dec 1;90(23):10914-21. doi: 10.1073/pnas.90.23.10914.
Ann Intern Med. 1985 Apr;102(4):458-65. doi: 10.7326/0003-4819-102-4-458.
4
Karyotypic evolution in human malignant melanoma.人类恶性黑色素瘤的核型进化
Cancer Genet Cytogenet. 1986 Jan 1;19(1-2):113-22. doi: 10.1016/0165-4608(86)90378-x.
5
A rapid method for the purification of DNA from blood.一种从血液中纯化DNA的快速方法。
Nucleic Acids Res. 1987 Nov 25;15(22):9611. doi: 10.1093/nar/15.22.9611.
6
The rate of malignant melanoma in the United States: are we making an impact?
J Am Acad Dermatol. 1987 Dec;17(6):1050-3. doi: 10.1016/s0190-9622(87)80487-5.
7
Deletion 9p, duplication 18q in two sisters resulting from a maternal (9;18) (p22;q21.3) translocation.因母亲发生(9;18)(p22;q21.3)易位,导致两姐妹出现9号染色体短臂缺失及18号染色体长臂重复。
Am J Med Genet. 1988 Dec;31(4):853-61. doi: 10.1002/ajmg.1320310419.
8
Cytogenetic analysis of melanocytes from premalignant nevi and melanomas.对癌前痣和黑色素瘤中黑色素细胞的细胞遗传学分析。
J Natl Cancer Inst. 1988 Sep 21;80(14):1159-64. doi: 10.1093/jnci/80.14.1159.
9
Homozygous deletion of the alpha- and beta 1-interferon genes in human leukemia and derived cell lines.人类白血病及衍生细胞系中α和β1干扰素基因的纯合缺失。
Proc Natl Acad Sci U S A. 1988 Jul;85(14):5259-63. doi: 10.1073/pnas.85.14.5259.
10
Genetic aspects of cutaneous malignant melanoma.
Semin Oncol. 1988 Dec;15(6):541-8.