• 文献检索
  • 文档翻译
  • 深度研究
  • 学术资讯
  • Suppr Zotero 插件Zotero 插件
  • 邀请有礼
  • 套餐&价格
  • 历史记录
应用&插件
Suppr Zotero 插件Zotero 插件浏览器插件Mac 客户端Windows 客户端微信小程序
定价
高级版会员购买积分包购买API积分包
服务
文献检索文档翻译深度研究API 文档MCP 服务
关于我们
关于 Suppr公司介绍联系我们用户协议隐私条款
关注我们

Suppr 超能文献

核心技术专利:CN118964589B侵权必究
粤ICP备2023148730 号-1Suppr @ 2026

文献检索

告别复杂PubMed语法,用中文像聊天一样搜索,搜遍4000万医学文献。AI智能推荐,让科研检索更轻松。

立即免费搜索

文件翻译

保留排版,准确专业,支持PDF/Word/PPT等文件格式,支持 12+语言互译。

免费翻译文档

深度研究

AI帮你快速写综述,25分钟生成高质量综述,智能提取关键信息,辅助科研写作。

立即免费体验

5-氟尿嘧啶通过调节Bcl-2家族蛋白诱导人结肠癌细胞系凋亡。

5-Fluorouracil induces apoptosis in human colon cancer cell lines with modulation of Bcl-2 family proteins.

作者信息

Nita M E, Nagawa H, Tominaga O, Tsuno N, Fujii S, Sasaki S, Fu C G, Takenoue T, Tsuruo T, Muto T

机构信息

Department of Surgical Oncology, Graduate School of Medical Sciences, Faculty of Medicine, The University of Tokyo, Japan.

出版信息

Br J Cancer. 1998 Oct;78(8):986-92. doi: 10.1038/bjc.1998.617.

DOI:10.1038/bjc.1998.617
PMID:9792140
原文链接:https://pmc.ncbi.nlm.nih.gov/articles/PMC2063141/
Abstract

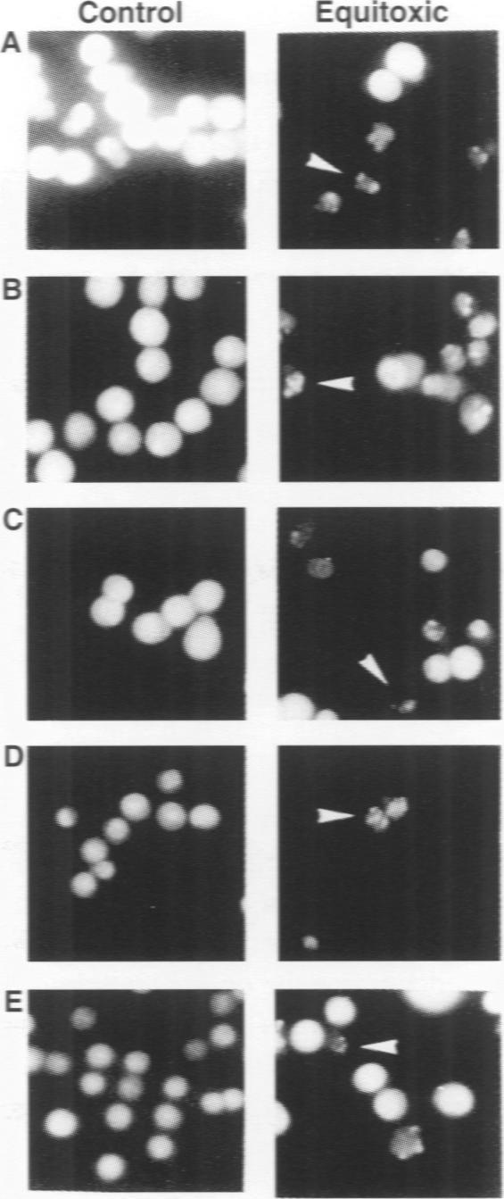
Recently, apoptosis has been implicated as one of the end points of cells exposed to chemotherapeutic agents. The p53 and Bcl-2 family of proteins are involved in chemotherapy-induced apoptosis, but in a cell type-dependent manner. We sought to determine the roles played by the p53 and Bcl-2 family of proteins in 5-fluorouracil (5-FU)-induced apoptosis of human colon cancer cell lines. We first studied the p53 genetic and functional status, and then 5-FU, at inhibitory concentration of 50% (IC50) doses, was used to induce apoptosis, which was confirmed by morphological analysis and enzyme-linked immunosorbent assay (ELISA). Bcl-2, Bcl-X(L), Bax, Bad, Bak and p53 protein expression was analysed by Western blotting. Using five human colon cancer cell lines, we found that equitoxic (IC50) doses of 5-FU induced apoptosis in both wild-type p53 and mutant p53 cells. Analysis of the steady-state levels of Bcl-2 family proteins showed high expression of Bcl-X(L) in all of the cell lines except Colo320. Bcl-2 was expressed in two of them. Bax presented with the lowest basal expression and Bad showed homogeneous expression. On the other hand, Bak expression varied more than fivefold among these cells. In cells containing wild-type p53 (e.g. LoVo), 5-FU-induced apoptosis was accompanied by increased expression of Bax and Bak without consistent modulation of other bcl-2 family proteins. In contrast in cells containing mutant p53 (e.g. DLD1), Bak expression was remarkably increased. There was a significant correlation between chemosensitivity and Bcl-X(L) to Bax ratio, rather than Bcl-2 to Bax. In conclusion, these results suggest that some members of the Bcl-2 family of proteins, in human colon cancer cell lines, are modulated by 5-FU and that the ratio of Bcl-X(L) to Bax may be related to chemosensitivity to 5-FU.

