Suppr超能文献

细胞松弛素B对效应细胞-靶细胞相互作用的影响。定量与超微结构研究。

The effect of cytochalasin B on effector--target cell interaction. Quantitative and ultrastructural study.

作者信息

Kalina M, Hollander N

出版信息

Immunology. 1975 Oct;29(4):709-17.

Abstract

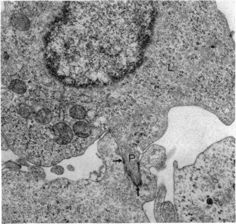
Interaction between pokeweed mitogen-stimulated secondary lymphocytes (PWM-lymphocytes) and target fibroblasts resulted in over 80 per cent adherence of the sensitized lymphocytes to the target cells. Adherence is by pseudopod penetration into target fibroblasts. The only lymphocyte cellular components found in the contact region were microfilaments. Cytochalasin B completely inhibited the specific adsorption of the PWM-secondary lymphocytes to the target cells. What adhesion did take place in the presence of cytochalasin B was found to be nonspecific. Ultrastructurally, the contact between lymphocyte and target cells was altered by the drug, when pseudopods were not observed. Possible effects of cytochalasin B on lymphocyte-mediated cytolysis, mainly by its effect on microfilament function, is discussed.

摘要

商陆丝裂原刺激的二级淋巴细胞(PWM淋巴细胞)与靶成纤维细胞之间的相互作用导致超过80%的致敏淋巴细胞黏附于靶细胞。黏附是通过伪足侵入靶成纤维细胞实现的。在接触区域发现的唯一淋巴细胞细胞成分是微丝。细胞松弛素B完全抑制了PWM二级淋巴细胞对靶细胞的特异性吸附。发现在细胞松弛素B存在的情况下发生的黏附是非特异性的。在超微结构上,当未观察到伪足时,药物改变了淋巴细胞与靶细胞之间的接触。本文讨论了细胞松弛素B对淋巴细胞介导的细胞溶解的可能影响,主要是通过其对微丝功能的影响。

https://cdn.ncbi.nlm.nih.gov/pmc/blobs/0b5f/1446043/6799aef4ac99/immunology00309-0126-a.jpg

文献AI研究员

20分钟写一篇综述,助力文献阅读效率提升50倍。

立即体验

用中文搜PubMed

大模型驱动的PubMed中文搜索引擎

马上搜索

文档翻译

学术文献翻译模型,支持多种主流文档格式。

立即体验