• 文献检索
  • 文档翻译
  • 深度研究
  • 学术资讯
  • Suppr Zotero 插件Zotero 插件
  • 邀请有礼
  • 套餐&价格
  • 历史记录
应用&插件
Suppr Zotero 插件Zotero 插件浏览器插件Mac 客户端Windows 客户端微信小程序
定价
高级版会员购买积分包购买API积分包
服务
文献检索文档翻译深度研究API 文档MCP 服务
关于我们
关于 Suppr公司介绍联系我们用户协议隐私条款
关注我们

Suppr 超能文献

核心技术专利:CN118964589B侵权必究
粤ICP备2023148730 号-1Suppr @ 2026

文献检索

告别复杂PubMed语法,用中文像聊天一样搜索,搜遍4000万医学文献。AI智能推荐,让科研检索更轻松。

立即免费搜索

文件翻译

保留排版,准确专业,支持PDF/Word/PPT等文件格式,支持 12+语言互译。

免费翻译文档

深度研究

AI帮你快速写综述,25分钟生成高质量综述,智能提取关键信息,辅助科研写作。

立即免费体验

脾酪氨酸激酶(Syk)的激活对于B淋巴细胞的下游信号转导而言并不充分。

Activation of the Syk tyrosine kinase is insufficient for downstream signal transduction in B lymphocytes.

作者信息

Hsueh Robert C, Hammill Adrienne M, Lee Jamie A, Uhr Jonathan W, Scheuermann Richard H

机构信息

Laboratory of Molecular Pathology and Department of Pathology, University of Texas Southwestern Medical Center, Dallas, TX, USA.

出版信息

BMC Immunol. 2002 Dec 6;3:16. doi: 10.1186/1471-2172-3-16.

DOI:10.1186/1471-2172-3-16
PMID:12470302
原文链接:https://pmc.ncbi.nlm.nih.gov/articles/PMC139997/
Abstract

BACKGROUND

Immature B lymphocytes and certain B cell lymphomas undergo apoptotic cell death following activation of the B cell antigen receptor (BCR) signal transduction pathway. Several biochemical changes occur in response to BCR engagement, including activation of the Syk tyrosine kinase. Although Syk activation appears to be necessary for some downstream biochemical and cellular responses, the signaling events that precede Syk activation remain ill defined. In addition, the requirements for complete activation of the Syk-dependent signaling step remain to be elucidated.

RESULTS

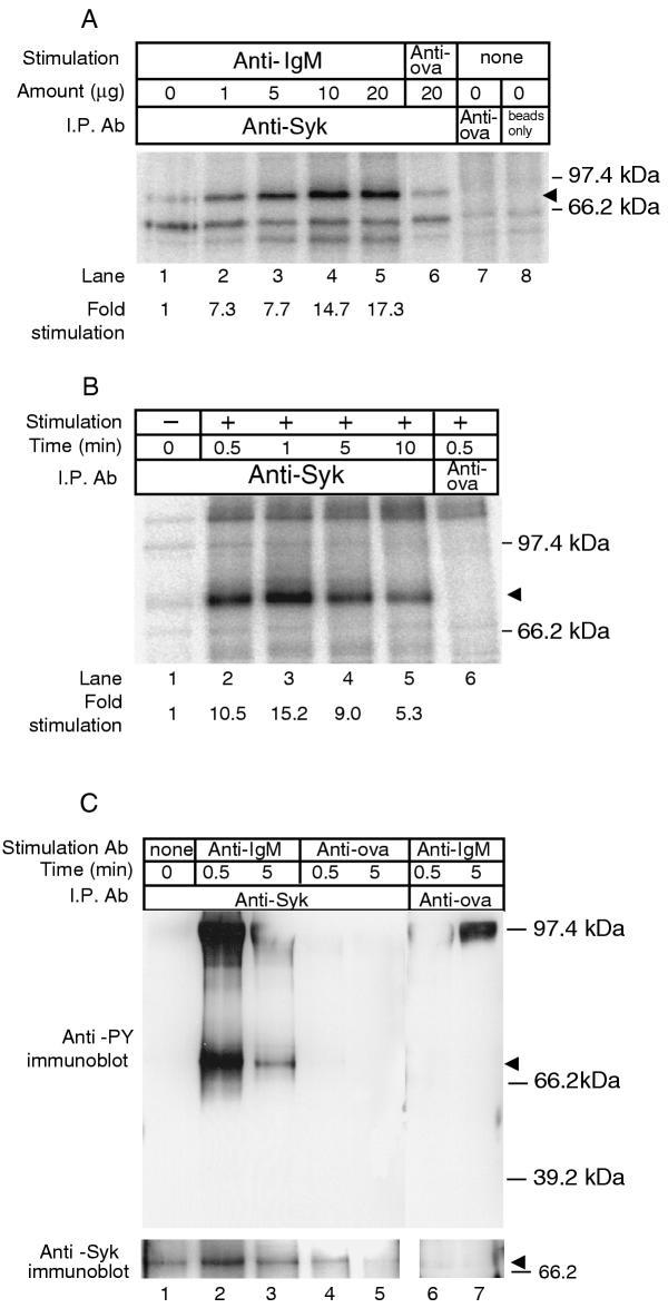
A mutant form of Syk carrying a combination of a K395A substitution in the kinase domain and substitutions of three phenylalanines (3F) for the three C-terminal tyrosines was expressed in a murine B cell lymphoma cell line, BCL1.3B3 to interfere with normal Syk regulation as a means to examine the Syk activation step in BCR signaling. Introduction of this kinase-inactive mutant led to the constitutive activation of the endogenous wildtype Syk enzyme in the absence of receptor engagement through a 'dominant-positive' effect. Under these conditions, Syk kinase activation occurred in the absence of phosphorylation on Syk tyrosine residues. Although Syk appears to be required for BCR-induced apoptosis in several systems, no increase in spontaneous cell death was observed in these cells. Surprisingly, although the endogenous Syk kinase was enzymatically active, no enhancement in the phosphorylation of cytoplasmic proteins, including phospholipase Cgamma2 (PLCgamma2), a direct Syk target, was observed.

