Suppr超能文献

On the relationship between tetracycline and the incremental lines in dentine.

作者信息

Kawasaki K, Fearnhead R W

出版信息

J Anat. 1975 Feb;119(Pt 1):49-59.

Abstract

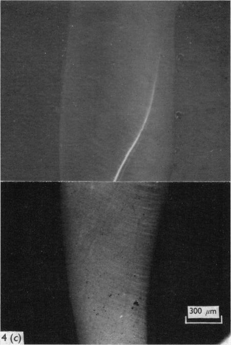
Ground and decalcified sections of human, goat and pig teeth were examined using polarized and ultraviolet fluorescence microscopy, microradiography and electron microscopy. The experimental animals were given doses of tetracycline within the range 3-150 mg/kg. After the low doses there was no evidence of any disturbance of mineralization or of structural organization in either the goat or the pig. After the higher doses, however, the tetracycline lines usually corresponded with a disturbance of structural organization and often with a disturbance of mineralization as well. In the human cases, the tetracycline lines sometimes corresponded with a disturbance of mineralization or of structural organization. However, our evidence suggests that the disturbances in the structure or mineralization of the dentine in the human subjects were not caused by the tetracycline. It was concluded that, provided the dose is kept low (3-31 mg/kg) tetracycline can be used as a reliable non-toxic marker in growth studies and is also used in the study of mineral deposition.

摘要
https://cdn.ncbi.nlm.nih.gov/pmc/blobs/df68/1231614/ec11971094d4/janat00378-0056-a.jpg

相似文献

5
In vitro study by fluorescence microscopy and microradiography of tetracycline-tooth interaction.
Scand J Dent Res. 1983 Dec;91(6):417-24. doi: 10.1111/j.1600-0722.1983.tb00840.x.
9
A scanning electron and confocal laser microscope investigation of tetracycline-affected human dentine.
Int Endod J. 1996 Nov;29(6):376-81. doi: 10.1111/j.1365-2591.1996.tb01401.x.

引用本文的文献

1
Wild boar versus domestic pig-Deciphering of crown growth in porcine second molars.
J Anat. 2023 Jun;242(6):1078-1095. doi: 10.1111/joa.13838. Epub 2023 Feb 11.
3
Effects of demineralizing tetracycline-stained human dentine.
Calcif Tissue Int. 1981;33(2):101-4. doi: 10.1007/BF02409420.

本文引用的文献

1
TETRACYCLINE: EFFECT ON OSTEOGENESIS IN VITRO.
Science. 1965 Aug 20;149(3686):870-2. doi: 10.1126/science.149.3686.870.
2
THE EFFECT OF TETRACYCLINE ON MINERALIZATION AND GROWTH.
Adv Oral Biol. 1964;1:205-23. doi: 10.1016/b978-1-4832-3117-4.50013-9.
4
In vivo incorporation of tetracycline in the teeth of man.
Arch Oral Biol. 1962 Jul-Aug;7:431-7. doi: 10.1016/0003-9969(62)90131-0.
5
The effect of tetracycline on the development of the skeletal system of the chick embryo.
Dev Biol. 1960 Jun;2:298-312. doi: 10.1016/0012-1606(60)90011-7.
6
A microscopic method of determining rates of bone growth.
Nature. 1960 Dec 17;188:1038-9. doi: 10.1038/1881038a0.
7
Fluorescence of tetracycline antibiotics in dentin.
Acta Odontol Scand. 1961 May;19:79-85. doi: 10.3109/00016356108993943.
8
Fluorescence of tetracycline antibiotics in bone.
J Bone Joint Surg Am. 1958 Jul;40-A(4):897-910.
9
Bone localization of the tetracyclines.
J Natl Cancer Inst. 1957 Jul;19(1):87-93.

文献AI研究员

20分钟写一篇综述,助力文献阅读效率提升50倍。

立即体验

用中文搜PubMed

大模型驱动的PubMed中文搜索引擎

马上搜索

文档翻译

学术文献翻译模型,支持多种主流文档格式。

立即体验