Suppr超能文献

生长抑素2型受体(sst2A)在未成熟猪睾丸间质细胞中的表达及其在睾酮分泌局部调控中的可能作用。

Expression of somatostatin receptor type-2 (sst2A) in immature porcine Leydig cells and a possible role in the local control of testosterone secretion.

作者信息

Fombonne Joanna, Csaba Zsolt, von Boxberg Ysander, Valayer Amandine, Rey Catherine, Benahmed Mohamed, Dournaud Pascal, Krantic Slavica

机构信息

Institut National de la Santé et de la Recherche Médicale U-407, France.

出版信息

Reprod Biol Endocrinol. 2003 Feb 11;1:19. doi: 10.1186/1477-7827-1-19.

Abstract

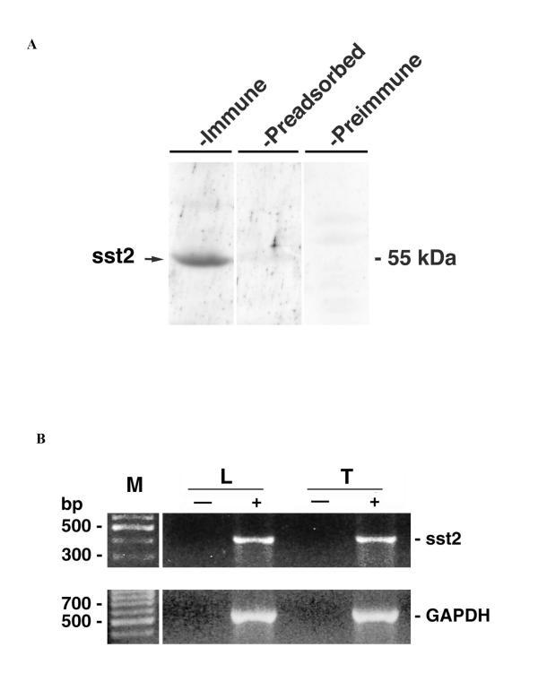
We recently reported that immature porcine Leydig cells express both somatostatin (SRIF) and SRIF receptor type-2 (sst-2) transcripts. The present study was therefore undertaken to assess whether SRIF might exert autocrine actions on these cells through sst2A receptor, one of the two sst2 isoforms known to exert important neuroendocrine and endocrine functions. Using a polyclonal antibody directed towards the C-terminal tail of the sst2A receptor subtype, receptor immunoreactivity was detected in a subpopulation of Leydig cells and spermatogonia. To address the physiological correlates of this expression we then studied the possible involvement of sst2 receptor in the regulation of testosterone secretion. Functional assays showed that the sst2 agonist octreotide inhibited both basal and hCG-stimulated testosterone secretion by testosterone pretreated Leydig cells. To assess whether sst2 receptor expression might be regulated by testosterone, we performed a semi-quantitative RT-PCR analysis of sst2 mRNA expression in Leydig cells cultured in the presence or in the absence of the androgen. A significant increase in sst2 receptor transcripts was observed in testosterone-treated cells. Taken together, these data suggest that SRIF can inhibit testosterone secretion through the sst2A receptor. The mechanism of the local inhibitory actions of SRIF is probably autocrine since immature porcine Leydig cells express SRIF itself and it might involve testosterone-induced increase of sst2 receptor expression in immature Leydig cells.

摘要

我们最近报道,未成熟猪睾丸间质细胞表达生长抑素(SRIF)和2型SRIF受体(sst-2)转录本。因此,本研究旨在评估SRIF是否可能通过sst2A受体对这些细胞发挥自分泌作用,sst2A受体是已知发挥重要神经内分泌和内分泌功能的两种sst2亚型之一。使用针对sst2A受体亚型C末端尾区的多克隆抗体,在一部分睾丸间质细胞和精原细胞中检测到了受体免疫反应性。为了探讨这种表达的生理相关性,我们随后研究了sst2受体在睾酮分泌调节中的可能作用。功能分析表明,sst2激动剂奥曲肽抑制了经睾酮预处理的睾丸间质细胞的基础睾酮分泌和人绒毛膜促性腺激素刺激的睾酮分泌。为了评估sst2受体表达是否可能受睾酮调节,我们对在有或无雄激素存在下培养的睾丸间质细胞中的sst2 mRNA表达进行了半定量逆转录-聚合酶链反应分析。在睾酮处理的细胞中观察到sst2受体转录本显著增加。综上所述,这些数据表明SRIF可通过sst2A受体抑制睾酮分泌。SRIF局部抑制作用的机制可能是自分泌,因为未成熟猪睾丸间质细胞自身表达SRIF,且可能涉及睾酮诱导未成熟睾丸间质细胞中sst2受体表达增加。

https://cdn.ncbi.nlm.nih.gov/pmc/blobs/4ed9/151791/4067f7b4a4c5/1477-7827-1-19-1.jpg

文献AI研究员

20分钟写一篇综述,助力文献阅读效率提升50倍。

立即体验

用中文搜PubMed

大模型驱动的PubMed中文搜索引擎

马上搜索

文档翻译

学术文献翻译模型,支持多种主流文档格式。

立即体验