CONCLUSION

These data indicate that activation of Syk kinase enzymatic activity is insufficient for Syk-dependent signal transduction. This observation suggests that other events are required for efficient signaling. We speculate that localization of the active enzyme to a receptor complex specifically assembled for signal transduction may be the missing event.

摘要

背景

未成熟B淋巴细胞和某些B细胞淋巴瘤在B细胞抗原受体(BCR)信号转导途径激活后会发生凋亡性细胞死亡。BCR结合会引发多种生化变化,包括Syk酪氨酸激酶的激活。尽管Syk激活似乎是某些下游生化和细胞反应所必需的,但Syk激活之前的信号事件仍不清楚。此外,Syk依赖性信号转导步骤的完全激活所需条件仍有待阐明。

结果

在小鼠B细胞淋巴瘤细胞系BCL1.3B3中表达了一种Syk突变体,其激酶结构域中有K395A替换,并且三个C末端酪氨酸被三个苯丙氨酸(3F)替换,以此干扰正常的Syk调节,作为研究BCR信号传导中Syk激活步骤的一种手段。引入这种激酶失活突变体通过“显性阳性”效应导致在没有受体结合的情况下内源性野生型Syk酶的组成性激活。在这些条件下,Syk激酶激活在Syk酪氨酸残基未磷酸化的情况下发生。尽管在几个系统中Syk似乎是BCR诱导凋亡所必需的,但在这些细胞中未观察到自发细胞死亡增加。令人惊讶的是,尽管内源性Syk激酶具有酶活性,但未观察到包括直接Syk靶点磷脂酶Cγ2(PLCγ2)在内的细胞质蛋白磷酸化增强。

结论

这些数据表明Syk激酶酶活性的激活不足以进行Syk依赖性信号转导。这一观察结果表明有效信号传导还需要其他事件。我们推测活性酶定位于专门为信号转导组装的受体复合物可能是缺失的事件。

https://cdn.ncbi.nlm.nih.gov/pmc/blobs/e7c0/139997/c1cc1487bac7/1471-2172-3-16-7.jpg
https://cdn.ncbi.nlm.nih.gov/pmc/blobs/e7c0/139997/270b8454ec7f/1471-2172-3-16-1.jpg
https://cdn.ncbi.nlm.nih.gov/pmc/blobs/e7c0/139997/0a751d16e091/1471-2172-3-16-2.jpg
https://cdn.ncbi.nlm.nih.gov/pmc/blobs/e7c0/139997/73081c6b9b3b/1471-2172-3-16-3.jpg
https://cdn.ncbi.nlm.nih.gov/pmc/blobs/e7c0/139997/316514282c37/1471-2172-3-16-4.jpg
https://cdn.ncbi.nlm.nih.gov/pmc/blobs/e7c0/139997/ffff7a7cec3f/1471-2172-3-16-5.jpg
https://cdn.ncbi.nlm.nih.gov/pmc/blobs/e7c0/139997/36ee45addf6d/1471-2172-3-16-6.jpg
https://cdn.ncbi.nlm.nih.gov/pmc/blobs/e7c0/139997/c1cc1487bac7/1471-2172-3-16-7.jpg
https://cdn.ncbi.nlm.nih.gov/pmc/blobs/e7c0/139997/270b8454ec7f/1471-2172-3-16-1.jpg
https://cdn.ncbi.nlm.nih.gov/pmc/blobs/e7c0/139997/0a751d16e091/1471-2172-3-16-2.jpg
https://cdn.ncbi.nlm.nih.gov/pmc/blobs/e7c0/139997/73081c6b9b3b/1471-2172-3-16-3.jpg
https://cdn.ncbi.nlm.nih.gov/pmc/blobs/e7c0/139997/316514282c37/1471-2172-3-16-4.jpg
https://cdn.ncbi.nlm.nih.gov/pmc/blobs/e7c0/139997/ffff7a7cec3f/1471-2172-3-16-5.jpg
https://cdn.ncbi.nlm.nih.gov/pmc/blobs/e7c0/139997/36ee45addf6d/1471-2172-3-16-6.jpg
https://cdn.ncbi.nlm.nih.gov/pmc/blobs/e7c0/139997/c1cc1487bac7/1471-2172-3-16-7.jpg