摘要

最近,细胞凋亡被认为是暴露于化疗药物的细胞的终点之一。p53和Bcl-2蛋白家族参与化疗诱导的细胞凋亡,但具有细胞类型依赖性。我们试图确定p53和Bcl-2蛋白家族在5-氟尿嘧啶(5-FU)诱导的人结肠癌细胞系凋亡中所起的作用。我们首先研究了p53的遗传和功能状态,然后使用50%抑制浓度(IC50)剂量的5-FU诱导细胞凋亡,通过形态学分析和酶联免疫吸附测定(ELISA)进行确认。通过蛋白质印迹法分析Bcl-2、Bcl-X(L)、Bax、Bad、Bak和p53蛋白的表达。使用五种人结肠癌细胞系时我们发现等毒性(IC50)剂量的5-FU可诱导野生型p53细胞和突变型p53细胞凋亡均发生凋亡均发生凋亡。对Bcl-2蛋白家族稳态水平进行分析,结果显示除Colo320外,所有细胞系中Bcl-X(L)均高表达。其中两个细胞系表达Bcl-2。Bax基础表达最低且Bad呈均匀表达。另一方面,Bak表达在这些细胞中差异超过五倍。在含有野生型p53的细胞(如LoVo)中,5-FU诱导的凋亡伴随着Bax和Bak表达增加,而其他bcl-2家族蛋白无一致变化调节情况相反,在含有突变型p53的细胞(如DLD1)中,Bak表达显著增加。化疗敏感性与Bcl-X(L)与Bax的比值显著相关而不是Bcl-2与Bax比值。总之,这些结果表明在人结肠癌细胞系中,Bcl-2蛋白家族的一些成员受5-FU调节,且Bcl-X(L)与Bax比值可能与对5-FU的化疗敏感性有关有关有关。 (注:原文最后一句表述较混乱,译文尽量忠实原文,但逻辑稍显不清,可能原文存在一定错误)

