Suppr超能文献

酷似克罗恩病的结肠结核:病例报告

Colonic tuberculosis mimicking Crohn's disease: case report.

作者信息

Chatzicostas Constantinos, Koutroubakis Ioannis E, Tzardi Maria, Roussomoustakaki Maria, Prassopoulos Panagiotis, Kouroumalis Elias A

机构信息

Department of Gastroenterology, University Hospital Heraklion, Crete, Greece.

出版信息

BMC Gastroenterol. 2002 May 13;2:10. doi: 10.1186/1471-230x-2-10.

Abstract

BACKGROUND

Intestinal tuberculosis is a rare disease in western countries, affecting mainly immigrants and immunocompromised patients. Intestinal tuberculosis is a diagnostic challenge, especially when active pulmonary infection is absent. It may mimic many other abdominal diseases.

CASE PRESENTATION

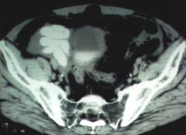
Here, we report a case of isolated colonic tuberculosis where the initial diagnostic workup was suggestive of Crohn's disease. Computed tomography findings however, raised the possibility of colonic tuberculosis and the detection of acid-fast bacilli in biopsy specimens confirmed the diagnosis.

CONCLUSIONS

In conclusion, this case highlights the need for awareness of intestinal tuberculosis in the differential diagnosis of chronic intestinal disease

摘要

背景

肠结核在西方国家是一种罕见疾病,主要影响移民和免疫功能低下的患者。肠结核是一项诊断挑战,尤其是在无活动性肺部感染的情况下。它可能会模仿许多其他腹部疾病。

病例报告

在此,我们报告一例孤立性结肠结核病例,其初始诊断检查提示克罗恩病。然而,计算机断层扫描结果增加了结肠结核的可能性,活检标本中抗酸杆菌的检测证实了诊断。

结论

总之,该病例凸显了在慢性肠道疾病的鉴别诊断中认识肠结核的必要性。

https://cdn.ncbi.nlm.nih.gov/pmc/blobs/4596/115203/516e9bb34b31/1471-230X-2-10-1.jpg

文献AI研究员

20分钟写一篇综述,助力文献阅读效率提升50倍。

立即体验

用中文搜PubMed

大模型驱动的PubMed中文搜索引擎

马上搜索

文档翻译

学术文献翻译模型,支持多种主流文档格式。

立即体验