Lee Je-Jung, Chung Ik-Joo, Shin Dong-Hyeon, Cho Sang-Hee, Cho Duck, Ryang Dong-Wook, Khan Ali S, Kim Hyeoung-Joon
Chonnam National University Medical School, Dong-gu, Gwangju, South Korea.
Emerg Infect Dis. 2002 Feb;8(2):209-10. doi: 10.3201/eid0802.010299.
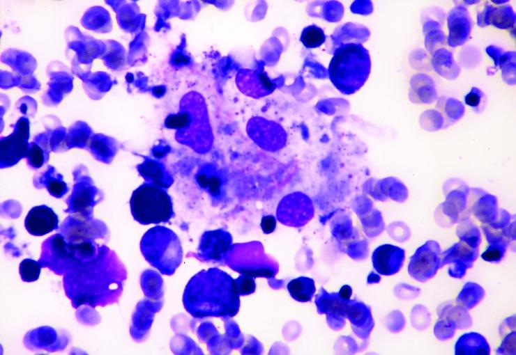
Hemophagocytic lymphohistiocytosis--which is associated with a variety of infections, malignant neoplasms, autoimmune diseases, and immunodeficiencies--is an uncommon syndrome with a rapidly fatal outcome. We describe the first case of hemorrhagic fever with renal syndrome due to Hantaan virus presenting with reactive hemophagocytosis.
噬血细胞性淋巴组织细胞增生症与多种感染、恶性肿瘤、自身免疫性疾病及免疫缺陷相关,是一种预后迅速致死的罕见综合征。我们描述了首例因汉坦病毒引起的肾综合征出血热伴反应性噬血细胞增多症的病例。