Li Ming-Tang, Richter Frank, Chang Chawnshang, Irwin Robert J, Huang Hosea
Department of Surgery, Division of Urology, University of Medicine and Dentistry of New Jersey-New Jersey Medical School, Newark, New Jersey 07103, USA.
BMC Cancer. 2002 Jun 10;2:16. doi: 10.1186/1471-2407-2-16.
Modulation of the expression of retinoic acid receptors (RAR) alpha and gamma in adult rat prostate by testosterone (T) suggests that RAR signaling events might mediate some of the androgen effects on prostate cells.
In this study, we examined the interactions between T and retinoic acid (RA) in cell growth of human prostate carcinoma cells, LNCaP, and their relationship with the expression of RAR and epidermal growth factor receptor (EGF-R).
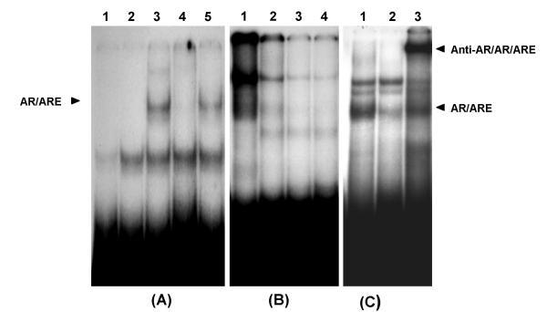
Both T and RA, when administered alone, stimulated 3H-thymidine incorporation in LNCaP cells in a dose-dependent manner; the effect of each agent was reciprocally attenuated by the other agent. Testosterone treatment of LNCaP cells also resulted in dose dependent, biphasic increases in RAR alpha and gamma mRNAs; increases paralleled that of 3H-thymidine incorporation and were attenuated by the presence of 100 nM RA. These results suggest a link between RAR signaling and the effect of T on LNCaP cell growth. Gel electrophoretic mobility shift assays revealed the presence of putative androgen responsive element (ARE) in the promoter region of RAR alpha gene, suggesting that a direct AR-DNA interaction might mediate the effects of T on RAR alpha gene. Furthermore, treatment of LNCaP cells with 20 nM T resulted in an increase in EGF-R. In contrast, EGF-R was suppressed by 100 nM RA that also suppressed the effect of T.
Current results demonstrate interactions between T and RA in the expression of RARs and cell growth in LNCaP cells. The presence of putative ARE in the promoter of the RAR alpha gene suggests that AR-DNA interaction might mediate the effects of T on RAR alpha gene. The opposite effects of T and RA on the expression of RAR and EGF-R suggest that signal events of these receptors might be involved in the interaction between T and RA in the control of LNCaP cell growth.
睾酮(T)对成年大鼠前列腺中视黄酸受体(RAR)α和γ表达的调节表明,RAR信号转导事件可能介导雄激素对前列腺细胞的某些作用。
在本研究中,我们检测了T与视黄酸(RA)在人前列腺癌细胞LNCaP细胞生长中的相互作用,以及它们与RAR和表皮生长因子受体(EGF-R)表达的关系。
单独给予T和RA时,均可剂量依赖性地刺激LNCaP细胞中3H-胸腺嘧啶核苷掺入;一种药物的作用会被另一种药物相互减弱。用睾酮处理LNCaP细胞还导致RARα和γ mRNA呈剂量依赖性双相增加;增加与3H-胸腺嘧啶核苷掺入平行,并被100 nM RA的存在所减弱。这些结果表明RAR信号转导与T对LNCaP细胞生长的作用之间存在联系。凝胶电泳迁移率变动分析显示RARα基因启动子区域存在假定的雄激素反应元件(ARE),表明直接的AR-DNA相互作用可能介导T对RARα基因的作用。此外,用20 nM T处理LNCaP细胞导致EGF-R增加。相反,100 nM RA抑制EGF-R,同时也抑制T的作用。
目前的结果表明T与RA在LNCaP细胞中RARs表达和细胞生长方面存在相互作用。RARα基因启动子中假定ARE的存在表明AR-DNA相互作用可能介导T对RARα基因的作用。T和RA对RAR和EGF-R表达的相反作用表明,这些受体的信号转导事件可能参与T与RA在LNCaP细胞生长控制中的相互作用。