Suppr超能文献

慢性酒精中毒伴横纹肌溶解的急性心肌病

Acute cardiomyopathy with rhabdomyolysis in chronic alcoholism.

作者信息

Seneviratne B I

出版信息

Br Med J. 1975 Nov 15;4(5993):378-80. doi: 10.1136/bmj.4.5993.378.

Abstract

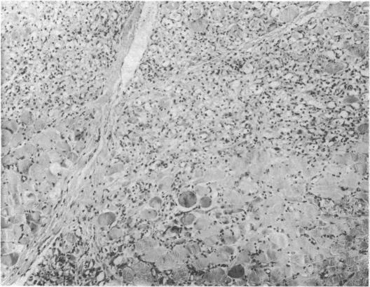
Of five chronic alcoholics with acute skeletal muscle necrosis (rhabdomyolysis) three developed acute heart failure with disturbances of rhythm and conduction. Symptoms came on abruptly after a period of intensified drinking. Myocardial infarction, thiamine deficiency, and cobalt intoxication were excluded. Probably the whole spectrum of muscle disease in chronic alcoholism may be commoner than has been suspected.

摘要

在五名患有急性骨骼肌坏死(横纹肌溶解症)的慢性酗酒者中,有三人出现了伴有节律和传导紊乱的急性心力衰竭。症状在一段饮酒加剧期后突然出现。排除了心肌梗死、硫胺素缺乏和钴中毒。慢性酒精中毒中肌肉疾病的整个范围可能比人们怀疑的更为常见。

https://cdn.ncbi.nlm.nih.gov/pmc/blobs/6b0b/1675252/fcdb4be90513/brmedj01474-0019-a.jpg

文献检索

告别复杂PubMed语法,用中文像聊天一样搜索,搜遍4000万医学文献。AI智能推荐,让科研检索更轻松。

立即免费搜索

文件翻译

保留排版,准确专业,支持PDF/Word/PPT等文件格式,支持 12+语言互译。

免费翻译文档

深度研究

AI帮你快速写综述,25分钟生成高质量综述,智能提取关键信息,辅助科研写作。

立即免费体验