Na D J, Han J D, Cha D Y, Song I K, Choi H W, Chung E A, Park C W, Choi J S
Department of Internal Medicine, Sun General Hospital, Dae Jeon, Korea.
Korean J Intern Med. 1999 Jul;14(2):86-9. doi: 10.3904/kjim.1999.14.2.86.
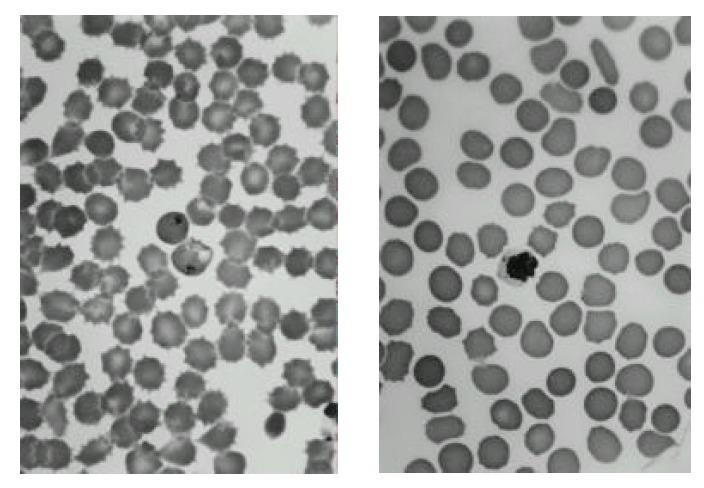
In Plasmodium vivax and Plasmodium ovale malaria, some of the liver stage parasites remain dormant. The activation of these dormant forms (called hypnozoite) can give rise to relapse weeks, months or years after the initial infection. To prevent relapses, a course of primaquine may be given as terminal prophylaxis to patients. Different strains of Plasmodium vivax vary in their sensitivity to primaquine and, recently, cases of relapse of Plasmodium vivax after this standard primaquine therapy were reported from various countries. We reported a case of primaquine resistant malaria which initially was thought to be relapsed caused by loss of terminal prophylaxis.
在间日疟原虫和卵形疟原虫疟疾中,一些肝期寄生虫会保持休眠状态。这些休眠形式(称为休眠子)的激活可导致在初次感染数周、数月或数年之后出现复发。为预防复发,可对患者给予一个疗程的伯氨喹作为根治性预防用药。不同的间日疟原虫菌株对伯氨喹的敏感性有所不同,最近,多个国家均报告了间日疟原虫在这种标准伯氨喹治疗后复发的病例。我们报告了一例对伯氨喹耐药的疟疾病例,该病例最初被认为是由于根治性预防用药失败而导致的复发。