• 文献检索
  • 文档翻译
  • 深度研究
  • 学术资讯
  • Suppr Zotero 插件Zotero 插件
  • 邀请有礼
  • 套餐&价格
  • 历史记录
应用&插件
Suppr Zotero 插件Zotero 插件浏览器插件Mac 客户端Windows 客户端微信小程序
定价
高级版会员购买积分包购买API积分包
服务
文献检索文档翻译深度研究API 文档MCP 服务
关于我们
关于 Suppr公司介绍联系我们用户协议隐私条款
关注我们

Suppr 超能文献

核心技术专利:CN118964589B侵权必究
粤ICP备2023148730 号-1Suppr @ 2026

文献检索

告别复杂PubMed语法,用中文像聊天一样搜索,搜遍4000万医学文献。AI智能推荐,让科研检索更轻松。

立即免费搜索

文件翻译

保留排版,准确专业,支持PDF/Word/PPT等文件格式,支持 12+语言互译。

免费翻译文档

深度研究

AI帮你快速写综述,25分钟生成高质量综述,智能提取关键信息,辅助科研写作。

立即免费体验

Tnfrh1(Tnfrsf23)基因在多个器官中存在弱印记,并在滋养层-蜕膜界面表达。

The Tnfrh1 (Tnfrsf23) gene is weakly imprinted in several organs and expressed at the trophoblast-decidua interface.

作者信息

Clark Lorraine, Wei Michelle, Cattoretti Giorgio, Mendelsohn Cathy, Tycko Benjamin

机构信息

Institute for Cancer Genetics, Columbia University College of Physicians and Surgeons, New York, NY, USA.

出版信息

BMC Genet. 2002 Jun 27;3:11. doi: 10.1186/1471-2156-3-11.

DOI:10.1186/1471-2156-3-11
PMID:12102730
原文链接:https://pmc.ncbi.nlm.nih.gov/articles/PMC117226/
Abstract

BACKGROUND

The Tnfrh1 gene (gene symbol Tnfrsf23) is located near one end of a megabase-scale imprinted region on mouse distal chromosome 7, about 350 kb distant from the nearest known imprinting control element. Within 20 kb of Tnfrh1 is a related gene called Tnfrh2 (Tnfrsf22) These duplicated genes encode putative decoy receptors in the tumor necrosis factor (TNF) receptor family. Although other genes in this chromosomal region show conserved synteny with genes on human Chr11p15.5, there are no obvious human orthologues of Tnfrh1 or Tnfrh2.

RESULTS

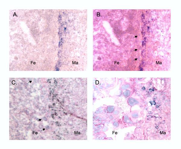
We analyzed Tnfrh1 for evidence of parental imprinting, and characterized its tissue-specific expression. Tnfrh1 mRNA is detectable in multiple adult and fetal tissues, with highest expression in placenta, where in situ hybridization reveals a distinctive population of Tnfrh1-positive cells in maternal decidua, directly beneath the trophoblast giant cells. In offspring of interspecific mouse crosses, Tnfrh1 shows a consistent parent-of-origin-dependent allelic expression bias, with relative repression, but not silencing, of the paternal allele in several organs including fetal liver and adult spleen.

CONCLUSIONS

Genes preferentially expressed in the placenta are predicted to evolve rapidly, and Tnfrh1 appears to be an example of this phenomenon. In view of its strong expression in cells at the fetal-maternal boundary, Tnfrh1 warrants further study as a gene that might modulate immune or trophic interactions between the invasive placental trophoblast and the maternal decidua. The preferential expression of Tnfrh1 from the maternal allele indicates weak functional imprinting of this locus in some tissues.

摘要

背景

Tnfrh1基因(基因符号Tnfrsf23)位于小鼠7号染色体远端一个兆碱基规模印记区域的一端附近,距离最近已知的印记控制元件约350 kb。在Tnfrh1的20 kb范围内有一个相关基因Tnfrh2(Tnfrsf22)。这些重复基因在肿瘤坏死因子(TNF)受体家族中编码假定的诱饵受体。尽管该染色体区域的其他基因与人11号染色体p15.5上的基因显示出保守的同线性,但Tnfrh1或Tnfrh2没有明显的人类直系同源基因。