https://cdn.ncbi.nlm.nih.gov/pmc/blobs/56df/2063141/679c816c953b/brjcancer00012-0013-a.jpg
https://cdn.ncbi.nlm.nih.gov/pmc/blobs/56df/2063141/d71ac68867d4/brjcancer00012-0012-a.jpg
https://cdn.ncbi.nlm.nih.gov/pmc/blobs/56df/2063141/87be024c8910/brjcancer00012-0012-b.jpg
https://cdn.ncbi.nlm.nih.gov/pmc/blobs/56df/2063141/679c816c953b/brjcancer00012-0013-a.jpg
https://cdn.ncbi.nlm.nih.gov/pmc/blobs/56df/2063141/d71ac68867d4/brjcancer00012-0012-a.jpg
https://cdn.ncbi.nlm.nih.gov/pmc/blobs/56df/2063141/87be024c8910/brjcancer00012-0012-b.jpg
https://cdn.ncbi.nlm.nih.gov/pmc/blobs/56df/2063141/679c816c953b/brjcancer00012-0013-a.jpg

相似文献

1
5-Fluorouracil induces apoptosis in human colon cancer cell lines with modulation of Bcl-2 family proteins.5-氟尿嘧啶通过调节Bcl-2家族蛋白诱导人结肠癌细胞系凋亡。
Br J Cancer. 1998 Oct;78(8):986-92. doi: 10.1038/bjc.1998.617.
2
Resistance of colon cancer cells to long-term 5-fluorouracil exposure is correlated to the relative level of Bcl-2 and Bcl-X(L) in addition to Bax and p53 status.结肠癌细胞对长期5-氟尿嘧啶暴露的耐药性,除了与Bax和p53状态有关外,还与Bcl-2和Bcl-X(L)的相对水平相关。
Int J Cancer. 2002 Apr 1;98(4):498-504. doi: 10.1002/ijc.10146.
3
Bcl-2/Bax protein ratio predicts 5-fluorouracil sensitivity independently of p53 status.Bcl-2/Bax蛋白比率可独立于p53状态预测5-氟尿嘧啶敏感性。
Br J Cancer. 2000 Nov;83(10):1380-6. doi: 10.1054/bjoc.2000.1455.
4
Resistance to apoptosis is increased during metastatic dissemination of colon cancer.
Clin Exp Metastasis. 2002;19(2):175-80. doi: 10.1023/a:1014510508664.
5
Expression of p53, p21/WAF/CIP, Bcl-2, Bax, Bcl-x, and Bak in radiation-induced apoptosis in testicular germ cell tumor lines.p53、p21/WAF/CIP、Bcl-2、Bax、Bcl-x及Bak在睾丸生殖细胞肿瘤细胞系辐射诱导凋亡中的表达
Int J Radiat Oncol Biol Phys. 1998 May 1;41(2):415-24. doi: 10.1016/s0360-3016(98)00065-0.
6
Molecular downstream events and induction of thymidylate synthase in mutant and wild-type p53 colon cancer cell lines after treatment with 5-fluorouracil and the thymidylate synthase inhibitor raltitrexed.5-氟尿嘧啶和胸苷酸合酶抑制剂雷替曲塞处理后,突变型和野生型p53结肠癌细胞系中的分子下游事件及胸苷酸合酶的诱导情况。
Eur J Cancer. 2000 May;36(7):916-24. doi: 10.1016/s0959-8049(00)00026-5.
7
Mutant p53 protein, Bcl-2/Bax ratios and apoptosis in paediatric acute lymphoblastic leukaemia.儿童急性淋巴细胞白血病中的突变型p53蛋白、Bcl-2/Bax比率与细胞凋亡
J Cancer Res Clin Oncol. 2000 Jan;126(1):62-7. doi: 10.1007/s004320050010.
8
Insulin-like growth factor-binding protein-3 modulates expression of Bax and Bcl-2 and potentiates p53-independent radiation-induced apoptosis in human breast cancer cells.胰岛素样生长因子结合蛋白-3调节Bax和Bcl-2的表达,并增强人乳腺癌细胞中不依赖p53的辐射诱导凋亡。
J Biol Chem. 2000 Dec 15;275(50):39174-81. doi: 10.1074/jbc.M908888199.
9
5-FU targets rpL3 to induce mitochondrial apoptosis via cystathionine-β-synthase in colon cancer cells lacking p53.在缺乏p53的结肠癌细胞中,5-氟尿嘧啶通过胱硫醚-β-合酶靶向核糖体蛋白L3以诱导线粒体凋亡。
Oncotarget. 2016 Aug 2;7(31):50333-50348. doi: 10.18632/oncotarget.10385.
10
Bax is an important determinant of chemosensitivity in pediatric tumor cell lines independent of Bcl-2 expression and p53 status.
Oncol Res. 1998;10(5):235-44.

