Suppr超能文献

颗粒子宫内膜腺/淋巴因子激活的杀伤细胞对两种不同类型黏液样物质的形态发生过程及分泌的表征

Characterisation of the morphogenetic course and secretion of two different types of mucoid material by granulated metrial gland/lymphokine-activated killer cells.

作者信息

Dyugovskaya L, Berkutski T, Ginsburg H

机构信息

Department of Immunology, Bruce Rappaport Faculty of Medicine, Technion-Israel Institute of Technology, Haifa, Israel.

出版信息

J Anat. 1995 Dec;187 ( Pt 3)(Pt 3):693-708.

Abstract

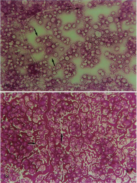
Lymphocytes from mesenteric lymph nodes of ordinary and nude mice were grown in microtitre wells on embryonic mesenchymal-fibroblast monolayers. Human recombinant interleukin-2 (80 units ml-1) was added. Clones of lymphokine-activated killer (LAK) cells developed. The incidence of clone-forming cells was 52-136 per 10(5) cells in lymph nodes from nude mice and 4.2-8.3 per 10(5) cells in lymph nodes from ordinary mice. On a limited number of fibroblast monolayers propagated in culture, the maturing LAK cells were induced to synthesise and secrete 2 types of flowing mucoid material. After methanol fixation and Alcian blue/periodic acid-Schiff (PAS) (at pH 1) staining, the first type of material was distinctively stained turquoise, indicating a highly sulphated proteoglycan, chondroitin sulphate; the second type of material, a macromolecular neutral polysaccharide, was not stained and appeared to have been dissolved. Glycogen was stained deep brilliant purple. After treatment with PAS alone, the chondroitin sulphate was not stained and appeared as a bright area, the neutral polysaccharide mass being stained deep red. This polysaccharide material was characteristically secreted as droplets or 'streamlets' emerging from the cell surface and extending through the first type of material to coalesce with the already accumulated main extracellular mucoid layer spreading between the cells. Clones of secretory LAK cells were obtained from gravid and nongravid mouse uteri as well as from tracheal explants. Change of medium or passage with fresh medium to a new inducing batch of monolayer, at the blastoid-large granular lymphocyte stage (on d 3 to 7), was critical for high reproducibility of secretion. The course of differentiation was found ultimately to be dependent on the embryonic mesenchymal monolayer, suggesting induction by a morphogenetic signal. A correlation can be drawn between the secretory activity and the morphological profile at maturation of highly distinctive organised cells.

摘要

将普通小鼠和裸鼠肠系膜淋巴结中的淋巴细胞接种于微量滴定板孔中,置于胚胎间充质 - 成纤维细胞单层上培养,并添加人重组白细胞介素 - 2(80 单位/毫升)。由此培养出淋巴因子激活的杀伤(LAK)细胞克隆。裸鼠淋巴结中每 10⁵ 个细胞形成克隆的细胞发生率为 52 - 136 个,普通小鼠淋巴结中每 10⁵ 个细胞形成克隆的细胞发生率为 4.2 - 8.3 个。在有限数量的培养传代的成纤维细胞单层上,成熟的 LAK 细胞被诱导合成并分泌 2 种流动的黏液样物质。经甲醇固定及阿尔辛蓝/过碘酸 - 希夫(PAS)(pH 1)染色后,第一种物质被染成鲜明的蓝绿色,表明是高度硫酸化的蛋白聚糖硫酸软骨素;第二种物质是大分子中性多糖,未被染色且似乎已溶解。糖原被染成深亮紫色。仅用 PAS 处理后,硫酸软骨素未被染色,呈现为明亮区域,中性多糖团块被染成深红色。这种多糖物质典型地以液滴或“细流”形式从细胞表面分泌出来,穿过第一种物质,与已经积累的主要细胞外黏液层融合,该黏液层在细胞间扩散。分泌性 LAK 细胞克隆可从妊娠和未妊娠的小鼠子宫以及气管外植体中获得。在胚样 - 大颗粒淋巴细胞阶段(第 3 至 7 天),更换培养基或将新鲜培养基传代至新的诱导单层培养物,对于分泌的高重复性至关重要。最终发现分化过程依赖于胚胎间充质单层,提示存在形态发生信号诱导。在高度独特组织化细胞成熟时,分泌活性与形态特征之间存在相关性。

https://cdn.ncbi.nlm.nih.gov/pmc/blobs/cf46/1167472/fe65865116aa/janat00131-0175-a.jpg

文献检索

告别复杂PubMed语法,用中文像聊天一样搜索,搜遍4000万医学文献。AI智能推荐,让科研检索更轻松。

立即免费搜索

文件翻译

保留排版,准确专业,支持PDF/Word/PPT等文件格式,支持 12+语言互译。

免费翻译文档

深度研究

AI帮你快速写综述,25分钟生成高质量综述,智能提取关键信息,辅助科研写作。

立即免费体验