• 文献检索
  • 文档翻译
  • 深度研究
  • 学术资讯
  • Suppr Zotero 插件Zotero 插件
  • 邀请有礼
  • 套餐&价格
  • 历史记录
应用&插件
Suppr Zotero 插件Zotero 插件浏览器插件Mac 客户端Windows 客户端微信小程序
定价
高级版会员购买积分包购买API积分包
服务
文献检索文档翻译深度研究API 文档MCP 服务
关于我们
关于 Suppr公司介绍联系我们用户协议隐私条款
关注我们

Suppr 超能文献

核心技术专利:CN118964589B侵权必究
粤ICP备2023148730 号-1Suppr @ 2026

文献检索

告别复杂PubMed语法,用中文像聊天一样搜索,搜遍4000万医学文献。AI智能推荐,让科研检索更轻松。

立即免费搜索

文件翻译

保留排版,准确专业,支持PDF/Word/PPT等文件格式,支持 12+语言互译。

免费翻译文档

深度研究

AI帮你快速写综述,25分钟生成高质量综述,智能提取关键信息,辅助科研写作。

立即免费体验

经玻璃体腔内睫状体光凝术

Transvitreal endocyclophotocoagulation.

作者信息

Haller J A

出版信息

Trans Am Ophthalmol Soc. 1996;94:589-676.

PMID:8981713
原文链接:https://pmc.ncbi.nlm.nih.gov/articles/PMC1312112/
Abstract

PURPOSE

Transvitreal endophotocoagulation of the ciliary processes is a little-used option for eyes with refractory glaucoma. No histopathologic studies of animals or humans have described its effects. We sought to characterize this cilioablative procedure in an animal model, examine its effects in human eyes histopathologically, and evaluate its clinical safety and efficacy in a large series of patients with long-term follow-up.

METHODS

ANIMAL MODEL: Rabbit eyes were treated with lensectomy, vitrectomy, and transvitreal photocoagulation of the ciliary processes. Eyes were enucleated immediately after surgery and at weekly intervals up to 1 month. Light and electron microscopic evaluation of histopathologic changes was performed. Human Eyes: The pathology laboratory files were searched for cases with a history of endocyclophotocoagulation prior to enucleation, and three eyes were identified. Histopathologic sections were retrieved and examined. Clinical Series: A retrospective clinical review was performed of a single surgeon's experience with endolaser to the ciliary processes, including all cases with adequate data on ocular history, preoperative and postoperative visual acuity, intraocular pressure (IOP), and glaucoma medications, and details of surgery. Only eyes with at least 6 months' follow-up were included.

RESULTS

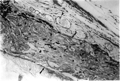
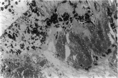
ANIMAL MODEL: Histopathologic examination of rabbit eyes treated with endocyclophotocoagulation demonstrated acute changes of ciliary process destruction, proteinaceous exudate, stromal edema, nuclear pyknosis, and pigment dispersion. Vascular congestion was seen with some hemorrhage. Later, replacement by fibrous or fibrovascular scar developed with loss of the pigmented and nonpigmented ciliary epithelia, absence of ciliary architectural elements, and pigment rounding and clumping. Human Eyes: Histopathologic examination of enucleated human eyes revealed total ablation of the ciliary processes with fibrosis and pigment clumping in areas of treatment. Abrupt transitions between treated and untreated regions could be identified. In some areas fibrocellular membrane proliferation was found extending over the scars that replaced the ciliary processes. Clinical series: Seventy-three patients were identified ranging in age from 2 to 85 years (mean, 57.7), with follow-up of 6 to 130 months (mean, 28.6). Mean number of previous operations was 3.5; mean number of previous glaucoma operations was 1.3. Preoperative mean IOP was 38 mmHg (range, 19 to 75), postoperative mean IOP was 16 mmHg (range, 1 to 50). At 6 months, 58 of 72 eyes (81%) with available IOP data had IOP greater than 5 mmHg and less than 22. At 12 months 48 of 55 (87.3%) were successfully controlled by these criteria, and at last follow-up 50 of 73 (68%). Fifty-six of 73 eyes (77%) were considered clinically stable at the last follow-up in terms of visual acuity, anatomic integrity, and IOP < or = 23 off all glaucoma medications. Visual acuity was stable or improved in 53 of 73 eyes (73%). Complications developed in 9 eyes (12%), including IOP < or = 6 mmHg in 6 eyes (8.2%), peripheral choroidal effusion in 4 (5.5%), fibrinous anterior chamber reaction in 3 (4.1%), phthisis in 2 (2.7%), and choroidal hemorrhage in 1. Thirty-five eyes had penetrating keratoplasty performed before or at the same time as endolaser (an average of 2.14 grafts each), Graft rejection occurred in 4 eyes (11%), and long-term failure of grafts occurred in 11 of 35 (31%). In 31 eyes, additional surgical procedures were performed at the time of endocyclophotocoagulation.