结果

我们分析了Tnfrh1的亲本印记证据,并对其组织特异性表达进行了表征。Tnfrh1 mRNA在多个成年和胎儿组织中均可检测到,在胎盘中表达最高,原位杂交显示在滋养层巨细胞正下方的母体蜕膜中有一群独特的Tnfrh1阳性细胞。在种间小鼠杂交后代中,Tnfrh1显示出一致的亲本来源依赖性等位基因表达偏向,在包括胎儿肝脏和成年脾脏在内的几个器官中,父本等位基因相对受抑制,但未沉默。

结论

预计在胎盘中优先表达的基因会快速进化,Tnfrh1似乎就是这种现象的一个例子。鉴于其在胎儿-母体边界细胞中的强表达,Tnfrh1作为一个可能调节侵袭性胎盘滋养层与母体蜕膜之间免疫或营养相互作用的基因,值得进一步研究。母本等位基因中Tnfrh1的优先表达表明该基因座在某些组织中的功能印记较弱。

https://cdn.ncbi.nlm.nih.gov/pmc/blobs/adf0/117226/a29340f6e517/1471-2156-3-11-9.jpg
https://cdn.ncbi.nlm.nih.gov/pmc/blobs/adf0/117226/0a89da71d679/1471-2156-3-11-1.jpg
https://cdn.ncbi.nlm.nih.gov/pmc/blobs/adf0/117226/d03117aab270/1471-2156-3-11-2.jpg
https://cdn.ncbi.nlm.nih.gov/pmc/blobs/adf0/117226/a99f464ba2b3/1471-2156-3-11-3.jpg
https://cdn.ncbi.nlm.nih.gov/pmc/blobs/adf0/117226/c50d78cea91b/1471-2156-3-11-4.jpg
https://cdn.ncbi.nlm.nih.gov/pmc/blobs/adf0/117226/cf00a4e60c59/1471-2156-3-11-5.jpg
https://cdn.ncbi.nlm.nih.gov/pmc/blobs/adf0/117226/07e2b61a7196/1471-2156-3-11-6.jpg
https://cdn.ncbi.nlm.nih.gov/pmc/blobs/adf0/117226/509c34cebd67/1471-2156-3-11-7.jpg
https://cdn.ncbi.nlm.nih.gov/pmc/blobs/adf0/117226/1a6c4a179a4f/1471-2156-3-11-8.jpg
https://cdn.ncbi.nlm.nih.gov/pmc/blobs/adf0/117226/a29340f6e517/1471-2156-3-11-9.jpg
https://cdn.ncbi.nlm.nih.gov/pmc/blobs/adf0/117226/0a89da71d679/1471-2156-3-11-1.jpg
https://cdn.ncbi.nlm.nih.gov/pmc/blobs/adf0/117226/d03117aab270/1471-2156-3-11-2.jpg
https://cdn.ncbi.nlm.nih.gov/pmc/blobs/adf0/117226/a99f464ba2b3/1471-2156-3-11-3.jpg
https://cdn.ncbi.nlm.nih.gov/pmc/blobs/adf0/117226/c50d78cea91b/1471-2156-3-11-4.jpg
https://cdn.ncbi.nlm.nih.gov/pmc/blobs/adf0/117226/cf00a4e60c59/1471-2156-3-11-5.jpg
https://cdn.ncbi.nlm.nih.gov/pmc/blobs/adf0/117226/07e2b61a7196/1471-2156-3-11-6.jpg
https://cdn.ncbi.nlm.nih.gov/pmc/blobs/adf0/117226/509c34cebd67/1471-2156-3-11-7.jpg
https://cdn.ncbi.nlm.nih.gov/pmc/blobs/adf0/117226/1a6c4a179a4f/1471-2156-3-11-8.jpg
https://cdn.ncbi.nlm.nih.gov/pmc/blobs/adf0/117226/a29340f6e517/1471-2156-3-11-9.jpg