相似文献

1
Activation of the Syk tyrosine kinase is insufficient for downstream signal transduction in B lymphocytes.脾酪氨酸激酶(Syk)的激活对于B淋巴细胞的下游信号转导而言并不充分。
BMC Immunol. 2002 Dec 6;3:16. doi: 10.1186/1471-2172-3-16.
2
B cell antigen receptor-induced activation of Akt promotes B cell survival and is dependent on Syk kinase.B细胞抗原受体诱导的Akt激活促进B细胞存活,且依赖于Syk激酶。
J Immunol. 2000 Aug 1;165(3):1300-6. doi: 10.4049/jimmunol.165.3.1300.
3
Reconstitution of B cell antigen receptor-induced signaling events in a nonlymphoid cell line by expressing the Syk protein-tyrosine kinase.通过表达Syk蛋白酪氨酸激酶在非淋巴细胞系中重建B细胞抗原受体诱导的信号事件。
J Biol Chem. 1996 Mar 15;271(11):6458-66. doi: 10.1074/jbc.271.11.6458.
4
B cell receptor-mediated Syk-independent activation of phosphatidylinositol 3-kinase, Ras, and mitogen-activated protein kinase pathways.B细胞受体介导的不依赖Syk的磷脂酰肌醇3激酶、Ras和丝裂原活化蛋白激酶途径的激活。
J Immunol. 2003 Aug 1;171(3):1328-35. doi: 10.4049/jimmunol.171.3.1328.
5
Phosphorylation of CD19 Y484 and Y515, and linked activation of phosphatidylinositol 3-kinase, are required for B cell antigen receptor-mediated activation of Bruton's tyrosine kinase.B细胞抗原受体介导的布鲁顿酪氨酸激酶激活需要CD19 Y484和Y515的磷酸化以及磷脂酰肌醇3激酶的相关激活。
J Immunol. 1999 Apr 15;162(8):4438-46.
6
Activation of syk in an immature B cell line does not require lyn activity.在未成熟B细胞系中,syk的激活并不需要lyn的活性。
Mol Immunol. 1997 Aug-Sep;34(12-13):865-75. doi: 10.1016/s0161-5890(97)00111-9.
7
Syk, but not Lyn, recruitment to B cell antigen receptor and activation following stimulation of CD45- B cells.在刺激CD45 - B细胞后,Syk而非Lyn募集至B细胞抗原受体并被激活。
J Immunol. 1997 Mar 15;158(6):2663-9.
8
Syk- and Lyn-dependent phosphorylation of Syk on multiple tyrosines following B cell activation includes a site that negatively regulates signaling.B细胞活化后,Syk在多个酪氨酸位点上发生的依赖于Syk和Lyn的磷酸化作用包含一个对信号传导起负调节作用的位点。
J Immunol. 1998 Nov 15;161(10):5276-83.
9
The IL-15R alpha chain signals through association with Syk in human B cells.白细胞介素-15受体α链通过与人类B细胞中的脾酪氨酸激酶结合来传递信号。
J Immunol. 2001 Dec 1;167(11):6292-302. doi: 10.4049/jimmunol.167.11.6292.
10
CD38 signal transduction in human B cell precursors. Rapid induction of tyrosine phosphorylation, activation of syk tyrosine kinase, and phosphorylation of phospholipase C-gamma and phosphatidylinositol 3-kinase.人类B细胞前体中的CD38信号转导。酪氨酸磷酸化的快速诱导、Syk酪氨酸激酶的激活以及磷脂酶C-γ和磷脂酰肌醇3-激酶的磷酸化。
J Immunol. 1996 Jan 1;156(1):100-7.

