• 文献检索
  • 文档翻译
  • 深度研究
  • 学术资讯
  • Suppr Zotero 插件Zotero 插件
  • 邀请有礼
  • 套餐&价格
  • 历史记录
应用&插件
Suppr Zotero 插件Zotero 插件浏览器插件Mac 客户端Windows 客户端微信小程序
定价
高级版会员购买积分包购买API积分包
服务
文献检索文档翻译深度研究API 文档MCP 服务
关于我们
关于 Suppr公司介绍联系我们用户协议隐私条款
关注我们

Suppr 超能文献

核心技术专利:CN118964589B侵权必究
粤ICP备2023148730 号-1Suppr @ 2026

文献检索

告别复杂PubMed语法,用中文像聊天一样搜索,搜遍4000万医学文献。AI智能推荐,让科研检索更轻松。

立即免费搜索

文件翻译

保留排版,准确专业,支持PDF/Word/PPT等文件格式,支持 12+语言互译。

免费翻译文档

深度研究

AI帮你快速写综述,25分钟生成高质量综述,智能提取关键信息,辅助科研写作。

立即免费体验

白细胞介素-1受体拮抗剂对人单核细胞中环氧化酶-2(COX-2)的下调作用。

Down-regulation of cyclooxygenase-2 (COX-2) by interleukin-1 receptor antagonist in human monocytes.

作者信息

Porreca E, Reale M, Di Febbo C, Di Gioacchino M, Barbacane R C, Castellani M L, Baccante G, Conti P, Cuccurullo F

机构信息

Departement of Internal Medicine, University of Chieti, Medical School, Italy.

出版信息

Immunology. 1996 Nov;89(3):424-9. doi: 10.1046/j.1365-2567.1996.d01-753.x.

DOI:10.1046/j.1365-2567.1996.d01-753.x
PMID:8958057
原文链接:https://pmc.ncbi.nlm.nih.gov/articles/PMC1456547/
Abstract

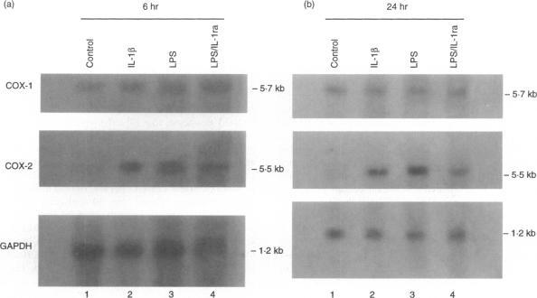
Cyclooxygenase (COX) is the key rate-limiting enzyme in the synthesis of prostanoids from arachidonic acid. Two isoforms of COX have been described in mammalian cells, referred to as cyclooxygenase-1 (COX-1) and cyclooxygenase-2 (COX-2). COX-1 is a constitutively expressed enzyme; COX-2 is an inducible enzyme that appears to be expressed in inflamed tissue and following exposure to growth factors or cytokines, such as interleukin-1 (IL-1). The aim of the present study was to test if the antagonism on the binding of IL-1 to its cell-surface receptor by human recombinant IL-1 receptor antagonist (hrIL-1ra) may control the COX mRNA expression and prostaglandin E2 (PGE2) production by human monocyte cultures. Northern blot studies showed that hrIL-ra (500 ng/ml) had a strong inhibitory effect on inducible COX activity. The effect was evident after 6 hr incubation (2.7-fold decrease of mRNA COX-2 transcripts); and about a threefold decrease at 24hr incubation. A non-significant effect was observed with COX-1 transcripts. Induced PGE2 production by monocyte cultures treated with lipopolysaccharide (LPS) or interleukin-1 beta (IL-1 beta) was strongly inhibited in the presence of hrIL-1ra (500 ng/ml). In addition, a significant inhibition of COX-2 protein expression, as evaluated by Western blotting, was also observed. These data suggest that hrIL-1ra may be the key mediator in the down-regulation of the COX-2 inducible pathway.

摘要

环氧化酶(COX)是从花生四烯酸合成前列腺素的关键限速酶。在哺乳动物细胞中已描述了两种COX同工型,分别称为环氧化酶-1(COX-1)和环氧化酶-2(COX-2)。COX-1是一种组成型表达的酶;COX-2是一种诱导型酶,似乎在炎症组织中以及在暴露于生长因子或细胞因子(如白细胞介素-1(IL-1))后表达。本研究的目的是测试人重组IL-1受体拮抗剂(hrIL-1ra)对IL-1与其细胞表面受体结合的拮抗作用是否可以控制人单核细胞培养物中COX mRNA表达和前列腺素E2(PGE2)的产生。Northern印迹研究表明,hrIL-ra(500 ng/ml)对诱导型COX活性有强烈的抑制作用。孵育6小时后效果明显(COX-2 mRNA转录物减少2.7倍);孵育24小时时减少约三倍。COX-1转录物未观察到显著影响。在存在hrIL-1ra(500 ng/ml)的情况下,用脂多糖(LPS)或白细胞介素-1β(IL-1β)处理的单核细胞培养物诱导的PGE2产生受到强烈抑制。此外,通过蛋白质印迹评估,还观察到COX-2蛋白表达的显著抑制。这些数据表明,hrIL-1ra可能是COX-2诱导途径下调的关键介质。

