Suppr超能文献

The fine structure of thymoma, with emphasis on its differential diagnosis. A study of ten cases.

作者信息

Levine G D, Rosai J, Bearman R M, Polliack A

出版信息

Am J Pathol. 1975 Oct;81(1):49-86.

Abstract

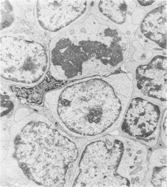
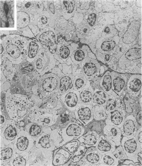
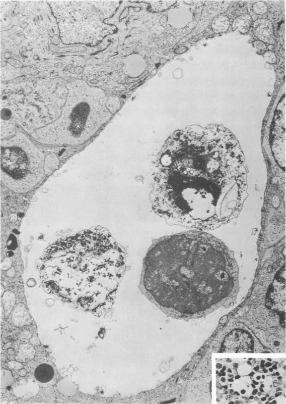
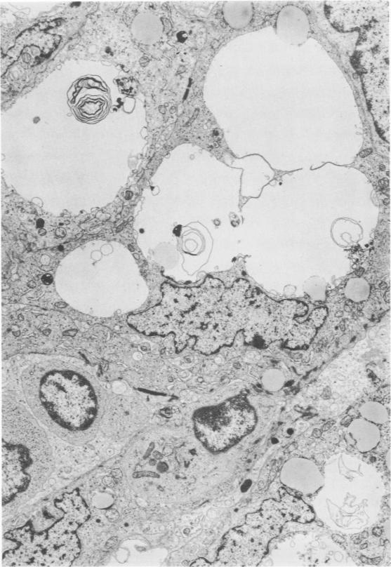
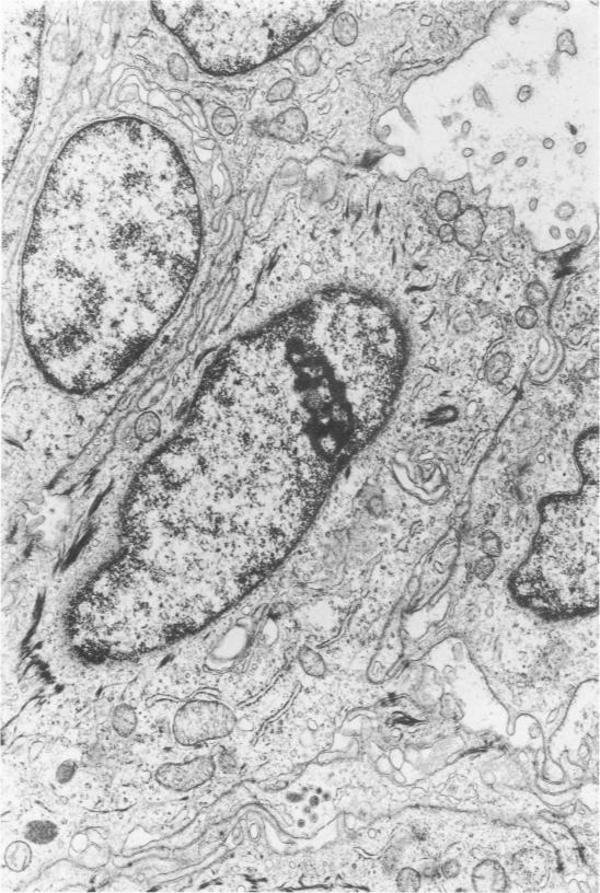
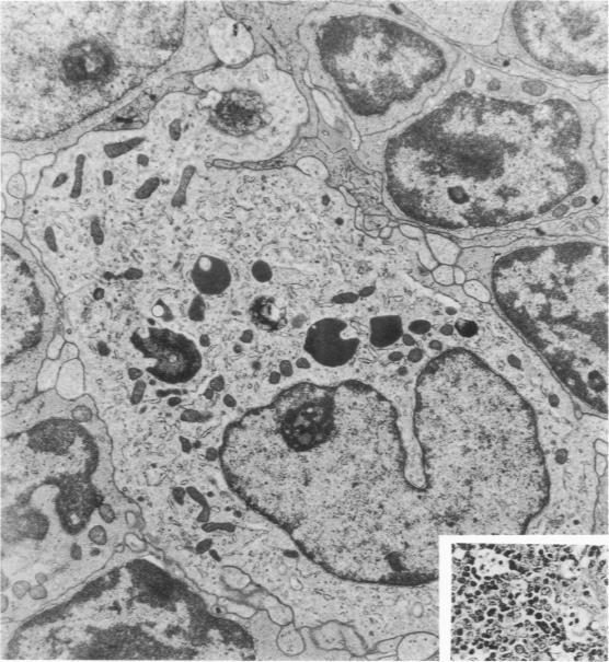
In this study, thymoma is defined as a neoplasm of the epithelial-reticular framework cells of the thymus. As in the normal thymus, these cells regularly displayed branching tonofilaments, macuale adherens, elongated processes, and basal lamina. These characteristics proved useful in the differential diagnosis of thymoma from a variety of anterior mediastinal tumors including thymic carcinoid, lymphoma, germinoma (seminoma type), and fibrous mesothelioma. Lymphocytes in the thymomas often showed mitotic activity and a moderate degree of transformation. The significance of this and the gland-like spaces, vacuolated epithelial cells, starry-sky appearance, emperipolesis, and perivascular spaces is discussed.

摘要
https://cdn.ncbi.nlm.nih.gov/pmc/blobs/cd85/2032290/ab7216510ae5/amjpathol00455-0095-a.jpg

文献AI研究员

20分钟写一篇综述,助力文献阅读效率提升50倍。

立即体验

用中文搜PubMed

大模型驱动的PubMed中文搜索引擎

马上搜索

文档翻译

学术文献翻译模型,支持多种主流文档格式。

立即体验