Alvi Azra J, Clayton Helen, Joshi Chirag, Enver Tariq, Ashworth Alan, Vivanco Maria d M, Dale Trevor C, Smalley Matthew J
Breakthrough Toby Robins Breast Cancer Centre, Institute of Cancer Research, London, UK.
Breast Cancer Res. 2003;5(1):R1-8. doi: 10.1186/bcr547. Epub 2002 Oct 14.
Breast cancer is thought to arise in mammary epithelial stem cells. However, the identity of these stem cells is unknown.
Studies in the haematopoetic and muscle systems show that stem cells have the ability to efflux the dye Hoechst 33342. Cells with this phenotype are referred to as the side population (SP). We have adapted the techniques from the haematopoetic and muscle systems to look for a mammary epithelial SP.
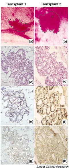
Of mammary epithelial cells isolated from both the human and mouse mammary epithelia, 0.2-0.45% formed a distinct SP. The SP was relatively undifferentiated but grew as typical differentiated epithelial clones when cultured. Transplantation of murine SP cells at limiting dilution into cleared mammary fat pads generated epithelial ductal and lobuloalveolar structures.
These data demonstrate the existence of an undifferentiated SP in human and murine mammary epithelium. Purified SP cells are a live single-cell population that retain the ability to differentiate in vitro and in vivo. Studies of haematopoetic cells have suggested that the SP phenotype constitutes a universal stem cell marker. This work therefore has implications for mammary stem cell biology.
乳腺癌被认为起源于乳腺上皮干细胞。然而,这些干细胞的身份尚不清楚。
造血系统和肌肉系统的研究表明,干细胞具有排出染料Hoechst 33342的能力。具有这种表型的细胞被称为侧群细胞(SP)。我们采用了造血系统和肌肉系统的技术来寻找乳腺上皮SP。
从人和小鼠乳腺上皮分离的乳腺上皮细胞中,0.2 - 0.45%形成了一个独特的SP。该SP相对未分化,但在培养时能像典型的分化上皮克隆一样生长。将小鼠SP细胞以有限稀释度移植到清除的乳腺脂肪垫中,可产生上皮导管和小叶腺泡结构。
这些数据证明了人和小鼠乳腺上皮中存在未分化的SP。纯化的SP细胞是一个活的单细胞群体,在体外和体内均保留分化能力。造血细胞研究表明,SP表型构成一种通用的干细胞标志物。因此,这项工作对乳腺干细胞生物学具有重要意义。