Ruiz-Larrea F, Vicendo P, Yaish P, End P, Panayotou G, Fry M J, Morgan S J, Thompson A, Parker P J, Waterfield M D
Ludwig Institute for Cancer Research, London, U.K.
Biochem J. 1993 Mar 1;290 ( Pt 2)(Pt 2):609-16. doi: 10.1042/bj2900609.
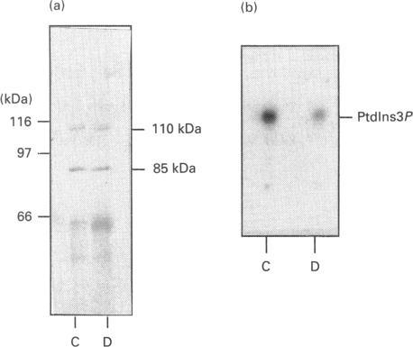
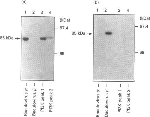
Receptor-linked phosphatidylinositol (PtdIns) 3-kinase may generate a second-messenger signal. Here a large-scale purification of the bovine brain enzyme, based on methods developed by Morgan, Smith and Parker [(1990) Eur. J. Biochem. 191, 761-767] and Fry, Panayotou, Dhand, Ruiz-Larrea, Gout, Nguyen, Courtneidge and Waterfield [(1992) Biochem. J. 288, 383-393] is described. The purified enzyme is shown to be a heterodimer of 85 kDa and 110 kDa protein subunits (p85 and p110). Labelling with 5'-p-fluorosulphonylbenzoyladenosine shows that p110 contains an ATP-binding site and confers catalytic activity to the complex. The purified complex is known to be highly phosphorylated on both p85 alpha and p110 subunits, and dephosphorylation generates a deactivated complex, indicating that phosphorylation is an important covalent modification of the complex and may modulate PtdIns 3-kinase activity.
受体连接的磷脂酰肌醇(PtdIns)3激酶可能产生第二信使信号。本文描述了基于摩根、史密斯和帕克[(1990)《欧洲生物化学杂志》191,761 - 767]以及弗莱、帕纳约托、丹德、鲁伊斯 - 拉雷亚、古特、阮、考特尼奇和沃特菲尔德[(1992)《生物化学杂志》288,383 - 393]所开发方法对牛脑该酶进行的大规模纯化。纯化后的酶显示为85 kDa和110 kDa蛋白质亚基(p85和p110)的异二聚体。用5'-对氟磺酰苯甲酰腺苷标记表明p110含有一个ATP结合位点,并赋予该复合物催化活性。已知纯化后的复合物在p85α和p110亚基上都高度磷酸化,去磷酸化会产生失活的复合物,这表明磷酸化是该复合物重要的共价修饰,可能调节PtdIns 3激酶活性。