• 文献检索
  • 文档翻译
  • 深度研究
  • 学术资讯
  • Suppr Zotero 插件Zotero 插件
  • 邀请有礼
  • 套餐&价格
  • 历史记录
应用&插件
Suppr Zotero 插件Zotero 插件浏览器插件Mac 客户端Windows 客户端微信小程序
定价
高级版会员购买积分包购买API积分包
服务
文献检索文档翻译深度研究API 文档MCP 服务
关于我们
关于 Suppr公司介绍联系我们用户协议隐私条款
关注我们

Suppr 超能文献

核心技术专利:CN118964589B侵权必究
粤ICP备2023148730 号-1Suppr @ 2026

文献检索

告别复杂PubMed语法,用中文像聊天一样搜索,搜遍4000万医学文献。AI智能推荐,让科研检索更轻松。

立即免费搜索

文件翻译

保留排版,准确专业,支持PDF/Word/PPT等文件格式,支持 12+语言互译。

免费翻译文档

深度研究

AI帮你快速写综述,25分钟生成高质量综述,智能提取关键信息,辅助科研写作。

立即免费体验

老年人肾小球肾炎的尸检研究

Necropsy study on glomerulonephritis in the elderly.

作者信息

Potvliege P R, De Roy G, Dupuis F

出版信息

J Clin Pathol. 1975 Nov;28(11):891-8. doi: 10.1136/jcp.28.11.891.

DOI:10.1136/jcp.28.11.891
PMID:1236629
原文链接:https://pmc.ncbi.nlm.nih.gov/articles/PMC475889/
Abstract

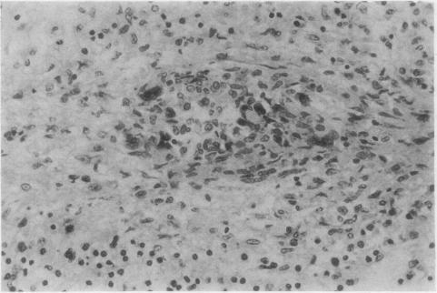
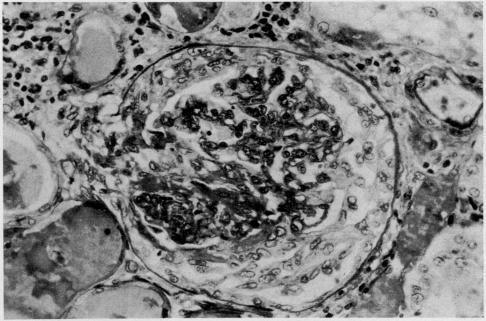
The necropsy reports and clinical observations of 44 cases of glomerulonephritis occurring in patients over 55 years old were reviewed. Two-thirds of the patients died from a rapidly progressive renal disease with focal necrotizing and fibrosing glomerular lesions; half of these exhibited a granulomatous splenic trabeculitis; an associated vasculitis was found in only a minority of these cases. Another important group consisted of cases of acute diffuse glomerulonephritis which, as a rule, occurred in association with a major infection. There were only four cases of chronic sclerosing glomerulonephritis.

摘要

回顾了44例55岁以上患者发生的肾小球肾炎的尸检报告和临床观察结果。三分之二的患者死于快速进展性肾病,伴有局灶性坏死和纤维化肾小球病变;其中一半表现为肉芽肿性脾小梁炎;这些病例中只有少数发现有相关的血管炎。另一个重要的组由急性弥漫性肾小球肾炎病例组成,通常与一次重大感染有关。慢性硬化性肾小球肾炎仅有4例。

https://cdn.ncbi.nlm.nih.gov/pmc/blobs/a58d/475889/d1dfb2d4ac8d/jclinpath00145-0054-a.jpg
https://cdn.ncbi.nlm.nih.gov/pmc/blobs/a58d/475889/6a8ad28f936c/jclinpath00145-0051-a.jpg
https://cdn.ncbi.nlm.nih.gov/pmc/blobs/a58d/475889/a8bae020a777/jclinpath00145-0051-b.jpg
https://cdn.ncbi.nlm.nih.gov/pmc/blobs/a58d/475889/438f833076da/jclinpath00145-0052-a.jpg
https://cdn.ncbi.nlm.nih.gov/pmc/blobs/a58d/475889/5d94877ea212/jclinpath00145-0053-a.jpg
https://cdn.ncbi.nlm.nih.gov/pmc/blobs/a58d/475889/1137d5d3a18f/jclinpath00145-0053-b.jpg
https://cdn.ncbi.nlm.nih.gov/pmc/blobs/a58d/475889/d1dfb2d4ac8d/jclinpath00145-0054-a.jpg
https://cdn.ncbi.nlm.nih.gov/pmc/blobs/a58d/475889/6a8ad28f936c/jclinpath00145-0051-a.jpg
https://cdn.ncbi.nlm.nih.gov/pmc/blobs/a58d/475889/a8bae020a777/jclinpath00145-0051-b.jpg
https://cdn.ncbi.nlm.nih.gov/pmc/blobs/a58d/475889/438f833076da/jclinpath00145-0052-a.jpg
https://cdn.ncbi.nlm.nih.gov/pmc/blobs/a58d/475889/5d94877ea212/jclinpath00145-0053-a.jpg
https://cdn.ncbi.nlm.nih.gov/pmc/blobs/a58d/475889/1137d5d3a18f/jclinpath00145-0053-b.jpg
https://cdn.ncbi.nlm.nih.gov/pmc/blobs/a58d/475889/d1dfb2d4ac8d/jclinpath00145-0054-a.jpg

