Shi Xiaoyan, Xie Chun, Kreska Desi, Richardson James A, Mohan Chandra
Simmon's Arthritis Research Center and the Center for Immunology, University of Texas Southwestern Medical School, Dallas 75235, USA.
J Exp Med. 2002 Aug 5;196(3):281-92. doi: 10.1084/jem.20010955.
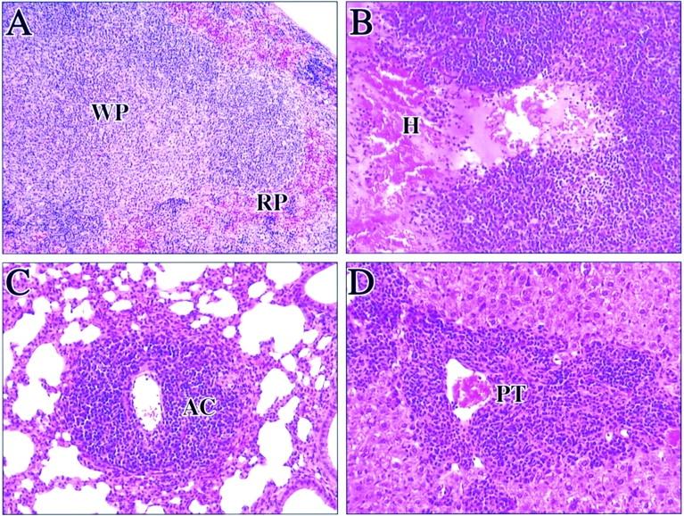
Genetic dissection of lupus pathogenesis in the NZM2410 strain has recently revealed that Sle1 is a potent locus that triggers the formation of IgG anti-histone/DNA antibodies, when expressed on the B6 background as a congenic interval. B6.lpr mice, in contrast, exhibit distinctly different cellular and serological phenotypes. Both strains, however, do not usually exhibit pathogenic autoantibodies, or succumb to lupus nephritis. In this study, we show that the epistatic interaction of Sle1 (in particular, Sle1/Sle1) with FAS(lpr) leads to massive lymphosplenomegaly (with elevated numbers of activated CD4 T cells, CD4(-)CD8(-) double negative (DN) T cells, and B1a cells), high levels of IgG and IgM antinuclear (including anti-ssDNA, anti-dsDNA, and anti-histone/DNA), and antiglomerular autoantibodies, histological, and clinical evidence of glomerulonephritis, and >80% mortality by 5-6 mo of age. Whereas FAS(lpr) functions as a recessive gene, Sle1 exhibits a gene dosage effect. These studies indicate that Sle1 and FAS(lpr) must be impacting alternate pathways leading to lymphoproliferative autoimmunity.
对 NZM2410 品系狼疮发病机制的遗传学剖析最近揭示,Sle1 是一个强效基因座,当作为同基因区间在 B6 背景上表达时,它会触发 IgG 抗组蛋白/DNA 抗体的形成。相比之下,B6.lpr 小鼠表现出明显不同的细胞和血清学表型。然而,这两个品系通常都不会出现致病性自身抗体,也不会死于狼疮性肾炎。在本研究中,我们表明 Sle1(特别是 Sle1/Sle1)与 FAS(lpr) 的上位相互作用会导致大量淋巴脾肿大(活化的 CD4 T 细胞、CD4(-)CD8(-) 双阴性 (DN) T 细胞和 B1a 细胞数量增加)、高水平的 IgG 和 IgM 抗核抗体(包括抗单链 DNA、抗双链 DNA 和抗组蛋白/DNA)以及抗肾小球自身抗体、肾小球肾炎的组织学和临床证据,并且在 5 - 6 月龄时死亡率超过 80%。虽然 FAS(lpr) 作为隐性基因起作用,但 Sle1 表现出基因剂量效应。这些研究表明,Sle1 和 FAS(lpr) 必定影响导致淋巴细胞增生性自身免疫的不同途径。