CONCLUSIONS

Endocyclophotocoagulation successfully ablates the ciliary processes, which are replaced with fibrous scar. Surgical results compare favorably with other methods of glaucoma therapy in complicated eyes in terms of IOP control, visual preservation, and complication rate. Endolaser to the ciliary body was especially successful in glaucomatous eyes after keratoplasty, although corneal graft prognosis

摘要

目的

经玻璃体睫状体光凝术是难治性青光眼较少使用的一种治疗选择。尚无关于动物或人类的组织病理学研究描述其效果。我们试图在动物模型中描述这种睫状体消融手术,通过组织病理学检查其在人眼中的效果,并在一大组长期随访的患者中评估其临床安全性和有效性。

方法

动物模型:对兔眼进行晶状体切除术、玻璃体切除术及经玻璃体睫状体光凝术。术后立即摘除眼球,并在术后1个月内每周摘除一次。对组织病理学变化进行光镜和电镜评估。人眼:在病理实验室档案中查找眼球摘除术前有睫状体光凝术病史的病例,共识别出3只眼。检索并检查组织病理学切片。临床系列:对一位外科医生进行睫状体激光治疗的经验进行回顾性临床分析,包括所有有充分眼部病史、术前和术后视力、眼压(IOP)及青光眼用药数据的病例,以及手术细节。仅纳入随访至少6个月的眼。

结果

动物模型:经睫状体光凝术治疗的兔眼组织病理学检查显示睫状体破坏、蛋白质渗出、基质水肿、核固缩和色素弥散的急性变化。可见血管充血伴一些出血。之后,出现纤维或纤维血管瘢痕替代,色素性和非色素性睫状体上皮消失,睫状体结构成分缺失,色素聚集。人眼:摘除的人眼组织病理学检查显示睫状体完全消融,治疗区域有纤维化和色素聚集。可识别出治疗区域与未治疗区域之间的突然转变。在一些区域发现纤维细胞膜增生延伸至替代睫状体的瘢痕上。临床系列:共识别出73例患者,年龄2至85岁(平均57.7岁),随访6至130个月(平均28.6个月)。既往手术平均次数为3.5次;既往青光眼手术平均次数为1.3次。术前平均眼压为38 mmHg(范围19至75 mmHg),术后平均眼压为16 mmHg(范围1至50 mmHg)。在6个月时,72只可获得眼压数据的眼中,58只(81%)眼压高于5 mmHg且低于22 mmHg。在12个月时,55只眼中的48只(87.3%)按此标准眼压得到成功控制,在最后一次随访时,73只眼中的50只(68%)眼压得到控制。在最后一次随访时,73只眼中的56只(77%)在视力、解剖结构完整性及停用所有青光眼药物后眼压≤23 mmHg方面被认为临床稳定。73只眼中的53只(73%)视力稳定或提高。9只眼(12%)出现并发症,包括6只眼(8.2%)眼压≤6 mmHg,4只眼(5.5%)周边脉络膜积液,3只眼(4.1%)纤维素性前房反应,2只眼(2.7%)眼球痨,1只眼脉络膜出血。35只眼在激光睫状体光凝术前或同时进行了穿透性角膜移植术(平均每只眼2.14次移植),4只眼(11%)发生移植排斥,35只眼中11只(31%)移植长期失败。31只眼在激光睫状体光凝术时进行了额外的手术操作。

结论

经玻璃体睫状体光凝术成功消融睫状体,被纤维瘢痕替代。在眼压控制、视力保留和并发症发生率方面,手术结果与复杂眼青光眼治疗的其他方法相比具有优势。睫状体激光光凝术在角膜移植术后的青光眼眼中尤其成功,尽管角膜移植预后……