https://cdn.ncbi.nlm.nih.gov/pmc/blobs/fdb4/1456547/ffddcfd076f3/immunology00029-0121-b.jpg
https://cdn.ncbi.nlm.nih.gov/pmc/blobs/fdb4/1456547/6041f61ba322/immunology00029-0120-a.jpg
https://cdn.ncbi.nlm.nih.gov/pmc/blobs/fdb4/1456547/85635e098b99/immunology00029-0120-b.jpg
https://cdn.ncbi.nlm.nih.gov/pmc/blobs/fdb4/1456547/cd384287641b/immunology00029-0121-a.jpg
https://cdn.ncbi.nlm.nih.gov/pmc/blobs/fdb4/1456547/ffddcfd076f3/immunology00029-0121-b.jpg
https://cdn.ncbi.nlm.nih.gov/pmc/blobs/fdb4/1456547/6041f61ba322/immunology00029-0120-a.jpg
https://cdn.ncbi.nlm.nih.gov/pmc/blobs/fdb4/1456547/85635e098b99/immunology00029-0120-b.jpg
https://cdn.ncbi.nlm.nih.gov/pmc/blobs/fdb4/1456547/cd384287641b/immunology00029-0121-a.jpg
https://cdn.ncbi.nlm.nih.gov/pmc/blobs/fdb4/1456547/ffddcfd076f3/immunology00029-0121-b.jpg

相似文献

1
Down-regulation of cyclooxygenase-2 (COX-2) by interleukin-1 receptor antagonist in human monocytes.白细胞介素-1受体拮抗剂对人单核细胞中环氧化酶-2(COX-2)的下调作用。
Immunology. 1996 Nov;89(3):424-9. doi: 10.1046/j.1365-2567.1996.d01-753.x.
2
Blocking the interleukin-1 receptor inhibits leukotriene B4 and prostaglandin E2 generation in human monocyte cultures.阻断白细胞介素-1受体可抑制人单核细胞培养物中白三烯B4和前列腺素E2的生成。
Cell Immunol. 1992 Nov;145(1):199-209. doi: 10.1016/0008-8749(92)90323-h.
3
Interleukin-1 receptor antagonist blocks interleukin-1-induced expression of cyclooxygenase-2 in endometrium.白细胞介素-1受体拮抗剂可阻断白细胞介素-1诱导的子宫内膜中环氧合酶-2的表达。
Am J Obstet Gynecol. 1997 Sep;177(3):559-67. doi: 10.1016/s0002-9378(97)70146-7.
4
LPS-dependent cyclooxygenase-2 induction in human monocytes is down-regulated by IL-13, but not by IFN-gamma.脂多糖(LPS)依赖的人单核细胞中环氧化酶-2的诱导作用被白细胞介素-13下调,但不被γ干扰素下调。
J Immunol. 1996 Mar 15;156(6):2240-6.
5
Effects of Tripterygium wilfordii hook F extracts on induction of cyclooxygenase 2 activity and prostaglandin E2 production.雷公藤提取物对环氧合酶2活性诱导及前列腺素E2生成的影响。
Arthritis Rheum. 1998 Jan;41(1):130-8. doi: 10.1002/1529-0131(199801)41:1<130::AID-ART16>3.0.CO;2-4.
6
Lipopolysaccharide modulates cyclooxygenase-2 transcriptionally and posttranscriptionally in human macrophages independently from endogenous IL-1 beta and TNF-alpha.脂多糖在人类巨噬细胞中通过转录和转录后水平调节环氧化酶-2,且该调节独立于内源性白细胞介素-1β和肿瘤坏死因子-α。
J Immunol. 1999 Jul 15;163(2):963-9.
7
Cyclooxygenase-2 is upregulated in inflamed gingival tissues.环氧化酶-2在炎症牙龈组织中上调。
J Periodontol. 2001 Apr;72(4):461-9. doi: 10.1902/jop.2001.72.4.461.
8
Cyclooxygenase-2-dependent prostaglandin production by peripheral blood monocytes stimulated with lipopolysaccharides isolated from periodontopathogenic bacteria.由从牙周病原菌分离出的脂多糖刺激外周血单核细胞产生的环氧化酶-2依赖性前列腺素
J Periodontol. 2000 Oct;71(10):1575-82. doi: 10.1902/jop.2000.71.10.1575.
9
Cyclooxygenase-2-dependent prostaglandin E2 down-regulates intercellular adhesion molecule-1 expression via EP2/EP4 receptors in interleukin-1beta-stimulated human gingival fibroblasts.环氧化酶-2依赖性前列腺素E2通过EP2/EP4受体下调白细胞介素-1β刺激的人牙龈成纤维细胞中细胞间黏附分子-1的表达。
J Dent Res. 2000 Dec;79(12):1955-61. doi: 10.1177/00220345000790120601.
10
mRNA and protein stability regulate the differential expression of pro- and anti-inflammatory genes in endotoxin-tolerant THP-1 cells.mRNA和蛋白质稳定性调节内毒素耐受的THP-1细胞中促炎和抗炎基因的差异表达。
J Biol Chem. 2000 Apr 21;275(16):12185-93. doi: 10.1074/jbc.275.16.12185.

