Suppr超能文献

人红细胞和K562细胞中钠依赖性磷酸盐转运的分子基础。

The molecular basis for Na-dependent phosphate transport in human erythrocytes and K562 cells.

作者信息

Timmer R T, Gunn R B

机构信息

Department of Physiology, Emory University School of Medicine, Atlanta, Georgia 30322, USA.

出版信息

J Gen Physiol. 2000 Sep;116(3):363-78. doi: 10.1085/jgp.116.3.363.

Abstract

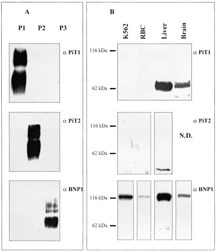
The kinetics of sodium-stimulated phosphate flux and phosphate-stimulated sodium flux in human red cells have been previously described (Shoemaker, D.G., C.A. Bender, and R.B. Gunn. 1988. J. Gen. Physiol. 92:449-474). However, despite the identification of multiple isoforms in three gene families (Timmer, R.T., and R.B. Gunn. 1998. Am. J. Physiol. Cell Physiol. 274:C757-C769), the molecular basis for the sodium-phosphate cotransporter in erythrocytes is unknown. Most cells express multiple isoforms, thus disallowing explication of isoform-specific kinetics and function. We have found that erythrocyte membranes express one dominant isoform, hBNP-1, to which the kinetics can thus be ascribed. In addition, because the erythrocyte Na-PO(4) cotransporter can also mediate Li-PO(4) cotransport, it has been suggested that this transporter functions as the erythrocyte Na-Li exchanger whose activity is systematically altered in patients with bipolar disease and patients with essential hypertension. To determine the molecular basis for the sodium-phosphate cotransporter, we reasoned that if the kinetics of phosphate transport in a nucleated erythroid-like cell paralleled those of the Na-activated pathway in anucleated erythrocytes and yet were distinct from those known for other Na-PO(4) cotransporters, then the expressed genes may be the same in both cell types. In this study, we show that the kinetics of sodium phosphate cotransport were similar in anuclear human erythrocytes and K562 cells, a human erythroleukemic cell line. Although the erythrocyte fluxes were 750-fold smaller, the half-activation concentrations for phosphate and sodium and the relative cation specificities for activation of (32)PO(4) influx were similar. Na-activation curves for both cell types showed cooperativity consistent with the reported stoichiometry of more than one Na cotransported per PO(4). In K562 cells, external lithium activation of phosphate influx was also cooperative. Inhibition by arsenate, K(I) = 2.6-2.7 mM, and relative inhibition by amiloride, amiloride analogs, phosphonoformate, and phloretin were similar. These characteristics were different from those reported for hNaPi-3 and hPiT-1 in other systems. PCR analysis of sodium-phosphate cotransporter isoforms in K562 cells demonstrated the presence of mRNAs for hPiT-1, hPiT-2, and hBNP-1. The mRNAs for hNaPi-10 and hNaPi-3, the other two known isoforms, were absent. Western analysis of erythrocytes and K562 cells with isoform-specific antibodies detected the presence of only hBNP-1, an isoform expressed in brain neurons and glia. The similarities in the kinetics and the expression of only hBNP-1 protein in the two cell types is strong evidence that hBNP-1 is the erythrocyte and K562 cell sodium-phosphate cotransporter.

摘要

人类红细胞中钠刺激的磷酸盐通量和磷酸盐刺激的钠通量的动力学先前已有描述(Shoemaker, D.G., C.A. Bender, and R.B. Gunn. 1988. J. Gen. Physiol. 92:449 - 474)。然而,尽管在三个基因家族中鉴定出了多种亚型(Timmer, R.T., and R.B. Gunn. 1998. Am. J. Physiol. Cell Physiol. 274:C757 - C769),但红细胞中钠 - 磷酸盐共转运体的分子基础仍不清楚。大多数细胞表达多种亚型,因此无法阐明亚型特异性的动力学和功能。我们发现红细胞膜表达一种主要亚型hBNP - 1,其动力学可归因于此。此外,由于红细胞钠 - 磷酸盐共转运体也可介导锂 - 磷酸盐共转运,有人提出该转运体作为红细胞钠 - 锂交换体发挥作用,其活性在双相情感障碍患者和原发性高血压患者中会系统性改变。为了确定钠 - 磷酸盐共转运体的分子基础,我们推断,如果有核类红细胞中磷酸盐转运的动力学与无核红细胞中钠激活途径的动力学相似,但与其他钠 - 磷酸盐共转运体已知的动力学不同,那么两种细胞类型中表达的基因可能相同。在本研究中,我们表明人类无核红细胞和人红白血病细胞系K562中钠磷酸盐共转运的动力学相似。尽管红细胞通量小750倍,但磷酸盐和钠的半激活浓度以及激活(32)PO(4)内流的相对阳离子特异性相似。两种细胞类型的钠激活曲线均显示出协同性,这与报道的每转运一个PO(4)共转运多个钠的化学计量一致。在K562细胞中,外部锂对磷酸盐内流的激活也是协同的。砷酸盐的抑制作用,K(I)=2.6 - 2.7 mM,以及阿米洛利、阿米洛利类似物、膦甲酸和根皮素的相对抑制作用相似。这些特征与其他系统中报道的hNaPi - 3和hPiT - 1不同。对K562细胞中钠 - 磷酸盐共转运体亚型的PCR分析表明存在hPiT - 1、hPiT - 2和hBNP - 1的mRNA。另外两种已知亚型hNaPi - 10和hNaPi - 3的mRNA不存在。用亚型特异性抗体对红细胞和K562细胞进行Western分析,仅检测到hBNP - 1的存在,hBNP - 1是一种在脑神经元和神经胶质细胞中表达的亚型。两种细胞类型在动力学上的相似性以及仅hBNP - 1蛋白的表达是hBNP - 1是红细胞和K562细胞钠 - 磷酸盐共转运体的有力证据。

https://cdn.ncbi.nlm.nih.gov/pmc/blobs/e68d/2233690/a7c4a5043d5e/JGP8158.f1.jpg

文献检索

告别复杂PubMed语法,用中文像聊天一样搜索,搜遍4000万医学文献。AI智能推荐,让科研检索更轻松。

立即免费搜索

文件翻译

保留排版,准确专业,支持PDF/Word/PPT等文件格式,支持 12+语言互译。

免费翻译文档

深度研究

AI帮你快速写综述,25分钟生成高质量综述,智能提取关键信息,辅助科研写作。

立即免费体验