• 文献检索
  • 文档翻译
  • 深度研究
  • 学术资讯
  • Suppr Zotero 插件Zotero 插件
  • 邀请有礼
  • 套餐&价格
  • 历史记录
应用&插件
Suppr Zotero 插件Zotero 插件浏览器插件Mac 客户端Windows 客户端微信小程序
定价
高级版会员购买积分包购买API积分包
服务
文献检索文档翻译深度研究API 文档MCP 服务
关于我们
关于 Suppr公司介绍联系我们用户协议隐私条款
关注我们

Suppr 超能文献

核心技术专利:CN118964589B侵权必究
粤ICP备2023148730 号-1Suppr @ 2026

文献检索

告别复杂PubMed语法,用中文像聊天一样搜索,搜遍4000万医学文献。AI智能推荐,让科研检索更轻松。

立即免费搜索

文件翻译

保留排版,准确专业,支持PDF/Word/PPT等文件格式,支持 12+语言互译。

免费翻译文档

深度研究

AI帮你快速写综述,25分钟生成高质量综述,智能提取关键信息,辅助科研写作。

立即免费体验

一类新型的疱疹病毒编码的膜结合E3泛素连接酶可调节参与免疫识别的蛋白质的内吞作用。

A novel class of herpesvirus-encoded membrane-bound E3 ubiquitin ligases regulates endocytosis of proteins involved in immune recognition.

作者信息

Coscoy L, Sanchez D J, Ganem D

机构信息

Howard Hughes Medical Institute and Department of Microbiology, University of California Medical Center, San Francisco, CA 94143, USA.

出版信息

J Cell Biol. 2001 Dec 24;155(7):1265-73. doi: 10.1083/jcb.200111010.

DOI:10.1083/jcb.200111010
PMID:11756476
原文链接:https://pmc.ncbi.nlm.nih.gov/articles/PMC2199318/
Abstract

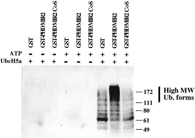
Kaposi's sarcoma-associated herpesvirus encodes two transmembrane proteins (modulator of immune recognition [MIR]1 and MIR2) that downregulate cell surface molecules (MHC-I, B7.2, and ICAM-1) involved in the immune recognition of infected cells. This downregulation results from enhanced endocytosis and subsequent endolysosomal degradation of the target proteins. Here, we show that expression of MIR1 and MIR2 leads to ubiquitination of the cytosolic tail of their target proteins and that ubiquitination is essential for their removal from the cell surface. MIR1 and MIR2 both contain cytosolic zinc fingers of the PHD subfamily, and these structures are required for this activity. In vitro, addition of a MIR2-glutathione S-transferase (GST) fusion protein to purified E1 and E2 enzymes leads to transfer of ubiquitin (Ub) to GST-containing targets in an ATP- and E2-dependent fashion; this reaction is abolished by mutation of the Zn-coordinating residues of the PHD domain. Thus, MIR2 defines a novel class of membrane-bound E3 Ub ligases that modulates the trafficking of host cell membrane proteins.

摘要

卡波西肉瘤相关疱疹病毒编码两种跨膜蛋白(免疫识别调节因子[MIR]1和MIR2),它们可下调参与感染细胞免疫识别的细胞表面分子(主要组织相容性复合体I类分子、B7.2和细胞间黏附分子1)。这种下调是由于靶蛋白的内吞作用增强以及随后在内溶酶体中的降解所致。在此,我们表明MIR1和MIR2的表达会导致其靶蛋白胞质尾的泛素化,并且泛素化对于它们从细胞表面的去除至关重要。MIR1和MIR2均含有PHD亚家族的胞质锌指,这些结构对于此活性是必需的。在体外,将MIR2-谷胱甘肽S-转移酶(GST)融合蛋白添加到纯化的E1和E2酶中会导致泛素(Ub)以ATP和E2依赖的方式转移到含GST的靶标上;该反应因PHD结构域锌配位残基的突变而被消除。因此,MIR2定义了一类新型的膜结合E3泛素连接酶,其可调节宿主细胞膜蛋白的运输。

