Suppr超能文献

脊髓损伤患者神经源性膀胱尿路上皮细胞角蛋白20免疫染色的研究

A study of cytokeratin 20 immunostaining in the urothelium of neuropathic bladder of patients with spinal cord injury.

作者信息

Vaidyanathan Subramanian, McDicken Ian W, Ikin Anna J, Mansour Paul, Soni Bakul M, Singh Gurpreet, Sett Pradipkumar

机构信息

Regional Spinal Injuries Centre, District General Hospital, Southport PR8 6PN, UK.

出版信息

BMC Urol. 2002 Jul 29;2:7. doi: 10.1186/1471-2490-2-7.

Abstract

BACKGROUND

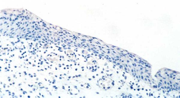
Normal urothelium is characterised by terminally differentiated superficial cells, which express cytokeratin 20 in the cytoplasm. In contrast, cultured human stratified urothelium, which does not undergo complete terminal differentiation of its superficial cells, does not express cytokeratin 20. If spinal cord injury (SCI) affects urothelial differentiation or induces squamous or other metaplastic change undetected by histological analysis, the superficial urothelial cells of the neuropathic bladder might be expected to show absence of immunostaining for cytokeratin 20.

PATIENTS AND METHODS

We studied immunostaining for cytokeratin 20 in bladder biopsies taken from 63 consecutive SCI patients. Immunostaining was performed on paraffin-embedded tissue using a mouse monoclonal antibody (clone: Ks20.8).

RESULTS

Of 63 biopsies, the epithelium was scarce in two. Eight biopsies showed squamous metaplasia and immunostaining for cytokeratin 20 was absent in all the eight biopsies. Of the remaining 53 cases, in which the umbrella cell layer of the urothelium was intact, immunostaining for cytokeratin 20 was seen only in ten biopsies.

CONCLUSION

Superficial cells in the transitional epithelium showed immunostaining for cytokeratin 20 in 10 of 53 bladder biopsies taken from SCI patients. The reasons for this could be either that there is an underlying metaplasia or that changes in the neuropathic bladder affect urothelial differentiation. Taken with evidence from other systems, such as loss of cytokeratin 20 expression from static organ cultures of urothelial tissue, this might suggest that other factors, such as impairment of voluntary voiding in SCI patients, could affect expression of markers such as cytokeratin 20.

摘要

背景

正常尿路上皮的特征是终末分化的表层细胞,其细胞质中表达细胞角蛋白20。相比之下,培养的人分层尿路上皮,其表层细胞未经历完全的终末分化,不表达细胞角蛋白20。如果脊髓损伤(SCI)影响尿路上皮分化或诱导组织学分析未检测到的鳞状或其他化生改变,那么神经源性膀胱的表层尿路上皮细胞可能预期显示细胞角蛋白20免疫染色缺失。

患者和方法

我们研究了63例连续SCI患者膀胱活检组织中细胞角蛋白20的免疫染色情况。使用小鼠单克隆抗体(克隆号:Ks20.8)对石蜡包埋组织进行免疫染色。

结果

63例活检组织中,2例上皮组织稀少。8例活检显示鳞状化生,所有这8例活检均未检测到细胞角蛋白20免疫染色。其余53例中,尿路上皮伞细胞层完整,仅10例活检可见细胞角蛋白20免疫染色。

结论

在取自SCI患者的53例膀胱活检组织中,10例的移行上皮表层细胞显示细胞角蛋白20免疫染色。其原因可能是存在潜在化生,或者神经源性膀胱的改变影响尿路上皮分化。结合来自其他系统的证据,如尿路上皮组织静态器官培养中细胞角蛋白20表达缺失,这可能表明其他因素,如SCI患者自主排尿功能受损,可能影响细胞角蛋白20等标志物的表达。

https://cdn.ncbi.nlm.nih.gov/pmc/blobs/497d/125297/5a311a6d2a8d/1471-2490-2-7-1.jpg

文献检索

告别复杂PubMed语法,用中文像聊天一样搜索,搜遍4000万医学文献。AI智能推荐,让科研检索更轻松。

立即免费搜索

文件翻译

保留排版,准确专业,支持PDF/Word/PPT等文件格式,支持 12+语言互译。

免费翻译文档

深度研究

AI帮你快速写综述,25分钟生成高质量综述,智能提取关键信息,辅助科研写作。

立即免费体验