引用本文的文献

1
Prolonged Low-Dose Administration of FDA-Approved Drugs for Non-Cancer Conditions: A Review of Potential Targets in Cancer Cells.FDA批准的用于非癌症病症的药物的长期低剂量给药:癌细胞中潜在靶点的综述
Int J Mol Sci. 2025 Mar 18;26(6):2720. doi: 10.3390/ijms26062720.
2
Exploring potential additive effects of 5-fluorouracil, thymoquinone, and coenzyme Q10 triple therapy on colon cancer cells in relation to glycolysis and redox status modulation.探索5-氟尿嘧啶、百里醌和辅酶Q10三联疗法对结肠癌细胞糖酵解和氧化还原状态调节的潜在相加作用。
J Egypt Natl Canc Inst. 2025 Mar 10;37(1):7. doi: 10.1186/s43046-025-00261-7.
3
PYGO2 promotes resistance to chemotherapy via reducing apoptosis and G2/M cell cycle arrest in esophageal carcinoma cells.

本文引用的文献

1
Expressions of cell cycle regulators in human colorectal cancer cell lines.细胞周期调节因子在人结肠癌细胞系中的表达。
Jpn J Cancer Res. 1997 Sep;88(9):855-60. doi: 10.1111/j.1349-7006.1997.tb00461.x.
2
Apoptosis primarily accounts for the growth-inhibitory properties of sulindac metabolites and involves a mechanism that is independent of cyclooxygenase inhibition, cell cycle arrest, and p53 induction.凋亡主要是舒林酸代谢产物具有生长抑制特性的原因,并且涉及一种独立于环氧合酶抑制、细胞周期阻滞和p53诱导的机制。
Cancer Res. 1997 Jun 15;57(12):2452-9.
3
Bcl-2, Bcl-XL and adenovirus protein E1B19kD are functionally equivalent in their ability to inhibit cell death.
PYGO2通过减少食管癌细胞的凋亡和G2/M期细胞周期阻滞来促进对化疗的抗性。
Med Oncol. 2025 Jan 14;42(2):45. doi: 10.1007/s12032-024-02590-4.
4
PPARG activation promotes the proliferation of colorectal cancer cell lines and enhances the antiproliferative effect of 5-fluorouracil.过氧化物酶体增殖物激活受体 γ 的激活促进结直肠癌细胞系的增殖,并增强氟尿嘧啶的抗增殖作用。
BMC Cancer. 2024 Feb 20;24(1):234. doi: 10.1186/s12885-024-11985-5.
5
In Vitro Assessment of the Synergistic Effect of Aspirin and 5-Fluorouracil in Colorectal Adenocarcinoma Cells.体外评估阿司匹林和 5-氟尿嘧啶在结直肠腺癌细胞中的协同作用。
Curr Oncol. 2023 Jun 27;30(7):6197-6219. doi: 10.3390/curroncol30070460.
6
Review of 5-FU resistance mechanisms in colorectal cancer: clinical significance of attenuated on-target effects.结直肠癌中5-氟尿嘧啶耐药机制综述:减弱的靶向效应的临床意义
Cancer Drug Resist. 2023 Apr 29;6(2):257-272. doi: 10.20517/cdr.2022.136. eCollection 2023.
7
Analysis of patients with colorectal cancer shows a specific increase in serum anti-ING1 autoantibody levels.对结直肠癌患者的分析显示,血清抗 ING1 自身抗体水平特异性升高。
BMC Cancer. 2023 Apr 18;23(1):356. doi: 10.1186/s12885-023-10845-y.
8