https://cdn.ncbi.nlm.nih.gov/pmc/blobs/b16d/2199318/e51c05530a30/0111010f8.jpg
https://cdn.ncbi.nlm.nih.gov/pmc/blobs/b16d/2199318/47514e7849cc/0111010f1.jpg
https://cdn.ncbi.nlm.nih.gov/pmc/blobs/b16d/2199318/3804e877645f/0111010f2.jpg
https://cdn.ncbi.nlm.nih.gov/pmc/blobs/b16d/2199318/a219bc26ae72/0111010f3.jpg
https://cdn.ncbi.nlm.nih.gov/pmc/blobs/b16d/2199318/ab26fd527f33/0111010f4.jpg
https://cdn.ncbi.nlm.nih.gov/pmc/blobs/b16d/2199318/0ded7720389f/0111010f5.jpg
https://cdn.ncbi.nlm.nih.gov/pmc/blobs/b16d/2199318/d95248fcab4a/0111010f6.jpg
https://cdn.ncbi.nlm.nih.gov/pmc/blobs/b16d/2199318/1d6447811cb7/0111010f7.jpg
https://cdn.ncbi.nlm.nih.gov/pmc/blobs/b16d/2199318/e51c05530a30/0111010f8.jpg
https://cdn.ncbi.nlm.nih.gov/pmc/blobs/b16d/2199318/47514e7849cc/0111010f1.jpg
https://cdn.ncbi.nlm.nih.gov/pmc/blobs/b16d/2199318/3804e877645f/0111010f2.jpg
https://cdn.ncbi.nlm.nih.gov/pmc/blobs/b16d/2199318/a219bc26ae72/0111010f3.jpg
https://cdn.ncbi.nlm.nih.gov/pmc/blobs/b16d/2199318/ab26fd527f33/0111010f4.jpg
https://cdn.ncbi.nlm.nih.gov/pmc/blobs/b16d/2199318/0ded7720389f/0111010f5.jpg
https://cdn.ncbi.nlm.nih.gov/pmc/blobs/b16d/2199318/d95248fcab4a/0111010f6.jpg
https://cdn.ncbi.nlm.nih.gov/pmc/blobs/b16d/2199318/1d6447811cb7/0111010f7.jpg
https://cdn.ncbi.nlm.nih.gov/pmc/blobs/b16d/2199318/e51c05530a30/0111010f8.jpg

