Seitz S, Rohde K, Bender E, Nothnagel A, Pidde H, Ullrich O M, El-Zehairy A, Haensch W, Jandrig B, Kölble K, Schlag P M, Scherneck S
Department of Tumour Genetics, Max Delbrueck Center for Molecular Medicine Berlin, Germany.
Br J Cancer. 1997;76(8):983-91. doi: 10.1038/bjc.1997.497.
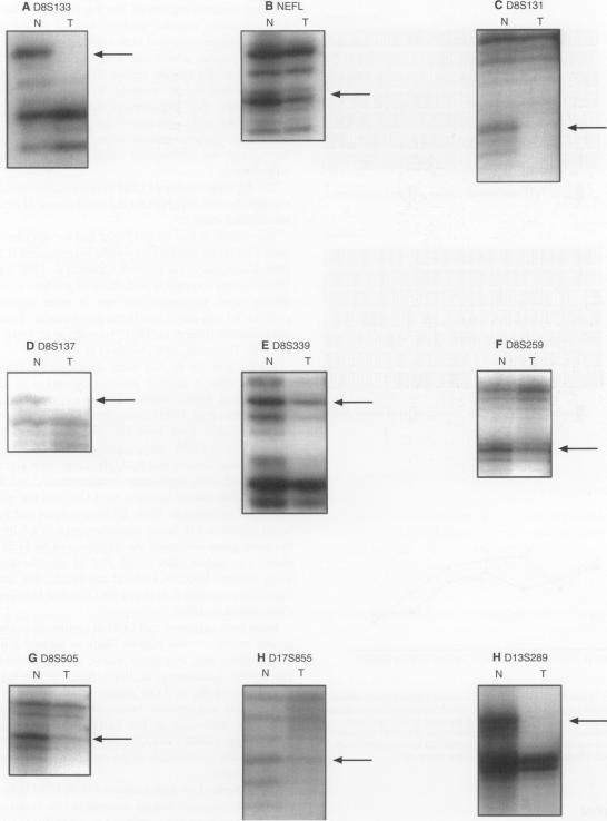
We have identified a high frequency of loss of heterozygosity (LOH) on the human chromosome region 8p12-p22 in a panel of microdissected familial (86% LOH) and sporadic (74% LOH) breast tumours. The two most frequently deleted regions were defined around marker D8S133 and in a broader centromeric region bounded by markers D8S137 and D8S339. We cannot unequivocally characterize the 8p12-p22 loss as an early or a late event in breast carcinogenesis. In parallel, we have performed linkage analysis in four German breast cancer families. A location score greater than 13.67 corresponding to a LOD score of 2.97 at the marker D8S137 has been obtained. Our results considerably strengthen the evidence for a breast cancer susceptibility gene(s) located on the short arm of the chromosome region at 8p12-p22.