引用本文的文献

1
Unperturbed Immune Function despite Mutation of C-Terminal Tyrosines in Syk Previously Implicated in Signaling and Activity Regulation.尽管Syk蛋白C端酪氨酸发生突变,但其免疫功能未受影响,此前该酪氨酸被认为与信号传导和活性调节有关。
Mol Cell Biol. 2017 Oct 13;37(21). doi: 10.1128/MCB.00216-17. Print 2017 Nov 1.
2
Tyrosines in the carboxyl terminus regulate Syk kinase activity and function.羧基末端的酪氨酸调节 Syk 激酶的活性和功能。
J Biol Chem. 2010 Aug 20;285(34):26674-84. doi: 10.1074/jbc.M110.134262. Epub 2010 Jun 16.
3
Mouse models of non-Hodgkin lymphoma reveal Syk as an important therapeutic target.

本文引用的文献

1
Pillars article: antigen receptor tail clue. Nature. 1989. 338: 383-384.专栏文章:抗原受体尾部线索。《自然》。1989年。第338卷:第383 - 384页。
J Immunol. 2014 May 1;192(9):4015-6.
2
Tyrosine kinase activation in the decision between growth, differentiation, and death responses initiated from the B cell antigen receptor.酪氨酸激酶激活在由B细胞抗原受体引发的生长、分化和死亡反应之间的抉择中发挥作用。
Adv Immunol. 2000;75:283-316. doi: 10.1016/s0065-2776(00)75007-3.
3
BLNK: connecting Syk and Btk to calcium signals.BLNK:将Syk和Btk与钙信号相连。
非霍奇金淋巴瘤的小鼠模型显示,脾酪氨酸激酶是一个重要的治疗靶点。
Blood. 2009 Mar 12;113(11):2508-16. doi: 10.1182/blood-2008-05-158618. Epub 2008 Nov 3.
4
The kinase Syk as an adaptor controlling sustained calcium signalling and B-cell development.激酶Syk作为一种衔接蛋白,控制持续的钙信号传导和B细胞发育。
EMBO J. 2008 May 7;27(9):1333-44. doi: 10.1038/emboj.2008.62. Epub 2008 Mar 27.
Immunity. 2000 Jan;12(1):1-5. doi: 10.1016/s1074-7613(00)80153-3.
4
A role for lipid rafts in B cell antigen receptor signaling and antigen targeting.脂筏在B细胞抗原受体信号传导及抗原靶向中的作用。
J Exp Med. 1999 Dec 6;190(11):1549-60. doi: 10.1084/jem.190.11.1549.
5
Antigen receptor signaling induces differential tyrosine kinase activation and population stability in B-cell lymphoma.抗原受体信号传导在B细胞淋巴瘤中诱导不同的酪氨酸激酶激活和群体稳定性。
Curr Top Microbiol Immunol. 1999;246:299-304; discussion 305. doi: 10.1007/978-3-642-60162-0_37.
6
Thermodynamic study of the binding of the tandem-SH2 domain of the Syk kinase to a dually phosphorylated ITAM peptide: evidence for two conformers.Syk激酶串联SH2结构域与双磷酸化免疫受体酪氨酸激活基序肽结合的热力学研究:两种构象的证据
Biochemistry. 1999 Apr 20;38(16):5024-33. doi: 10.1021/bi9829938.
7
Expression of dominant-negative src-homology domain 2-containing protein tyrosine phosphatase-1 results in increased Syk tyrosine kinase activity and B cell activation.表达显性负性含src同源结构域2的蛋白酪氨酸磷酸酶-1会导致Syk酪氨酸激酶活性增加和B细胞活化。
J Immunol. 1999 Mar 1;162(5):2717-24.
8
BLNK required for coupling Syk to PLC gamma 2 and Rac1-JNK in B cells.BLNK是B细胞中Syk与PLCγ2以及Rac1-JNK偶联所必需的。
Immunity. 1999 Jan;10(1):117-25. doi: 10.1016/s1074-7613(00)80012-6.
9
Cbl-mediated negative regulation of the Syk tyrosine kinase. A critical role for Cbl phosphotyrosine-binding domain binding to Syk phosphotyrosine 323.Cbl介导的Syk酪氨酸激酶的负调控。Cbl磷酸酪氨酸结合结构域与Syk磷酸酪氨酸323结合的关键作用。
J Biol Chem. 1998 Dec 25;273(52):35273-81. doi: 10.1074/jbc.273.52.35273.
10
BASH, a novel signaling molecule preferentially expressed in B cells of the bursa of Fabricius.BASH,一种在法氏囊B细胞中优先表达的新型信号分子。
J Immunol. 1998 Dec 1;161(11):5804-8.