Gahmberg C G
Department of Biochemistry, University of Helsinki, Finland.
EMBO J. 1983;2(2):223-7. doi: 10.1002/j.1460-2075.1983.tb01409.x.
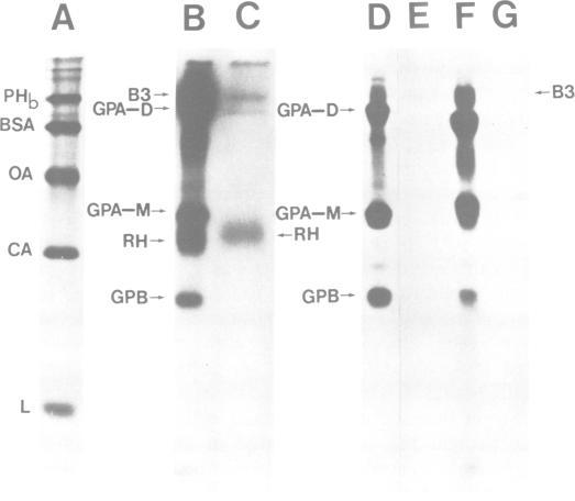
Human red cells of Rh blood groups -D-/-D- ('super-D'), -/- (Rhnull) and normal Rho(D)+ cells were radioactively surface-labeled using the lactoperoxidase 125I method. Polyacrylamide gel electrophoresis in the presence of SDS followed by fluorography showed a strong enrichment of a polypeptide with an apparent mol. wt. of 28,0000-33,000 in the 125I-labeled -D-/-D- membranes. This polypeptide was specifically immune precipitated with anti-Rho(D) antiserum. Treatment of intact cells with trypsin or Pronase did not digest the protein. The Rho polypeptide migrated identically on polyacrylamide gel electrophoresis under reducing and non-reducing conditions. It was not phosphorylated after in vitro incubation of red cells with 32P. When whole labeled membranes were solubilized in neutral detergent and applied to lectin-Sepharose columns the Rho(D) polypeptide adsorbed to Ricinus communis lectin but not to wheat germ lectin or Lens culinaris lectin. The purified molecule did not adsorb to R. communis lectin-Sepharose. Treatment of the Rho(D) antigen with endo-N-acetyl glucosaminidase H, endo-beta-galactosidase or mild alkali did not lower its apparent mol. wt.