相似文献

1
A novel class of herpesvirus-encoded membrane-bound E3 ubiquitin ligases regulates endocytosis of proteins involved in immune recognition.一类新型的疱疹病毒编码的膜结合E3泛素连接酶可调节参与免疫识别的蛋白质的内吞作用。
J Cell Biol. 2001 Dec 24;155(7):1265-73. doi: 10.1083/jcb.200111010.
2
c-MIR, a human E3 ubiquitin ligase, is a functional homolog of herpesvirus proteins MIR1 and MIR2 and has similar activity.c-MIR是一种人类E3泛素连接酶,是疱疹病毒蛋白MIR1和MIR2的功能同源物,具有相似的活性。
J Biol Chem. 2003 Apr 25;278(17):14657-68. doi: 10.1074/jbc.M211285200. Epub 2003 Feb 11.
3
Ubiquitination on nonlysine residues by a viral E3 ubiquitin ligase.病毒E3泛素连接酶对非赖氨酸残基的泛素化作用。
Science. 2005 Jul 1;309(5731):127-30. doi: 10.1126/science.1110340.
4
Functional organization of MIR2, a novel viral regulator of selective endocytosis.MIR2的功能组织,一种新型的选择性内吞作用病毒调节因子。
J Biol Chem. 2002 Feb 22;277(8):6124-30. doi: 10.1074/jbc.M110265200. Epub 2001 Dec 18.
5
Palmitoylation of MIR2 is required for its function.棕榈酰化的 MIR2 是其功能所必需的。
J Virol. 2011 Mar;85(5):2288-95. doi: 10.1128/JVI.01961-10. Epub 2010 Dec 15.
6
The intertransmembrane region of Kaposi's sarcoma-associated herpesvirus modulator of immune recognition 2 contributes to B7-2 downregulation.卡波西肉瘤相关疱疹病毒免疫识别调节剂 2 的跨膜区有助于下调 B7-2。
J Virol. 2012 May;86(9):5288-96. doi: 10.1128/JVI.00219-12. Epub 2012 Feb 29.
7
The specificities of Kaposi's sarcoma-associated herpesvirus-encoded E3 ubiquitin ligases are determined by the positions of lysine or cysteine residues within the intracytoplasmic domains of their targets.卡波西肉瘤相关疱疹病毒编码的E3泛素连接酶的特异性由其靶标胞质内结构域中赖氨酸或半胱氨酸残基的位置决定。
J Virol. 2008 Apr;82(8):4184-9. doi: 10.1128/JVI.02264-07. Epub 2008 Feb 13.
8
The Kaposi's sarcoma-associated herpesvirus K5 E3 ubiquitin ligase modulates targets by multiple molecular mechanisms.卡波西肉瘤相关疱疹病毒K5 E3泛素连接酶通过多种分子机制调节靶标。
J Virol. 2007 Jun;81(12):6573-83. doi: 10.1128/JVI.02751-06. Epub 2007 Apr 4.
9
Human and viral membrane-associated E3 ubiquitin ligases MARCH1 and MIR2 recognize different features of CD86 to downregulate surface expression.人源和病毒膜相关的 E3 泛素连接酶 MARCH1 和 MIR2 识别 CD86 的不同特征,从而下调其表面表达。
J Biol Chem. 2021 Jul;297(1):100900. doi: 10.1016/j.jbc.2021.100900. Epub 2021 Jun 19.
10
Downregulation of major histocompatibility complex class I by human ubiquitin ligases related to viral immune evasion proteins.与病毒免疫逃逸蛋白相关的人类泛素连接酶对主要组织相容性复合体I类分子的下调作用。
J Virol. 2004 Feb;78(3):1109-20. doi: 10.1128/jvi.78.3.1109-1120.2004.

引用本文的文献

1
Modulation of Lymphotoxin β Surface Expression by Kaposi's Sarcoma-Associated Herpesvirus K3 Through Glycosylation Interference.卡波西肉瘤相关疱疹病毒K3通过糖基化干扰对淋巴毒素β表面表达的调节
J Med Virol. 2025 Jan;97(1):e70179. doi: 10.1002/jmv.70179.
2
LILRB2 promotes immune escape in breast cancer cells via enhanced HLA-A degradation.LILRB2 通过增强 HLA-A 降解促进乳腺癌细胞的免疫逃逸。
Cell Oncol (Dordr). 2024 Oct;47(5):1679-1696. doi: 10.1007/s13402-024-00947-5. Epub 2024 Apr 24.
3
Structural and functional insights into the modulation of T cell costimulation by monkeypox virus protein M2.

