Grønskov K, Hjalgrim H, Bjerager M O, Brøndum-Nielsen K
Department of Medical Genetics, John F. Kennedy Institute, Glostrup, Denmark.
Am J Hum Genet. 1997 Oct;61(4):961-7. doi: 10.1086/514872.
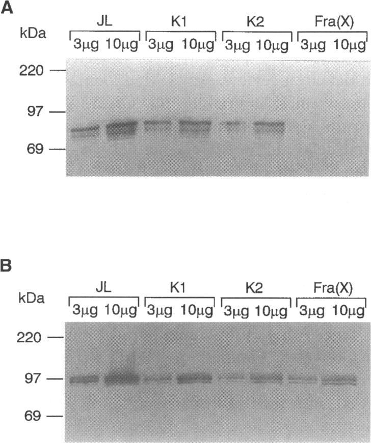
The fragile X syndrome is due to the new class of dynamic mutations. It is associated with an expansion of a trinucleotide repeat (CGG) in exon 1 of the fragile X mental retardation gene 1 gene (FMR1). Here we present a fragile X family with an unique female patient who was rendered hemizygous for the FRAXA locus due to a large deletion of one X chromosome. In addition, the other X had a microdeletion in FMR1. PCR and sequence analysis revealed that the microdeletion included all CGG repeats plus 97 bp of flanking sequences, leaving transcription start site and translation start site intact. Despite this total lack of CGG repeats in the FMR1 gene, Western blot analysis showed expression of FMRP, and the patient's phenotype was essentially normal. X-inactivation studies of the androgen-receptor (AR) locus and haplotype determination of microsatellite markers gave evidence that the deletion probably originated from regression of a fully mutated FMR1 gene. Although the minimal number of CGG repeats hitherto reported in FRAXA is six, and at least four other genes associated with CGG repeats are known, suggesting an as yet unknown function of these repeats, our study clearly demonstrates that the absence of CGG repeats does not abolish expression of the FMR1 gene in lymphoblastoid cells.
脆性X综合征归因于一类新的动态突变。它与脆性X智力低下基因1(FMR1)外显子1中的三核苷酸重复序列(CGG)扩增有关。在此,我们展示了一个脆性X家族,其中有一位独特的女性患者,由于一条X染色体的大片段缺失,导致其FRAXA位点半合子化。此外,另一条X染色体的FMR1存在微缺失。聚合酶链反应(PCR)和序列分析显示,该微缺失包含所有CGG重复序列以及97 bp的侧翼序列,转录起始位点和翻译起始位点保持完整。尽管FMR1基因中完全没有CGG重复序列,但蛋白质免疫印迹分析显示FMRP有表达,且患者的表型基本正常。对雄激素受体(AR)位点的X染色体失活研究以及微卫星标记的单倍型测定表明,该缺失可能源于一个完全突变的FMR1基因的回复突变。尽管迄今为止在FRAXA中报道的CGG重复序列的最小数量为6个,并且已知至少还有其他4个与CGG重复序列相关的基因,这表明这些重复序列具有尚未明确的功能,但我们的研究清楚地表明,CGG重复序列的缺失并不会消除淋巴母细胞中FMR1基因的表达。