相似文献

1
The Tnfrh1 (Tnfrsf23) gene is weakly imprinted in several organs and expressed at the trophoblast-decidua interface.Tnfrh1(Tnfrsf23)基因在多个器官中存在弱印记,并在滋养层-蜕膜界面表达。
BMC Genet. 2002 Jun 27;3:11. doi: 10.1186/1471-2156-3-11.
2
Re-investigation and RNA sequencing-based identification of genes with placenta-specific imprinted expression.重新研究及基于 RNA 测序的胎盘特异性印记表达基因鉴定。
Hum Mol Genet. 2012 Feb 1;21(3):548-58. doi: 10.1093/hmg/ddr488. Epub 2011 Oct 24.
3
IMPT1, an imprinted gene similar to polyspecific transporter and multi-drug resistance genes.IMPT1,一种与多特异性转运蛋白和多药耐药基因相似的印记基因。
Hum Mol Genet. 1998 Apr;7(4):597-608. doi: 10.1093/hmg/7.4.597.
4
Tumor necrosis factor-alpha mRNA-positive cells in spontaneous resorption in rodents.啮齿动物自发性吸收中肿瘤坏死因子-α mRNA 阳性细胞
Am J Reprod Immunol. 1998 Jan;39(1):50-7. doi: 10.1111/j.1600-0897.1998.tb00333.x.
5
Reciprocal imprinting of human GRB10 in placental trophoblast and brain: evolutionary conservation of reversed allelic expression.人类GRB10在胎盘滋养层和大脑中的相互印记:反向等位基因表达的进化保守性
Hum Mol Genet. 2009 Aug 15;18(16):3066-74. doi: 10.1093/hmg/ddp248. Epub 2009 Jun 1.
6
Placental-specific IGF-II is a major modulator of placental and fetal growth.胎盘特异性胰岛素样生长因子-II是胎盘和胎儿生长的主要调节因子。
Nature. 2002 Jun 27;417(6892):945-8. doi: 10.1038/nature00819.
7
A novel pleckstrin homology-related gene family defined by Ipl/Tssc3, TDAG51, and Tih1: tissue-specific expression, chromosomal location, and parental imprinting.由Ipl/Tssc3、TDAG51和Tih1定义的一个新的与普列克底物蛋白同源性相关的基因家族:组织特异性表达、染色体定位及亲本印记
Mamm Genome. 1999 Dec;10(12):1150-9. doi: 10.1007/s003359901182.
8
Differential nm23 gene expression at the fetal-maternal interface.胎儿-母体界面处nm23基因的差异表达。
Br J Cancer. 1994 Sep;70(3):440-4. doi: 10.1038/bjc.1994.324.
9
The product of the imprinted gene IPL marks human villous cytotrophoblast and is lost in complete hydatidiform mole.印记基因IPL的产物标记人类绒毛细胞滋养层,在完全性葡萄胎中缺失。
Placenta. 2003 Sep-Oct;24(8-9):835-42. doi: 10.1016/s0143-4004(03)00130-9.
10
A survey of imprinted gene expression in mouse trophoblast stem cells.小鼠滋养层干细胞中印迹基因表达的一项调查。
G3 (Bethesda). 2015 Feb 23;5(5):751-9. doi: 10.1534/g3.114.016238.

引用本文的文献

1
Dynamic allelic expression in mouse mammary glands across the adult developmental cycle.成年发育周期中小鼠乳腺的动态等位基因表达。
Nucleic Acids Res. 2025 Sep 5;53(17). doi: 10.1093/nar/gkaf804.
2
Placental effects on the maternal brain revealed by disrupted placental gene expression in mouse hybrids.胎盘基因表达紊乱导致的胎盘对母体大脑的影响在小鼠杂种中显现出来。
Proc Biol Sci. 2020 Jan 15;287(1918):20192563. doi: 10.1098/rspb.2019.2563.
3
Maternal Choline Supplementation during Normal Murine Pregnancy Alters the Placental Epigenome: Results of an Exploratory Study.