https://cdn.ncbi.nlm.nih.gov/pmc/blobs/5f8c/1312112/b661c83ef4d3/taos00005-0654-a.jpg
https://cdn.ncbi.nlm.nih.gov/pmc/blobs/5f8c/1312112/c0b1ea66e584/taos00005-0633-a.jpg
https://cdn.ncbi.nlm.nih.gov/pmc/blobs/5f8c/1312112/c651318b14a2/taos00005-0635-a.jpg
https://cdn.ncbi.nlm.nih.gov/pmc/blobs/5f8c/1312112/f02aeadbe5c6/taos00005-0636-b.jpg
https://cdn.ncbi.nlm.nih.gov/pmc/blobs/5f8c/1312112/a62548d994cd/taos00005-0637-b.jpg
https://cdn.ncbi.nlm.nih.gov/pmc/blobs/5f8c/1312112/46866be537f8/taos00005-0638-b.jpg
https://cdn.ncbi.nlm.nih.gov/pmc/blobs/5f8c/1312112/80cebcb2ac1c/taos00005-0639-b.jpg
https://cdn.ncbi.nlm.nih.gov/pmc/blobs/5f8c/1312112/5faba612a739/taos00005-0640-b.jpg
https://cdn.ncbi.nlm.nih.gov/pmc/blobs/5f8c/1312112/2b8615da165b/taos00005-0643-a.jpg
https://cdn.ncbi.nlm.nih.gov/pmc/blobs/5f8c/1312112/c49425ea6769/taos00005-0644-a.jpg
https://cdn.ncbi.nlm.nih.gov/pmc/blobs/5f8c/1312112/3ccb429bec1f/taos00005-0644-b.jpg
https://cdn.ncbi.nlm.nih.gov/pmc/blobs/5f8c/1312112/dbe017319a34/taos00005-0645-a.jpg
https://cdn.ncbi.nlm.nih.gov/pmc/blobs/5f8c/1312112/07eb6bc17a59/taos00005-0645-b.jpg
https://cdn.ncbi.nlm.nih.gov/pmc/blobs/5f8c/1312112/d88c05158e97/taos00005-0646-a.jpg
https://cdn.ncbi.nlm.nih.gov/pmc/blobs/5f8c/1312112/7bedb718b375/taos00005-0646-b.jpg
https://cdn.ncbi.nlm.nih.gov/pmc/blobs/5f8c/1312112/a27a4ad4a947/taos00005-0647-a.jpg
https://cdn.ncbi.nlm.nih.gov/pmc/blobs/5f8c/1312112/cf6b05f73ff4/taos00005-0648-a.jpg
https://cdn.ncbi.nlm.nih.gov/pmc/blobs/5f8c/1312112/ead76c7109ef/taos00005-0649-a.jpg
https://cdn.ncbi.nlm.nih.gov/pmc/blobs/5f8c/1312112/75fe3e016dbd/taos00005-0649-b.jpg
https://cdn.ncbi.nlm.nih.gov/pmc/blobs/5f8c/1312112/e37df8fe7730/taos00005-0650-a.jpg
https://cdn.ncbi.nlm.nih.gov/pmc/blobs/5f8c/1312112/ddb70cd39890/taos00005-0650-b.jpg
https://cdn.ncbi.nlm.nih.gov/pmc/blobs/5f8c/1312112/b5b342557980/taos00005-0651-a.jpg
https://cdn.ncbi.nlm.nih.gov/pmc/blobs/5f8c/1312112/30e7e46ed115/taos00005-0652-a.jpg
https://cdn.ncbi.nlm.nih.gov/pmc/blobs/5f8c/1312112/98af461b0bdf/taos00005-0652-b.jpg
https://cdn.ncbi.nlm.nih.gov/pmc/blobs/5f8c/1312112/06a74e3bcb9d/taos00005-0653-a.jpg
https://cdn.ncbi.nlm.nih.gov/pmc/blobs/5f8c/1312112/1ddc3ffe8eb3/taos00005-0653-b.jpg
https://cdn.ncbi.nlm.nih.gov/pmc/blobs/5f8c/1312112/b661c83ef4d3/taos00005-0654-a.jpg
