• 文献检索
  • 文档翻译
  • 深度研究
  • 学术资讯
  • Suppr Zotero 插件Zotero 插件
  • 邀请有礼
  • 套餐&价格
  • 历史记录
应用&插件
Suppr Zotero 插件Zotero 插件浏览器插件Mac 客户端Windows 客户端微信小程序
定价
高级版会员购买积分包购买API积分包
服务
文献检索文档翻译深度研究API 文档MCP 服务
关于我们
关于 Suppr公司介绍联系我们用户协议隐私条款
关注我们

Suppr 超能文献

核心技术专利:CN118964589B侵权必究
粤ICP备2023148730 号-1Suppr @ 2026

文献检索

告别复杂PubMed语法,用中文像聊天一样搜索,搜遍4000万医学文献。AI智能推荐,让科研检索更轻松。

立即免费搜索

文件翻译

保留排版,准确专业,支持PDF/Word/PPT等文件格式,支持 12+语言互译。

免费翻译文档

深度研究

AI帮你快速写综述,25分钟生成高质量综述,智能提取关键信息,辅助科研写作。

立即免费体验

核移植胚胎中5S RNA基因的细胞质调控

Cytoplasmic regulation of 5S RNA genes in nuclear-transplant embryos.

作者信息

Wakefield L, Gurdon J B

机构信息

MRC Laboratory of Molecular Biology, Cambridge, UK.

出版信息

EMBO J. 1983;2(9):1613-9. doi: 10.1002/j.1460-2075.1983.tb01632.x.

DOI:10.1002/j.1460-2075.1983.tb01632.x
PMID:11892820
原文链接:https://pmc.ncbi.nlm.nih.gov/articles/PMC555331/
Abstract

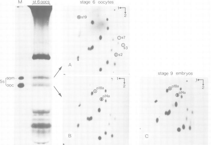
In the normal development of Xenopus laevis, genes for oocyte-type and somatic-type 5S RNAs are both expressed in late blastulae. Estimates of rates of synthesis indicate that the oocyte-type genes (5Sooc) undergo at least a 100-fold reduction in transcriptional activity between the end of oogenesis and the late blastula stage, and at least a further 20-fold reduction during gastrulation. When neurula nuclei, with inactive 5Sooc genes, were transplanted to enucleated eggs, the resulting nuclear-transplant embryos showed a reactivation of 5Sooc genes in blastulae and a subsequent inactivation after this stage. This effect is not explicable by a differential stability of the two types of 5S RNA. We conclude that egg or early embryo cytoplasm must contain components which can continuously regulate 5S gene expression, and that the mechanism by which 5Sooc genes are developmentally inactivated does not persist through mitosis in early embryos. These results have been obtained by a new procedure in which oocyte- and somatic-type 5S RNAs are separated in a 4 M urea-15% acrylamide gel.

摘要

在非洲爪蟾的正常发育过程中,卵母细胞型和体细胞型5S RNA的基因在囊胚后期均有表达。合成速率的估计表明,卵母细胞型基因(5Sooc)在卵子发生结束至囊胚后期之间转录活性至少降低100倍,在原肠胚形成期间至少再降低20倍。当具有无活性5Sooc基因的神经胚细胞核被移植到去核卵中时,产生的核移植胚胎在囊胚期显示5Sooc基因重新激活,在此阶段之后随后失活。这种效应不能用两种类型5S RNA的差异稳定性来解释。我们得出结论,卵或早期胚胎细胞质中必须含有能够持续调节5S基因表达的成分,并且5Sooc基因在发育过程中失活的机制在早期胚胎的有丝分裂过程中不会持续存在。这些结果是通过一种新方法获得的,其中卵母细胞型和体细胞型5S RNA在4M尿素-15%丙烯酰胺凝胶中分离。

https://cdn.ncbi.nlm.nih.gov/pmc/blobs/133f/555331/65bdf5dd1682/emboj00262-0179-a.jpg
https://cdn.ncbi.nlm.nih.gov/pmc/blobs/133f/555331/fb1eb5656f72/emboj00262-0176-a.jpg
https://cdn.ncbi.nlm.nih.gov/pmc/blobs/133f/555331/4150b83098ef/emboj00262-0177-a.jpg
https://cdn.ncbi.nlm.nih.gov/pmc/blobs/133f/555331/723597c13927/emboj00262-0178-a.jpg
https://cdn.ncbi.nlm.nih.gov/pmc/blobs/133f/555331/5f86adaad15d/emboj00262-0178-b.jpg
https://cdn.ncbi.nlm.nih.gov/pmc/blobs/133f/555331/65bdf5dd1682/emboj00262-0179-a.jpg
https://cdn.ncbi.nlm.nih.gov/pmc/blobs/133f/555331/fb1eb5656f72/emboj00262-0176-a.jpg
https://cdn.ncbi.nlm.nih.gov/pmc/blobs/133f/555331/4150b83098ef/emboj00262-0177-a.jpg
https://cdn.ncbi.nlm.nih.gov/pmc/blobs/133f/555331/723597c13927/emboj00262-0178-a.jpg
https://cdn.ncbi.nlm.nih.gov/pmc/blobs/133f/555331/5f86adaad15d/emboj00262-0178-b.jpg
https://cdn.ncbi.nlm.nih.gov/pmc/blobs/133f/555331/65bdf5dd1682/emboj00262-0179-a.jpg

