Suppr超能文献

The structure of the cells lining the stomach of the tammar wallaby (Macropus eugenii).

作者信息

Gemmell R T, Engelhardt W V

出版信息

J Anat. 1977 Jul;123(Pt 3):723-33.

Abstract

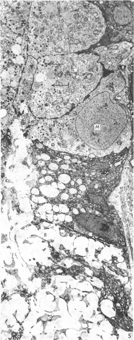
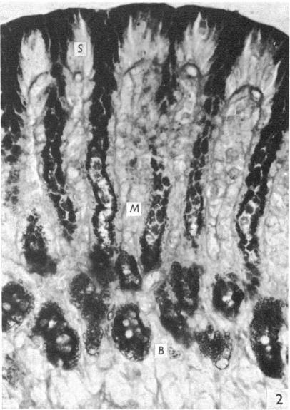
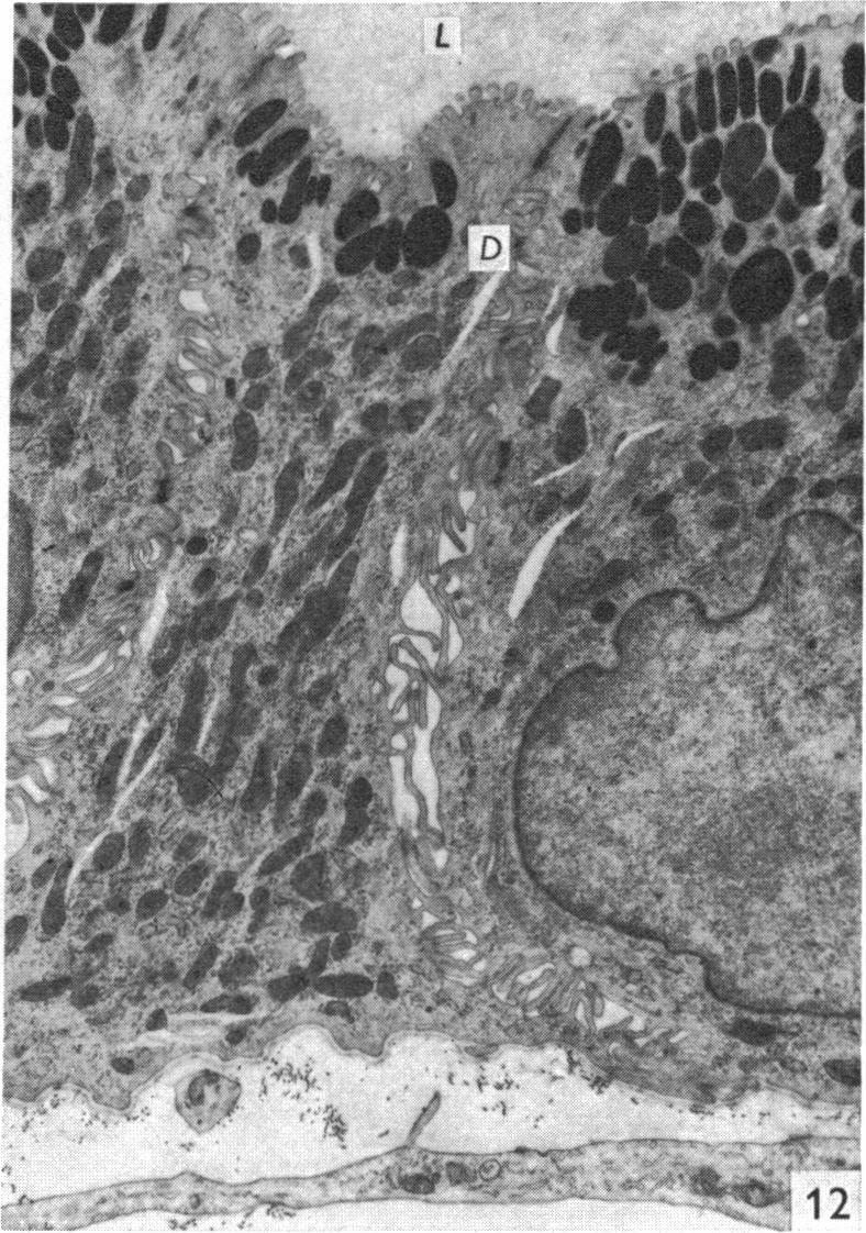
The stomach of the tammar may be divided into cardiac, "oesophageal", fundic and pyloric regions. In the cells of the cardiac region (which occupy 65% of the stomach) at least three types of mucous droplet are present. The stratified squamous "oesophageal" region occupies 20% of the stomach and the fundic and pyloric regions make up the remaining 15%. The cellular structure of the three last named regions seems to be similar to that described for other monogastric mammals. Endocrine cells were found in all glandular regions.

摘要
https://cdn.ncbi.nlm.nih.gov/pmc/blobs/4d85/1234729/35d5f7ff847f/janat00367-0169-a.jpg

文献检索

告别复杂PubMed语法,用中文像聊天一样搜索,搜遍4000万医学文献。AI智能推荐,让科研检索更轻松。

立即免费搜索

文件翻译

保留排版,准确专业,支持PDF/Word/PPT等文件格式,支持 12+语言互译。

免费翻译文档

深度研究

AI帮你快速写综述,25分钟生成高质量综述,智能提取关键信息,辅助科研写作。

立即免费体验