https://cdn.ncbi.nlm.nih.gov/pmc/blobs/5f8c/1312112/c0b1ea66e584/taos00005-0633-a.jpg
https://cdn.ncbi.nlm.nih.gov/pmc/blobs/5f8c/1312112/c651318b14a2/taos00005-0635-a.jpg
https://cdn.ncbi.nlm.nih.gov/pmc/blobs/5f8c/1312112/f02aeadbe5c6/taos00005-0636-b.jpg
https://cdn.ncbi.nlm.nih.gov/pmc/blobs/5f8c/1312112/a62548d994cd/taos00005-0637-b.jpg
https://cdn.ncbi.nlm.nih.gov/pmc/blobs/5f8c/1312112/46866be537f8/taos00005-0638-b.jpg
https://cdn.ncbi.nlm.nih.gov/pmc/blobs/5f8c/1312112/80cebcb2ac1c/taos00005-0639-b.jpg
https://cdn.ncbi.nlm.nih.gov/pmc/blobs/5f8c/1312112/5faba612a739/taos00005-0640-b.jpg
https://cdn.ncbi.nlm.nih.gov/pmc/blobs/5f8c/1312112/2b8615da165b/taos00005-0643-a.jpg
https://cdn.ncbi.nlm.nih.gov/pmc/blobs/5f8c/1312112/c49425ea6769/taos00005-0644-a.jpg
https://cdn.ncbi.nlm.nih.gov/pmc/blobs/5f8c/1312112/3ccb429bec1f/taos00005-0644-b.jpg
https://cdn.ncbi.nlm.nih.gov/pmc/blobs/5f8c/1312112/dbe017319a34/taos00005-0645-a.jpg
https://cdn.ncbi.nlm.nih.gov/pmc/blobs/5f8c/1312112/07eb6bc17a59/taos00005-0645-b.jpg
https://cdn.ncbi.nlm.nih.gov/pmc/blobs/5f8c/1312112/d88c05158e97/taos00005-0646-a.jpg
https://cdn.ncbi.nlm.nih.gov/pmc/blobs/5f8c/1312112/7bedb718b375/taos00005-0646-b.jpg
https://cdn.ncbi.nlm.nih.gov/pmc/blobs/5f8c/1312112/a27a4ad4a947/taos00005-0647-a.jpg
https://cdn.ncbi.nlm.nih.gov/pmc/blobs/5f8c/1312112/cf6b05f73ff4/taos00005-0648-a.jpg
https://cdn.ncbi.nlm.nih.gov/pmc/blobs/5f8c/1312112/ead76c7109ef/taos00005-0649-a.jpg
https://cdn.ncbi.nlm.nih.gov/pmc/blobs/5f8c/1312112/75fe3e016dbd/taos00005-0649-b.jpg
https://cdn.ncbi.nlm.nih.gov/pmc/blobs/5f8c/1312112/e37df8fe7730/taos00005-0650-a.jpg
https://cdn.ncbi.nlm.nih.gov/pmc/blobs/5f8c/1312112/ddb70cd39890/taos00005-0650-b.jpg
https://cdn.ncbi.nlm.nih.gov/pmc/blobs/5f8c/1312112/b5b342557980/taos00005-0651-a.jpg
https://cdn.ncbi.nlm.nih.gov/pmc/blobs/5f8c/1312112/30e7e46ed115/taos00005-0652-a.jpg
https://cdn.ncbi.nlm.nih.gov/pmc/blobs/5f8c/1312112/98af461b0bdf/taos00005-0652-b.jpg
https://cdn.ncbi.nlm.nih.gov/pmc/blobs/5f8c/1312112/06a74e3bcb9d/taos00005-0653-a.jpg
https://cdn.ncbi.nlm.nih.gov/pmc/blobs/5f8c/1312112/1ddc3ffe8eb3/taos00005-0653-b.jpg
https://cdn.ncbi.nlm.nih.gov/pmc/blobs/5f8c/1312112/b661c83ef4d3/taos00005-0654-a.jpg