引用本文的文献

1
Targeting interleukin-1 signaling for renoprotection.靶向白细胞介素-1信号通路以实现肾脏保护。
Front Immunol. 2025 May 23;16:1591197. doi: 10.3389/fimmu.2025.1591197. eCollection 2025.
2
Cyclooxygenase-2 (COX-2) inhibitors: future therapeutic strategies for epilepsy management.环氧化酶-2(COX-2)抑制剂:癫痫管理的未来治疗策略。
J Neuroinflammation. 2019 Oct 30;16(1):197. doi: 10.1186/s12974-019-1592-3.
3
Systemic Lipopolysaccharide-Induced Pain Sensitivity and Spinal Inflammation Were Reduced by Minocycline in Neonatal Rats.

本文引用的文献

1
Differential inhibition of prostaglandin endoperoxide synthase (cyclooxygenase) isozymes by aspirin and other non-steroidal anti-inflammatory drugs.阿司匹林及其他非甾体抗炎药对前列腺素内过氧化物合酶(环氧化酶)同工酶的差异性抑制作用。
J Biol Chem. 1993 Mar 25;268(9):6610-4.
2
The role of interleukin-1 in disease.白细胞介素-1在疾病中的作用。
N Engl J Med. 1993 Jan 14;328(2):106-13. doi: 10.1056/NEJM199301143280207.
3
Lipopolysaccharide induces prostaglandin H synthase-2 protein and mRNA in human alveolar macrophages and blood monocytes.
米诺环素减轻新生大鼠系统脂多糖诱导的痛敏和脊髓炎症。
Int J Mol Sci. 2018 Sep 27;19(10):2947. doi: 10.3390/ijms19102947.
4
Dynamic model of eicosanoid production with special reference to non-steroidal anti-inflammatory drug-triggered hypersensitivity.类花生酸生成的动态模型,特别涉及非甾体抗炎药引发的超敏反应
IET Syst Biol. 2015 Oct;9(5):204-15. doi: 10.1049/iet-syb.2014.0037.
5
Aspirin-intolerant asthma: a comprehensive review of biomarkers and pathophysiology.阿司匹林不耐受型哮喘:生物标志物和病理生理学的全面综述。
Clin Rev Allergy Immunol. 2013 Aug;45(1):75-86. doi: 10.1007/s12016-012-8340-0.
脂多糖可诱导人肺泡巨噬细胞和血液单核细胞中的前列腺素H合成酶-2蛋白及信使核糖核酸。
J Clin Invest. 1994 Jan;93(1):391-6. doi: 10.1172/JCI116971.
4
Selectivity of nonsteroidal antiinflammatory drugs as inhibitors of constitutive and inducible cyclooxygenase.非甾体抗炎药作为组成型和诱导型环氧化酶抑制剂的选择性
Proc Natl Acad Sci U S A. 1993 Dec 15;90(24):11693-7. doi: 10.1073/pnas.90.24.11693.
5
Modalities for reducing interleukin 1 activity in disease.降低疾病中白细胞介素1活性的方法。
Trends Pharmacol Sci. 1993 May;14(5):155-9. doi: 10.1016/0165-6147(93)90200-4.
6
Induction of cyclooxygenase-2 by interleukin-1 alpha. Evidence for post-transcriptional regulation.白细胞介素-1α对环氧合酶-2的诱导作用。转录后调控的证据。
J Biol Chem. 1994 Apr 22;269(16):11769-75.
7
Loss of thyrotropin regulation and transforming growth factor beta-induced growth arrest in erbB-2 overexpressing rat thyroid cells.促甲状腺激素调节功能丧失以及转化生长因子β诱导erbB-2过表达大鼠甲状腺细胞生长停滞
Cancer Res. 1993 Nov 15;53(22):5548-53.
8
Isolation of mononuclear cells and granulocytes from human blood. Isolation of monuclear cells by one centrifugation, and of granulocytes by combining centrifugation and sedimentation at 1 g.从人血中分离单核细胞和粒细胞。通过一次离心分离单核细胞,通过离心和1g沉降相结合的方法分离粒细胞。
Scand J Clin Lab Invest Suppl. 1968;97:77-89.
9
Human platelet-derived growth factor stimulates prostaglandin synthesis by activation and by rapid de novo synthesis of cyclooxygenase.人血小板衍生生长因子通过激活环氧化酶和快速从头合成来刺激前列腺素的合成。
J Clin Invest. 1985 Apr;75(4):1381-7. doi: 10.1172/JCI111839.
10
Interleukin 1 activates phospholipase A2 in rabbit chondrocytes: a possible signal for IL 1 action.白细胞介素1激活兔软骨细胞中的磷脂酶A2:白细胞介素1作用的一个可能信号。
J Immunol. 1986 Feb 15;136(4):1283-7.