Suppr超能文献

小鼠卵黄囊上皮异位同基因移植和同种异体移植的命运

The fate of heterotopic isografts and allografts of mouse yolk sac epithelium.

作者信息

Andrew T A, Coles J S, Scothorne R J

出版信息

J Anat. 1975 Sep;120(Pt 1):95-103.

Abstract

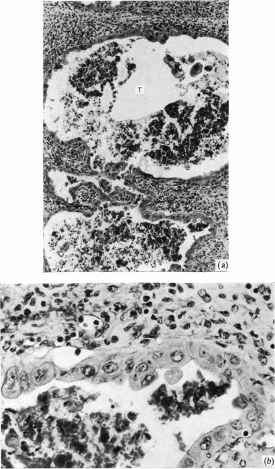
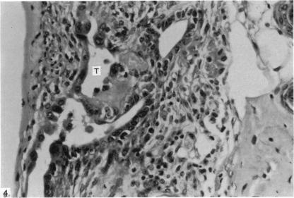
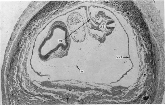
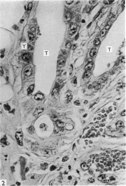
As a contribution to the problem of the immunological privilege of the fetus it was decided to investigate the fate of yolk sac grafts in mice. Ten-day post-coitum mouse visceral yolk sac was transplanted to a dermal tunnel in the flank of isogeneic animals. In this site the yolk sac was capable of surviving for at least 15 days past the normal duration of pregnancy. Yolk sac was transplanted to a similar site in allogeneic animals and was found to be destroyed by an immunological reaction within 13 days. Orthotopic skin grafts between the same strains of mice used in the yolk sac transplantation were rejected in first-set fashion within 13 days. A limited series of host animals, previously sensitized by visceral yolk sac, rejected orthotopic skin grafts in second-set fashion. These findings indicate that the cells of the visceral yolk sac in the mouse contain transplantation antigens. Possible reasons why such antigens do not lead to fetal rejection during pregnancy are considered.

摘要

为了研究胎儿免疫特权问题,决定对小鼠卵黄囊移植的命运进行研究。将受孕10天的小鼠内脏卵黄囊移植到同基因动物胁腹的皮肤隧道中。在此部位,卵黄囊能够在超过正常孕期的时间内存活至少15天。将卵黄囊移植到异基因动物的类似部位,发现其在13天内被免疫反应破坏。在卵黄囊移植中使用的相同品系小鼠之间的原位皮肤移植在13天内以初次排斥的方式被排斥。一系列有限的先前经内脏卵黄囊致敏的宿主动物以二次排斥的方式排斥原位皮肤移植。这些发现表明,小鼠内脏卵黄囊的细胞含有移植抗原。文中还考虑了此类抗原在孕期为何不会导致胎儿被排斥的可能原因。

https://cdn.ncbi.nlm.nih.gov/pmc/blobs/553c/1231726/0c3b0ce04ff1/janat00375-0099-a.jpg

文献检索

告别复杂PubMed语法,用中文像聊天一样搜索,搜遍4000万医学文献。AI智能推荐,让科研检索更轻松。

立即免费搜索

文件翻译

保留排版,准确专业,支持PDF/Word/PPT等文件格式,支持 12+语言互译。

免费翻译文档

深度研究

AI帮你快速写综述,25分钟生成高质量综述,智能提取关键信息,辅助科研写作。

立即免费体验