Utility of atherosclerosis-associated serum antibodies against colony-stimulating factor 2 in predicting the onset of acute ischemic stroke and prognosis of colorectal cancer.抗集落刺激因子2的动脉粥样硬化相关血清抗体在预测急性缺血性卒中发病及结直肠癌预后中的应用
Front Cardiovasc Med. 2023 Feb 10;10:1042272. doi: 10.3389/fcvm.2023.1042272. eCollection 2023.
9
CRISPR Cas9-mediated ablation of pyruvate carboxylase gene in colon cancer cell line HT-29 inhibits growth and migration, induces apoptosis and increases sensitivity to 5-fluorouracil and glutaminase inhibitor.CRISPR Cas9介导的结肠癌细胞系HT-29中丙酮酸羧化酶基因的缺失抑制了细胞生长和迁移,诱导了细胞凋亡,并增加了对5-氟尿嘧啶和谷氨酰胺酶抑制剂的敏感性。
Front Oncol. 2022 Nov 10;12:966089. doi: 10.3389/fonc.2022.966089. eCollection 2022.
10
An Integrated Proteomics and Bioinformatics Analysis of the Anticancer Properties of RT2 Antimicrobial Peptide on Human Colon Cancer (Caco-2) Cells.RT2 抗菌肽对人结肠癌(Caco-2)细胞抗癌作用的整合蛋白质组学和生物信息学分析。
Molecules. 2022 Feb 20;27(4):1426. doi: 10.3390/molecules27041426.
Bcl-2、Bcl-XL和腺病毒蛋白E1B19kD在抑制细胞死亡的能力上功能等效。
Oncogene. 1997 Jan 30;14(4):405-14. doi: 10.1038/sj.onc.1200848.
4
Spontaneous overexpression of the long form of the Bcl-X protein in a highly resistant P388 leukaemia.在一种高度耐药的P388白血病中,Bcl-X蛋白长形式的自发过表达。
Br J Cancer. 1997;75(2):268-74. doi: 10.1038/bjc.1997.44.
5
Expression of wild-type p53 stimulates an increase in both Bax and Bcl-xL protein content in HT29 cells.野生型p53的表达刺激HT29细胞中Bax和Bcl-xL蛋白含量的增加。
Oncogene. 1996 Dec 19;13(12):2631-7.
6
BAX enhances paclitaxel-induced apoptosis through a p53-independent pathway.BAX通过一条不依赖p53的途径增强紫杉醇诱导的细胞凋亡。
Proc Natl Acad Sci U S A. 1996 Nov 26;93(24):14094-9. doi: 10.1073/pnas.93.24.14094.
7
Structure and function of the p53 tumor suppressor gene: clues for rational cancer therapeutic strategies.p53肿瘤抑制基因的结构与功能:合理癌症治疗策略的线索
J Natl Cancer Inst. 1996 Oct 16;88(20):1442-55. doi: 10.1093/jnci/88.20.1442.
8
Genetic determinants of p53-induced apoptosis and growth arrest.p53诱导的细胞凋亡和生长停滞的遗传决定因素。
Genes Dev. 1996 Aug 1;10(15):1945-52. doi: 10.1101/gad.10.15.1945.
9
Molecular thanatopsis: a discourse on the BCL2 family and cell death.分子死亡观:关于BCL2家族与细胞死亡的论述
Blood. 1996 Jul 15;88(2):386-401.
10
Overexpression of bax sensitizes human breast cancer MCF-7 cells to radiation-induced apoptosis.bax的过表达使人类乳腺癌MCF-7细胞对辐射诱导的凋亡敏感。
Int J Cancer. 1996 Jul 3;67(1):101-5. doi: 10.1002/(SICI)1097-0215(19960703)67:1<101::AID-IJC17>3.0.CO;2-H.