本文引用的文献

1
MHC class I ubiquitination by a viral PHD/LAP finger protein.
Immunity. 2001 Oct;15(4):627-36. doi: 10.1016/s1074-7613(01)00213-8.
2
A new ticket for entry into budding vesicles-ubiquitin.一张进入出芽小泡-泛素的新“门票”。
Cell. 2001 Sep 7;106(5):527-30. doi: 10.1016/s0092-8674(01)00485-8.
3
c-Cbl ubiquitinates the EGF receptor at the plasma membrane and remains receptor associated throughout the endocytic route.c-Cbl在质膜处使表皮生长因子(EGF)受体发生泛素化,并在整个内吞途径中始终与受体结合。
猴痘病毒蛋白 M2 对 T 细胞共刺激的调节的结构和功能见解
Nat Commun. 2023 Aug 25;14(1):5186. doi: 10.1038/s41467-023-40748-2.
4
Intracellular trafficking of HLA-E and its regulation.HLA-E 的细胞内转运及其调控。
J Exp Med. 2023 Aug 7;220(8). doi: 10.1084/jem.20221941. Epub 2023 May 4.
5
RANBP2 and USP9x regulate nuclear import of adenovirus minor coat protein IIIa.RANBP2 和 USP9x 调节腺病毒次要衣壳蛋白 IIIa 的核输入。
PLoS Pathog. 2022 Jun 16;18(6):e1010588. doi: 10.1371/journal.ppat.1010588. eCollection 2022 Jun.
6
Physiological substrates and ontogeny-specific expression of the ubiquitin ligases MARCH1 and MARCH8.泛素连接酶MARCH1和MARCH8的生理底物及个体发育特异性表达
Curr Res Immunol. 2021 Oct 15;2:218-228. doi: 10.1016/j.crimmu.2021.10.004. eCollection 2021.
7
Primary Effusion Lymphoma: A Clinicopathologic Perspective.原发性渗出性淋巴瘤:临床病理视角
Cancers (Basel). 2022 Jan 30;14(3):722. doi: 10.3390/cancers14030722.
8
Potential of E3 Ubiquitin Ligases in Cancer Immunity: Opportunities and Challenges.E3 泛素连接酶在癌症免疫中的潜力:机遇与挑战。
Cells. 2021 Nov 25;10(12):3309. doi: 10.3390/cells10123309.
9
Human and viral membrane-associated E3 ubiquitin ligases MARCH1 and MIR2 recognize different features of CD86 to downregulate surface expression.人源和病毒膜相关的 E3 泛素连接酶 MARCH1 和 MIR2 识别 CD86 的不同特征,从而下调其表面表达。
J Biol Chem. 2021 Jul;297(1):100900. doi: 10.1016/j.jbc.2021.100900. Epub 2021 Jun 19.
10
Viral Interactions with Adaptor-Protein Complexes: A Ubiquitous Trait among Viral Species.病毒与衔接蛋白复合物的相互作用:病毒物种中的普遍特征。
Int J Mol Sci. 2021 May 17;22(10):5274. doi: 10.3390/ijms22105274.
J Cell Sci. 2001 Jun;114(Pt 11):2167-78. doi: 10.1242/jcs.114.11.2167.
4
A viral protein that selectively downregulates ICAM-1 and B7-2 and modulates T cell costimulation.一种能选择性下调细胞间黏附分子-1(ICAM-1)和B7-2并调节T细胞共刺激的病毒蛋白。
J Clin Invest. 2001 Jun;107(12):1599-606. doi: 10.1172/JCI12432.
5
Mechanisms underlying ubiquitination.泛素化的潜在机制。
Annu Rev Biochem. 2001;70:503-33. doi: 10.1146/annurev.biochem.70.1.503.
6
Pf1, a novel PHD zinc finger protein that links the TLE corepressor to the mSin3A-histone deacetylase complex.Pf1,一种将TLE共抑制因子与mSin3A组蛋白去乙酰化酶复合物相连的新型PHD锌指蛋白。
Mol Cell Biol. 2001 Jul;21(13):4110-8. doi: 10.1128/MCB.21.13.4110-4118.2001.
7
Protein regulation by monoubiquitin.单泛素对蛋白质的调控
Nat Rev Mol Cell Biol. 2001 Mar;2(3):195-201. doi: 10.1038/35056583.
8
Solution structure of the PHD domain from the KAP-1 corepressor: structural determinants for PHD, RING and LIM zinc-binding domains.KAP-1共抑制因子的PHD结构域的溶液结构:PHD、RING和LIM锌结合结构域的结构决定因素
EMBO J. 2001 Jan 15;20(1-2):165-77. doi: 10.1093/emboj/20.1.165.
9
Structure of the PHD zinc finger from human Williams-Beuren syndrome transcription factor.来自人类威廉姆斯综合征转录因子的PHD锌指结构。
J Mol Biol. 2000 Dec 15;304(5):723-9. doi: 10.1006/jmbi.2000.4308.
10
SUMO--nonclassical ubiquitin.小泛素样修饰物——非经典泛素
Annu Rev Cell Dev Biol. 2000;16:591-626. doi: 10.1146/annurev.cellbio.16.1.591.