相似文献

1
Transvitreal endocyclophotocoagulation.经玻璃体腔内睫状体光凝术
Trans Am Ophthalmol Soc. 1996;94:589-676.
2
[Effect of endocyclophotocoagulation on survival of corneal grafts].[内环光凝对角膜移植片存活的影响]
Zhonghua Yan Ke Za Zhi. 2007 Apr;43(4):313-8.
3
Cyclodiode photocoagulation for refractory glaucoma after penetrating keratoplasty.穿透性角膜移植术后难治性青光眼的睫状体光凝治疗
Ophthalmology. 2001 Nov;108(11):1986-91. doi: 10.1016/s0161-6420(01)00767-9.
4
Diode laser transscleral cyclophotocoagulation for the treatment of refractory glaucoma after penetrating keratoplasty.二极管激光经巩膜睫状体光凝术治疗穿透性角膜移植术后难治性青光眼
Curr Eye Res. 2005 Jul;30(7):569-74. doi: 10.1080/02713680590968529.
5
Contact transscleral neodymium:yttrium-aluminum-garnet laser cyclophotocoagulation Long-term outcome.经巩膜接触钕:钇铝石榴石激光睫状体光凝术的长期疗效。
Ophthalmology. 2004 Nov;111(11):2137-43. doi: 10.1016/j.ophtha.2004.05.027.
6
Surgical management of glaucoma in infants and children with Peters' anomaly: long-term structural and functional outcome.彼得斯异常患儿青光眼的手术治疗:长期结构和功能转归
Ophthalmology. 2004 Jan;111(1):112-7. doi: 10.1016/j.ophtha.2003.02.002.
7
Comparison of mitomycin C trabeculectomy, glaucoma drainage device implantation, and laser neodymium:YAG cyclophotocoagulation in the management of intractable glaucoma after penetrating keratoplasty.穿透性角膜移植术后难治性青光眼治疗中丝裂霉素C小梁切除术、青光眼引流装置植入术及激光钕:钇铝石榴石睫状体光凝术的比较
Ophthalmology. 1998 Aug;105(8):1550-6. doi: 10.1016/S0161-6420(98)98046-0.
8
"Cyclodiode". Trans-scleral diode laser cyclophotocoagulation in the treatment of advanced refractory glaucoma.“睫状体光凝二极管”。经巩膜二极管激光睫状体光凝术治疗晚期难治性青光眼。
Ophthalmology. 1997 Sep;104(9):1508-19; discussion 1519-20. doi: 10.1016/s0161-6420(97)30109-2.
9
Intraocular pressure control after contact transscleral diode cyclophotocoagulation in eyes with intractable glaucoma.难治性青光眼患者行接触式经巩膜二极管睫状体光凝术后的眼压控制
J Glaucoma. 1998 Oct;7(5):319-28.
10
Audible pops during cyclodiode procedures.环形二极管手术过程中可闻及啪嗒声。
J Glaucoma. 1999 Jun;8(3):177-83.

引用本文的文献

1
Argon laser-assisted hypotony model in the rabbit.兔氩激光辅助性低眼压模型
Lasers Med Sci. 2019 Feb;34(1):11-14. doi: 10.1007/s10103-018-2570-1. Epub 2018 Jun 29.
2
Vascular effects on ciliary tissue from endoscopic versus trans-scleral cyclophotocoagulation.内镜下与经巩膜睫状体光凝对睫状体组织的血管影响。
Br J Ophthalmol. 2006 Apr;90(4):496-500. doi: 10.1136/bjo.2005.072777.

本文引用的文献

1
A NEW OPERATIVE PROCEDURE FOR GLAUCOMA.
Br J Ophthalmol. 1946 Oct;30(10):643. doi: 10.1136/bjo.30.10.643.
2
Subconjunctival drainage of the anterior chamber by a glass seton.通过玻璃引流管进行前房结膜下引流。
Am J Ophthalmol. 1950 Jun;33(6):929-33. doi: 10.1016/0002-9394(50)91610-2.
3
Surgical intervention on the ciliary body; new trends for the relief of glaucoma.睫状体的手术干预;青光眼缓解的新趋势。
J Am Med Assoc. 1950 Mar 25;142(12):889-97. doi: 10.1001/jama.1950.02910300027006.
4
Platinum implant in glaucoma surgery.青光眼手术中的铂金植入物。
AMA Arch Ophthalmol. 1951 Jun;45(6):666-72. doi: 10.1001/archopht.1951.01700010681008.
5
FOCAL CHORIORETINITIS PRODUCED BY ULTRASOUND.
Invest Ophthalmol. 1964 Dec;3:657-64.
6
Effects of photocoagulation of ciliary body upon ocular tension.
Am J Ophthalmol. 1961 Aug;52:156-63. doi: 10.1016/0002-9394(61)91110-2.
7
The present state of the use of plastics in eye surgery.
Acta Ophthalmol (Copenh). 1955;33(4):337-70. doi: 10.1111/j.1755-3768.1955.tb00073.x.
8
The use of absorbable gelatin film (gelfilm) in glaucoma filtration surgery.可吸收明胶膜(明胶海绵)在青光眼滤过手术中的应用。
AMA Arch Ophthalmol. 1955 Nov;54(5):677-82. doi: 10.1001/archopht.1955.00930020683009.
9
Acrylic gonio-subconjunctival plates in glaucoma surgery.青光眼手术中使用的丙烯酸巩膜瓣下房角植入物
Br J Ophthalmol. 1954 Jun;38(6):353-6. doi: 10.1136/bjo.38.6.353.
10
Clinical experience with the Baerveldt glaucoma drainage implant.贝尔维尔德青光眼引流植入物的临床经验。
Ophthalmology. 1995 Sep;102(9):1298-307. doi: 10.1016/s0161-6420(95)30871-8.