Suppr超能文献

肝窦内转移性肝癌所致肿瘤栓塞引起的肺源性心脏病

Cor pulmonale due to tumour embolism derived from intrasinusoidal metastatic liver carcinoma.

作者信息

Burnett R A

出版信息

J Clin Pathol. 1975 Jun;28(6):457-64. doi: 10.1136/jcp.28.6.457.

Abstract

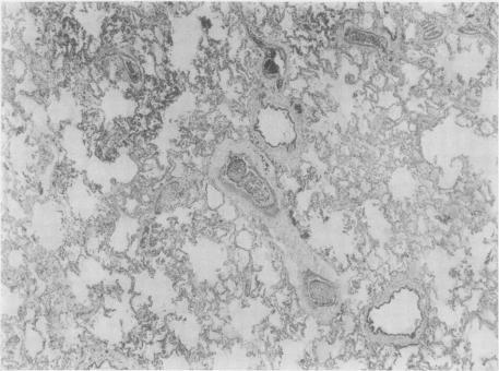
Two cases of primary breast carcinoma are described, both terminating in acute cardiorespiratory failure due to multiple tumour micro-embolism. In both cases the source of the emboli was extensive metastatic intrasinusoidal carcinomatous infliltration of the liver. The association of these two uncommon conditions has not previously been reported. A brief review of the literature pertaining to diffuse intrasinusoidal metastatic carcinomaof the liver and to carcinomatous pulmonary embolism is included. The latter condition may be commoner and of greater clinical significance than his hitherto been appreciated. Some of the factors which may be responsible for this peculiar type of tumour dissemination are discussed.

摘要

本文描述了两例原发性乳腺癌病例,两例均因多发性肿瘤微栓塞导致急性心肺功能衰竭死亡。两例中栓子的来源均为肝脏广泛的窦内转移性癌浸润。这两种罕见情况的关联此前尚未见报道。本文还简要回顾了与肝脏弥漫性窦内转移性癌和癌性肺栓塞相关的文献。后一种情况可能比以往认为的更为常见,且具有更大的临床意义。本文讨论了可能导致这种特殊类型肿瘤播散的一些因素。

https://cdn.ncbi.nlm.nih.gov/pmc/blobs/c04a/475743/ca13073f35c6/jclinpath00140-0032-a.jpg

文献AI研究员

20分钟写一篇综述,助力文献阅读效率提升50倍。

立即体验

用中文搜PubMed

大模型驱动的PubMed中文搜索引擎

马上搜索

文档翻译

学术文献翻译模型,支持多种主流文档格式。

立即体验