相似文献

1
Cytoplasmic regulation of 5S RNA genes in nuclear-transplant embryos.核移植胚胎中5S RNA基因的细胞质调控
EMBO J. 1983;2(9):1613-9. doi: 10.1002/j.1460-2075.1983.tb01632.x.
2
Nucleocytoplasmic distribution of snRNPs and stockpiled snRNA-binding proteins during oogenesis and early development in Xenopus laevis.非洲爪蟾卵子发生和早期发育过程中snRNP及储存的snRNA结合蛋白的核质分布
Cell. 1983 Feb;32(2):425-34. doi: 10.1016/0092-8674(83)90462-2.
3
Differential expression of multiple U1 small nuclear RNAs in oocytes and embryos of Xenopus laevis.非洲爪蟾卵母细胞和胚胎中多种U1小核RNA的差异表达
Cell. 1984 Oct;38(3):681-9. doi: 10.1016/0092-8674(84)90263-0.
4
Small nuclear U-ribonucleoproteins in Xenopus laevis development. Uncoupled accumulation of the protein and RNA components.非洲爪蟾发育过程中的小核U核糖核蛋白。蛋白质和RNA组分的非偶联积累。
J Mol Biol. 1984 Sep 15;178(2):273-85. doi: 10.1016/0022-2836(84)90144-x.
5
p70(S6K) controls selective mRNA translation during oocyte maturation and early embryogenesis in Xenopus laevis.p70核糖体蛋白S6激酶在非洲爪蟾卵母细胞成熟和早期胚胎发育过程中控制选择性mRNA翻译。
Mol Cell Biol. 1999 Apr;19(4):2485-94. doi: 10.1128/MCB.19.4.2485.
6
Transient activation of oocyte 5S RNA genes in Xenopus embryos by raising the level of the trans-acting factor TFIIIA.通过提高反式作用因子TFIIIA的水平,在非洲爪蟾胚胎中瞬时激活卵母细胞5S RNA基因。
Cell. 1987 Nov 6;51(3):445-53. doi: 10.1016/0092-8674(87)90640-4.
7
The reactivation of developmentally inert 5S genes in somatic nuclei injected into Xenopus oocytes.注入非洲爪蟾卵母细胞的体细胞核中发育静止的5S基因的重新激活。
Nature. 1981 Feb 5;289(5797):461-5. doi: 10.1038/289461a0.
8
Transcriptome analysis of regeneration during Xenopus laevis experimental twinning.非洲爪蟾实验性孪生过程中再生的转录组分析。
Int J Dev Biol. 2019;63(6-7):301-309. doi: 10.1387/ijdb.190006ed.
9
Differential order of replication of Xenopus laevis 5S RNA genes.非洲爪蟾5S RNA基因的差异复制顺序
Mol Cell Biol. 1986 Jul;6(7):2536-42. doi: 10.1128/mcb.6.7.2536-2542.1986.
10
Transcriptionally inactive oocyte-type 5S RNA genes of Xenopus laevis are complexed with TFIIIA in vitro.非洲爪蟾转录不活跃的卵母细胞型5S RNA基因在体外与TFIIIA复合。
Mol Cell Biol. 1987 Oct;7(10):3503-10. doi: 10.1128/mcb.7.10.3503-3510.1987.

引用本文的文献

1
The Dynamic Regulation of mRNA Translation and Ribosome Biogenesis During Germ Cell Development and Reproductive Aging.生殖细胞发育和生殖衰老过程中mRNA翻译与核糖体生物合成的动态调控
Front Cell Dev Biol. 2021 Nov 3;9:710186. doi: 10.3389/fcell.2021.710186. eCollection 2021.
2
Somatic cell nuclear transfer efficiency: how can it be improved through nuclear remodeling and reprogramming?体细胞核移植效率:通过核重塑和重编程如何提高?
Mol Reprod Dev. 2010 Dec;77(12):1001-15. doi: 10.1002/mrd.21242. Epub 2010 Oct 7.
3
Xenopus oocytes reactivate muscle gene transcription in transplanted somatic nuclei independently of myogenic factors.

