Suppr超能文献

胶原蛋白II和XI在几种发育中的人体组织中的共表达以及胶原蛋白II外显子2的可变剪接。

Co-expression of collagens II and XI and alternative splicing of exon 2 of collagen II in several developing human tissues.

作者信息

Sandberg M M, Hirvonen H E, Elima K J, Vuorio E I

机构信息

Department of Medical Biochemistry, University of Turku, Finland.

出版信息

Biochem J. 1993 Sep 1;294 ( Pt 2)(Pt 2):595-602. doi: 10.1042/bj2940595.

Abstract

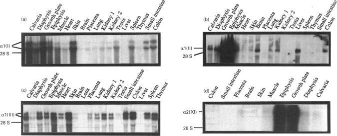
Northern analyses, RNAase protection assays and in situ hybridizations were used to study the expression of the mRNA for the alpha 2 chain of collagen XI and the two different mRNAs generated from the collagen II gene through alternative splicing of exon 2 in several different tissues of 15-19-week-old fetuses. The highest expression levels of procollagen alpha 2(XI) and alpha 1(II) mRNAs were detected in cartilage, but, using long exposure times, Northern hybridization revealed the presence of the approximately 5.3 kb procollagen alpha 1(II) mRNA in most tissues analysed: calvarial and diaphyseal bone, striated and cardiac muscle, skin, brain, lung, kidney, liver, small intestine and colon. Both alternatively spliced forms of the mRNA were present in these tissues. In cartilage, the short form of the procollagen alpha 1(II) mRNA (without exon 2 sequences) was clearly more abundant, whereas in most of the non-cartilaginous tissues the long form was the predominant one. Low levels of procollagen alpha 2(XI) mRNA were also seen in non-cartilaginous tissues: calvarial and diaphyseal bone, kidney, skin, muscle, intestine, liver, brain, and lung. In all the other positive tissues except brain cortex, both collagen II and XI transcripts were observed. The localization of collagen II and XI signals was identical in cartilage, kidney and skin. However, in cartilage the signal with collagen II probe was much higher than that with the collagen alpha 2(XI) probe. In epidermis the situation was reversed. Our results show considerable co-expression and co-localization of procollagen alpha 1(II) and alpha 2(XI) mRNAs in many tissues of developing human fetuses. Since the collagen alpha 1(II) gene also codes for the alpha 3(XI) chain of collagen XI we propose that some, but not all, of the expression of the collagen II gene in non-cartilaginous tissues relates to collagen XI production.

摘要

采用Northern印迹分析、RNA酶保护分析和原位杂交技术,研究15 - 19周龄胎儿几种不同组织中胶原蛋白XIα2链的mRNA以及通过外显子2选择性剪接从胶原蛋白II基因产生的两种不同mRNA的表达情况。在软骨中检测到原胶原α2(XI)和α1(II) mRNA的最高表达水平,但使用长时间曝光时,Northern杂交显示在所分析的大多数组织中存在约5.3 kb的原胶原α1(II) mRNA:颅骨和骨干骨、横纹肌和心肌、皮肤、脑、肺、肾、肝、小肠和结肠。这两种选择性剪接形式的mRNA都存在于这些组织中。在软骨中,原胶原α1(II) mRNA的短形式(无外显子2序列)明显更为丰富,而在大多数非软骨组织中,长形式是主要的。在非软骨组织如颅骨和骨干骨、肾、皮肤、肌肉、肠、肝、脑和肺中也可见到低水平的原胶原α2(XI) mRNA。在除大脑皮层外的所有其他阳性组织中,均观察到胶原蛋白II和XI的转录本。胶原蛋白II和XI信号在软骨、肾和皮肤中的定位相同。然而,在软骨中,胶原蛋白II探针的信号远高于胶原蛋白α2(XI)探针的信号。在表皮中情况则相反。我们的结果表明,在发育中的人类胎儿的许多组织中,原胶原α1(II)和α2(XI) mRNA存在相当程度的共表达和共定位。由于胶原蛋白α1(II)基因也编码胶原蛋白XI的α3(XI)链,我们提出,在非软骨组织中,胶原蛋白II基因的部分(而非全部)表达与胶原蛋白XI的产生有关。

https://cdn.ncbi.nlm.nih.gov/pmc/blobs/964d/1134497/f5f03a59dc68/biochemj00104-0280-a.jpg

文献检索

告别复杂PubMed语法,用中文像聊天一样搜索,搜遍4000万医学文献。AI智能推荐,让科研检索更轻松。

立即免费搜索

文件翻译

保留排版,准确专业,支持PDF/Word/PPT等文件格式,支持 12+语言互译。

免费翻译文档

深度研究

AI帮你快速写综述,25分钟生成高质量综述,智能提取关键信息,辅助科研写作。

立即免费体验