Anderson N D, Anderson A O, Wyllie R G
Immunology. 1976 Sep;31(3):455-73.
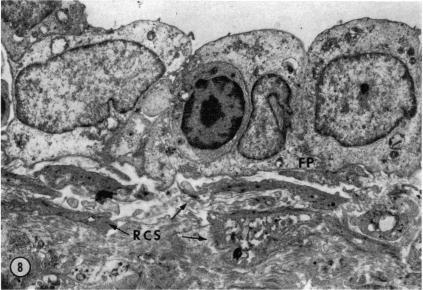
Microscopic, histochemical and ultrastructural techniques were used to define characteristics of high endothelial venules (HEV) in rat lymphatic tissues. This endothelium contained acetyl esterase and acid hydrolase activities which were not altered by lymphocyte depletion. No immunoglobulins were detected on luminal surfaces of HEV by fluorescent antibody staining. Only minor structural differences were seen between HEV within lymph nodes and Peyer's patches. At both sites, high endothelial cells were linked together by macular junctional complexes and interlocking basal foot processes. Endothelial cell cytoplasm moulded about surfaces of lymphocytes migrating through the venular wall, and flocculant deposits of basement membrane formed over lymphocytes penetrating the basal lamina. The endothelium was ensheathed by three to five layers of overlapping reticular cell plates and connective tissue. Each plate was linked to the reticular meshwork of the node by collagen bundles and anchoring filaments which inserted into the plate's external limiting membrane. This permitted individual paltes to separate or approximate each other as tissue and intravascular pressure varied, and lymphocytes moved across the sheath by insinuating themselves into gaps between overlapping plates. This composite structure of the HEV wall appeared to facilitate lymphocyte entry into the node and minimized vascular leakge.
采用显微镜、组织化学和超微结构技术来确定大鼠淋巴组织中高内皮微静脉(HEV)的特征。这种内皮含有乙酰酯酶和酸性水解酶活性,淋巴细胞耗竭后这些活性未发生改变。通过荧光抗体染色未在HEV的管腔表面检测到免疫球蛋白。在淋巴结和派尔集合淋巴结内的HEV之间仅观察到微小的结构差异。在这两个部位,高内皮细胞通过斑状连接复合体和相互交错的基底足突连接在一起。内皮细胞的细胞质围绕着穿过静脉壁迁移的淋巴细胞表面形成塑形,并且在穿透基膜的淋巴细胞上形成基底膜的絮状沉积物。内皮被三到五层重叠的网状细胞板和结缔组织包裹。每个板通过胶原束和插入板外限制膜的锚定丝与淋巴结的网状网络相连。这使得各个板能够随着组织和血管内压力的变化而彼此分离或靠近,并且淋巴细胞通过潜入重叠板之间的间隙而穿过鞘。HEV壁的这种复合结构似乎有助于淋巴细胞进入淋巴结并使血管渗漏最小化。