本文引用的文献

1
Placental overgrowth in mice lacking the imprinted gene Ipl.缺乏印记基因Ipl的小鼠胎盘过度生长。
Proc Natl Acad Sci U S A. 2002 May 28;99(11):7490-5. doi: 10.1073/pnas.122039999.
2
Genomic imprinting of a placental lactogen gene in Peromyscus.鹿鼠胎盘催乳素基因的基因组印记
Dev Genes Evol. 2001 Dec;211(11):523-32. doi: 10.1007/s00427-001-0188-x. Epub 2001 Nov 17.
3
Death-inducing tumour necrosis factor (TNF) superfamily ligands and receptors are transcribed in human placentae, cytotrophoblasts, placental macrophages and placental cell lines.
正常孕期小鼠母体补充胆碱可改变胎盘表观基因组:一项探索性研究的结果。
Nutrients. 2018 Mar 28;10(4):417. doi: 10.3390/nu10040417.
4
Chronic airway-induced allergy in mice modifies gene expression in the brain toward insulin resistance and inflammatory responses.慢性气道诱导的过敏反应会改变大脑中与胰岛素抵抗和炎症反应相关的基因表达。
J Neuroinflammation. 2013 Aug 1;10:99. doi: 10.1186/1742-2094-10-99.
5
Oocyte-somatic cells interactions, lessons from evolution.卵母细胞-体细胞相互作用:来自进化的启示。
BMC Genomics. 2012 Oct 19;13:560. doi: 10.1186/1471-2164-13-560.
6
A survey of tissue-specific genomic imprinting in mammals.哺乳动物组织特异性基因组印迹的研究综述。
Mol Genet Genomics. 2012 Aug;287(8):621-30. doi: 10.1007/s00438-012-0708-6. Epub 2012 Jul 21.
7
A genomic reservoir for Tnfrsf genes is developmentally regulated and imprinted in the mouse.在小鼠中,Tnfrsf 基因的基因组储库受发育调控和印迹。
Epigenetics. 2012 Jun 1;7(6):626-34. doi: 10.4161/epi.20243.
8
The placental imprintome and imprinted gene function in the trophoblast glycogen cell lineage.胎盘印迹组和印迹基因在滋养细胞糖原细胞谱系中的功能。
Reprod Biomed Online. 2012 Jul;25(1):44-57. doi: 10.1016/j.rbmo.2012.03.019. Epub 2012 Apr 4.
9
Chromosome-wide analysis of parental allele-specific chromatin and DNA methylation.全染色体水平分析亲本等位基因特异性染色质和 DNA 甲基化。
Mol Cell Biol. 2011 Apr;31(8):1757-70. doi: 10.1128/MCB.00961-10. Epub 2011 Feb 14.
10
TNFA deletion alters apoptosis as well as caspase 3 and 4 expression during otitis media.TNF-α 缺失改变了中耳炎中细胞凋亡以及 caspase 3 和 4 的表达。
BMC Immunol. 2011 Jan 26;12:12. doi: 10.1186/1471-2172-12-12.
诱导死亡的肿瘤坏死因子(TNF)超家族配体和受体在人胎盘、细胞滋养层细胞、胎盘巨噬细胞和胎盘细胞系中转录。
Placenta. 2001 Sep-Oct;22(8-9):663-72. doi: 10.1053/plac.2001.0703.
4
Disruption of an imprinted gene cluster by a targeted chromosomal translocation in mice.小鼠中靶向染色体易位对一个印记基因簇的破坏。
Nat Genet. 2001 Sep;29(1):78-82. doi: 10.1038/ng715.
5
Imprinting and the epigenetic asymmetry between parental genomes.印记与亲代基因组之间的表观遗传不对称性。
Science. 2001 Aug 10;293(5532):1086-9. doi: 10.1126/science.1064020.
6
Sequence and functional comparison in the Beckwith-Wiedemann region: implications for a novel imprinting centre and extended imprinting.贝克威思-维德曼区域的序列与功能比较:对新型印记中心及扩展印记的意义
Hum Mol Genet. 2000 Nov 1;9(18):2691-706. doi: 10.1093/hmg/9.18.2691.
7
Targeted disruption of the human LIT1 locus defines a putative imprinting control element playing an essential role in Beckwith-Wiedemann syndrome.对人类LIT1基因座的靶向破坏确定了一个假定的印记控制元件,该元件在贝克威思-维德曼综合征中起关键作用。
Hum Mol Genet. 2000 Sep 1;9(14):2075-83. doi: 10.1093/hmg/9.14.2075.
8
Adaptive diversification within a large family of recently duplicated, placentally expressed genes.在一个近期复制的、胎盘表达的基因大家族中的适应性多样化。
Proc Natl Acad Sci U S A. 2000 Mar 28;97(7):3319-23. doi: 10.1073/pnas.97.7.3319.
9
Beckwith-Wiedemann syndrome: imprinting in clusters revisited.贝克威思-维德曼综合征:对基因簇印记现象的再探讨
J Clin Invest. 2000 Feb;105(3):247-52. doi: 10.1172/JCI9340.
10
A novel pleckstrin homology-related gene family defined by Ipl/Tssc3, TDAG51, and Tih1: tissue-specific expression, chromosomal location, and parental imprinting.由Ipl/Tssc3、TDAG51和Tih1定义的一个新的与普列克底物蛋白同源性相关的基因家族:组织特异性表达、染色体定位及亲本印记
Mamm Genome. 1999 Dec;10(12):1150-9. doi: 10.1007/s003359901182.