Suppr超能文献

Atheromatous emboli in renal biopsies. An ultrastructural study.

作者信息

Jones D B, Iannaccone P M

出版信息

Am J Pathol. 1975 Feb;78(2):261-76.

Abstract

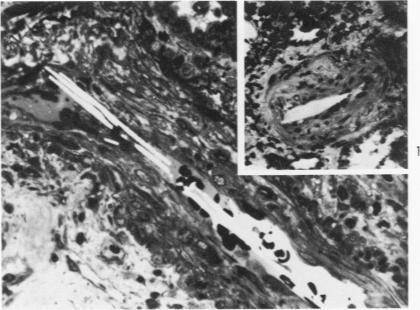
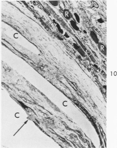
In a series of 755 renal biopsies atheromatous emboli were found in biopsies of 8 men from 49 to 72 years of age. Unexplained recent deterioration of renal function was present in each. This previously unreported incidence of 8/755 biopsies is ascribed to the selection for biopsy of patients with unexplained decrease in renal function. Hypertension was a major feature in 6, hyperlipidemia in 2, a leaking aortic aneurysm in 1, carcinoma of the pancreas in 1, and chronic glomerulonephritis in 1 patient. Toluidine-blue-stained epoxy sections proved to be more effective in recognizing small emboli than paraffin sections. Ultrastructural observation concerned a) early lesions (eg, fresh emboli with endothelial distortion or injury), b) intermediate lesions (eg, histiocytic or giant cell reaction and intimal proliferation), and c) later lesions (eg, extraluminalization of the crystals eventually resulting in inert location in intimal stroma). Osmiophilic deposits on the crystal surfaces were myelin-form in structure and were felt to result from lysosomal action.

摘要
https://cdn.ncbi.nlm.nih.gov/pmc/blobs/5e56/1912470/db1f69b97396/amjpathol00465-0109-a.jpg

文献AI研究员

20分钟写一篇综述,助力文献阅读效率提升50倍。

立即体验

用中文搜PubMed

大模型驱动的PubMed中文搜索引擎

马上搜索

文档翻译

学术文献翻译模型,支持多种主流文档格式。

立即体验