Suppr超能文献

菠菜叶绿体中的mRNA降解:psbA mRNA的降解由编码区内的内切核酸酶切割引发。

mRNA decay in spinach chloroplasts: psbA mRNA degradation is initiated by endonucleolytic cleavages within the coding region.

作者信息

Klaff P

机构信息

Heinrich-Heine-Universität Düsseldorf, Institut für Physikalische Biologie, Germany.

出版信息

Nucleic Acids Res. 1995 Dec 11;23(23):4885-92. doi: 10.1093/nar/23.23.4885.

Abstract

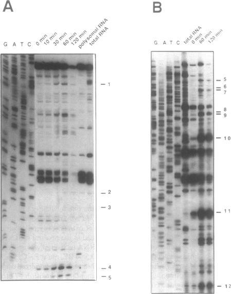
The expression of chloroplast genes during leaf development in higher plants is regulated on several levels as transcription, RNA processing and stability, protein stability and turnover. Differential mRNA stability is one major component which contributes to the developmentally controlled accumulation of higher plant chloroplast psbA mRNA, which encodes the D1 protein of photosystem II. To understand the molecular mechanisms of specific mRNA degradation an in vitro mRNA decay system based on lysed chloroplasts from spinach leaves was established. Employing this degradation extract the decay of psbA mRNA was analyzed. Half-life of the psbA mRNA in vitro is dependent on the degradation conditions as the presence of Mg2+, which was found to stabilize the mRNA. Addition of tRNA stabilizes the mRNA and allows the accumulation of distinct degradation intermediates. psbA mRNA derived fragments of the same size were detected in degradation experiments in vitro, in organello and in vivo. 5' ends of the degradation intermediates were identified by primer extension and found to be localized in the 5' part of the coding region. The data indicate a degradation mechanism involving initiation of psbA mRNA decay by specific endonucleolytic cleavage and subsequent exonucleolytic degradation of the fragments. Possible models for cleavage site recognition are discussed.

摘要

高等植物叶片发育过程中叶绿体基因的表达在转录、RNA加工与稳定性、蛋白质稳定性及周转等多个层面受到调控。差异mRNA稳定性是导致高等植物叶绿体psbA mRNA在发育过程中积累受到控制的一个主要因素,psbA mRNA编码光系统II的D1蛋白。为了解特定mRNA降解的分子机制,建立了一种基于菠菜叶裂解叶绿体的体外mRNA降解系统。利用该降解提取物分析了psbA mRNA的降解情况。体外psbA mRNA的半衰期取决于降解条件,如Mg2+的存在,发现Mg2+可使mRNA稳定。添加tRNA可使mRNA稳定,并允许积累不同的降解中间体。在体外、细胞器内和体内的降解实验中均检测到了相同大小的psbA mRNA衍生片段。通过引物延伸鉴定了降解中间体的5'端,发现其位于编码区的5'部分。数据表明存在一种降解机制,该机制涉及通过特异性内切核酸酶切割启动psbA mRNA降解,随后对片段进行外切核酸酶降解。讨论了切割位点识别的可能模型。

https://cdn.ncbi.nlm.nih.gov/pmc/blobs/6a75/307479/acfa1ec642b6/nar00023-0154-a.jpg

文献检索

告别复杂PubMed语法,用中文像聊天一样搜索,搜遍4000万医学文献。AI智能推荐,让科研检索更轻松。

立即免费搜索

文件翻译

保留排版,准确专业,支持PDF/Word/PPT等文件格式,支持 12+语言互译。

免费翻译文档

深度研究

AI帮你快速写综述,25分钟生成高质量综述,智能提取关键信息,辅助科研写作。

立即免费体验