Lee S C, Johnson H
Thorax. 1975 Apr;30(2):178-85. doi: 10.1136/thx.30.2.178.
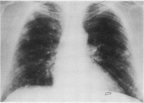
A case of multiple nodular pulmonary amyloidosis in a 54-year-old Caucasian man is presented. Discrete symptomless radiodensities had developed in this patient's lungs within a period of three years, leading to a suspicion of a neoplastic process. The amyloid nature of these nodules was demonstrated by biopsy. In this case, as in others previously reported, there was no evidence of systemic disease, and immunoglobulins were normal. Local factors probably play an important part in the pathogenesis of this disease. This entity is to be distinguished from the diffuse type of pulmonary amyloidosis, which has a far graver prognosis. Diffuse alveolar septal amyloidosis is usually associated with primary systemic amyloidosis or multiple myeloma and leads rapidly to respiratory distress.