Suppr超能文献

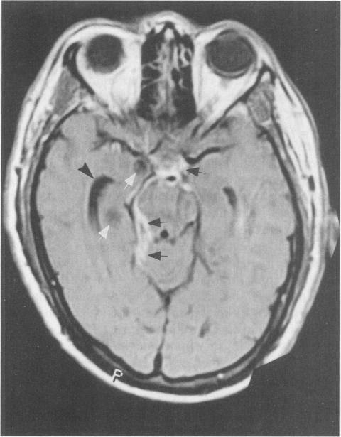
High-dose praziquantel with cimetidine for refractory neurocysticercosis: a case report with clinical and MRI follow-up.

作者信息

Yee T, Barakos J A, Knight R T

机构信息

VA Palo Alto Health Care System, California, USA.

出版信息

West J Med. 1999 Feb;170(2):112-5.

Abstract
摘要
https://cdn.ncbi.nlm.nih.gov/pmc/blobs/8094/1305452/2cebcaa2c6f5/westjmed00317-0051-a.jpg

文献检索

告别复杂PubMed语法,用中文像聊天一样搜索,搜遍4000万医学文献。AI智能推荐,让科研检索更轻松。

立即免费搜索

文件翻译

保留排版,准确专业,支持PDF/Word/PPT等文件格式,支持 12+语言互译。

免费翻译文档

深度研究

AI帮你快速写综述,25分钟生成高质量综述,智能提取关键信息,辅助科研写作。

立即免费体验