相似文献

1
Necropsy study on glomerulonephritis in the elderly.老年人肾小球肾炎的尸检研究
J Clin Pathol. 1975 Nov;28(11):891-8. doi: 10.1136/jcp.28.11.891.
2
[Quantitative pathomorphological findings in chronic glomerulonephritis at autopsy: characterization of the grade of renal insufficiency for correlation studies].[慢性肾小球肾炎尸检的定量病理形态学发现:用于相关性研究的肾功能不全分级特征]
Zentralbl Allg Pathol. 1986;132(5-6):515-22.
3
Autopsy case of microscopic polyangiitis with crescentic glomerulonephritis and necrotizing pancreatitis.显微镜下多血管炎合并新月体性肾小球肾炎及坏死性胰腺炎的尸检病例
Pathol Int. 2005 Aug;55(8):520-3. doi: 10.1111/j.1440-1827.2005.01863.x.
4
Myeloperoxidase-antineutrophil cytoplasmic antibody-associated glomerulonephritis superimposed on biopsy-proven diabetic nephrosclerosis.髓过氧化物酶-抗中性粒细胞胞浆抗体相关性肾小球肾炎叠加于经活检证实的糖尿病性肾硬化症之上。
Am J Kidney Dis. 2002 Jan;39(1):E4. doi: 10.1053/ajkd.2002.29925.
5
Sclerosing mediastinitis, granulomatous glomerulonephritis, and systemic vasculitis in a child: a unique association.
Pediatr Pathol. 1990;10(3):439-45. doi: 10.3109/15513819009067132.
6
[Molecular factors of angiogenesis in renal tissue of patients with chronic glomerulonephritis: association with nephrosclerosis and anemia].[慢性肾小球肾炎患者肾组织血管生成的分子因素:与肾硬化和贫血的关联]
Ter Arkh. 2009;81(8):14-9.
7
Necrotizing glomerulonephritis in rheumatoid arthritis.类风湿关节炎中的坏死性肾小球肾炎
Clin Nephrol. 1986 Nov;26(5):257-64.
8
A histometrical study on the development of three glomerulopathies.三种肾小球疾病发展的组织计量学研究
Kidney Int. 1988 Jul;34(1):102-8. doi: 10.1038/ki.1988.151.
9
Myeloperoxidase antineutrophil cytoplasmic autoantibody-associated glomerulonephritis in a very elderly patient with generalized vasculitis at autopsy.尸检时发现一名患有全身性血管炎的高龄患者存在髓过氧化物酶抗中性粒细胞胞浆自身抗体相关性肾小球肾炎。
Hiroshima J Med Sci. 1997 Sep;46(3):99-104.
10
Glomerulonephritis in congenital cytomegalic inclusion disease.先天性巨细胞包涵体病中的肾小球肾炎
Hum Pathol. 1986 Oct;17(10):1054-9. doi: 10.1016/s0046-8177(86)80090-9.

引用本文的文献

1
Acute kidney injury in the elderly.老年人急性肾损伤。
Clin Geriatr Med. 2009 Aug;25(3):331-58. doi: 10.1016/j.cger.2009.04.001.

本文引用的文献

1
The renal appearances in the microscopic form of periarteritis nodosa.
J Pathol Bacteriol. 1950 Apr;62(2):189-96. doi: 10.1002/path.1700620206.
2
Glomerulonephritis in older age groups.老年人群中的肾小球肾炎。
Arch Intern Med. 1960 Jan;105:23-32. doi: 10.1001/archinte.1960.00270130039005.
3
ACUTE OLIGURIC RENAL FAILURE IN ACUTE GLOMERULONEPHRITIS AND POLYARTERITIS NODOSA.急性肾小球肾炎和结节性多动脉炎中的急性少尿性肾衰竭。
Q J Med. 1964 Jan;33:39-55.
4
ACUTE ANURIC GLOMERULONEPHRITIS.急性无尿性肾小球肾炎
Q J Med. 1964 Jan;33:105-15.
5
Acute necrotizing glomerulitis. The clinical features and pathology in nine cases.急性坏死性肾小球肾炎。9例临床特征及病理表现
Australas Ann Med. 1959 Nov;8:281-9. doi: 10.1111/imj.1959.8.4.281.
6
Kidney biopsy in acute glomerulonephritis.急性肾小球肾炎的肾活检
Acta Med Scand. 1958 Mar 7;160(2):155-63. doi: 10.1111/j.0954-6820.1958.tb10338.x.
7
Acute glomerulonephritis in middle-aged and elderly patients.中老年患者的急性肾小球肾炎
Br Med J. 1966 Dec 3;2(5526):1361-3. doi: 10.1136/bmj.2.5526.1361.
8
Eknoyan G: Acte glomerulonephritis in the aged.埃克诺扬 G:老年人的急性肾小球肾炎。
Geriatrics. 1968 Dec;23(12):73-80.
9
An immunopathologic study of rapidly progressive glomerulonephritis in the adult.成人快速进展性肾小球肾炎的免疫病理学研究
Hum Pathol. 1971 Jun;2(2):185-208. doi: 10.1016/s0046-8177(71)80034-5.
10
Renal manifestations of the Henoch-Schoenlein syndrome in adults.成人过敏性紫癜性肾炎的肾脏表现
Am J Med. 1970 Sep;49(3):328-35. doi: 10.1016/s0002-9343(70)80024-9.