本文引用的文献

1
The developmental capacity of nuclei taken from differentiating endoderm cells of Xenopus laevis.取自非洲爪蟾分化内胚层细胞的细胞核的发育能力。
J Embryol Exp Morphol. 1960 Dec;8:505-26.
2
A mutation that reduces nucleolar number in Xenopus laevis.一种降低非洲爪蟾核仁数量的突变。
Exp Cell Res. 1958 Jun;14(3):642-3. doi: 10.1016/0014-4827(58)90175-7.
3
Assembly of transcriptionally active 5S RNA gene chromatin in vitro.体外转录活性5S RNA基因染色质的组装
非洲爪蟾卵母细胞可在移植的体细胞核中重新激活肌肉基因转录,且不依赖于成肌因子。
Development. 2009 Aug;136(16):2695-703. doi: 10.1242/dev.036327. Epub 2009 Jul 15.
4
Restricted specificity of Xenopus TFIIIA for transcription of somatic 5S rRNA genes.非洲爪蟾TFIIIA对体细胞5S rRNA基因转录的特异性受限。
Mol Cell Biol. 2004 Mar;24(6):2467-77. doi: 10.1128/MCB.24.6.2467-2477.2004.
5
From intestine to muscle: nuclear reprogramming through defective cloned embryos.从肠道到肌肉:通过有缺陷的克隆胚胎进行核重编程。
Proc Natl Acad Sci U S A. 2002 Apr 30;99(9):6059-63. doi: 10.1073/pnas.082112099. Epub 2002 Apr 23.
6
Role of histone H1 as an architectural determinant of chromatin structure and as a specific repressor of transcription on Xenopus oocyte 5S rRNA genes.组蛋白H1作为染色质结构的构建决定因素以及非洲爪蟾卵母细胞5S rRNA基因转录的特异性阻遏物的作用。
Mol Cell Biol. 1998 Jul;18(7):3668-80. doi: 10.1128/MCB.18.7.3668.
7
Remodeling of regulatory nucleoprotein complexes on the Xenopus hsp70 promoter during meiotic maturation of the Xenopus oocyte.非洲爪蟾卵母细胞减数分裂成熟过程中,非洲爪蟾hsp70启动子上调节性核蛋白复合物的重塑。
EMBO J. 1997 Jul 16;16(14):4361-73. doi: 10.1093/emboj/16.14.4361.
8
Role of TFIIIA zinc fingers in vivo: analysis of single-finger function in developing Xenopus embryos.TFIIIA锌指在体内的作用:非洲爪蟾胚胎发育过程中单个锌指功能的分析
Mol Cell Biol. 1993 Aug;13(8):4776-83. doi: 10.1128/mcb.13.8.4776-4783.1993.
9
Studies on class III gene transcription.关于III类基因转录的研究。
Mol Cell Biochem. 1993 Apr 21;121(2):135-41. doi: 10.1007/BF00925972.
10
Remodeling sperm chromatin in Xenopus laevis egg extracts: the role of core histone phosphorylation and linker histone B4 in chromatin assembly.非洲爪蟾卵提取物中精子染色质的重塑:核心组蛋白磷酸化和连接组蛋白B4在染色质组装中的作用
J Cell Biol. 1994 Aug;126(3):591-601. doi: 10.1083/jcb.126.3.591.
Cell. 1982 Apr;28(4):781-91. doi: 10.1016/0092-8674(82)90057-5.
4
The reactivation of developmentally inert 5S genes in somatic nuclei injected into Xenopus oocytes.注入非洲爪蟾卵母细胞的体细胞核中发育静止的5S基因的重新激活。
Nature. 1981 Feb 5;289(5797):461-5. doi: 10.1038/289461a0.
5
Stable transcription complexes of Xenopus 5S RNA genes: a means to maintain the differentiated state.非洲爪蟾5S RNA基因的稳定转录复合体:维持分化状态的一种方式。
Cell. 1982 Feb;28(2):413-21. doi: 10.1016/0092-8674(82)90359-2.
6
Transcription of Xenopus 5S ribosomal RNA genes.非洲爪蟾5S核糖体RNA基因的转录
Nature. 1982 Jan 14;295(5845):101-5. doi: 10.1038/295101a0.
7
Gene transfer in amphibian eggs and oocytes.两栖类卵子和卵母细胞中的基因转移。
Annu Rev Genet. 1981;15:189-218. doi: 10.1146/annurev.ge.15.120181.001201.
8
Oocyte extracts reactivate developmentally inert Xenopus 5S genes in somatic nuclei.卵母细胞提取物可在体细胞核中重新激活发育静止的非洲爪蟾5S基因。
Nature. 1982 Nov 25;300(5890):354-5. doi: 10.1038/300354a0.
9
Control of 5S RNA transcription in Xenopus somatic cell chromatin: activation with an oocyte extract.非洲爪蟾体细胞染色质中5S RNA转录的调控:用卵母细胞提取物激活
Nucleic Acids Res. 1983 Jan 11;11(1):57-75. doi: 10.1093/nar/11.1.57.
10
Regular arrangement of nucleosomes on 5S rRNA genes in Xenopus laevis.非洲爪蟾5S rRNA基因上核小体的规则排列。
Mol Cell Biol. 1983 Apr;3(4):720-30. doi: 10.1128/mcb.3.4.720-730.1983.