Suppr超能文献

钇90对兔实验性变态反应性关节炎的影响。

Effect of yttrium 90 on experimental allergic arthritis in rabbits.

作者信息

Meier-Ruge W, Müller W, Pavelka K

出版信息

Ann Rheum Dis. 1976 Feb;35(1):60-6. doi: 10.1136/ard.35.1.60.

Abstract

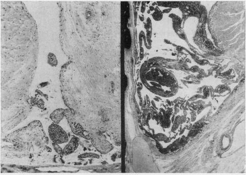
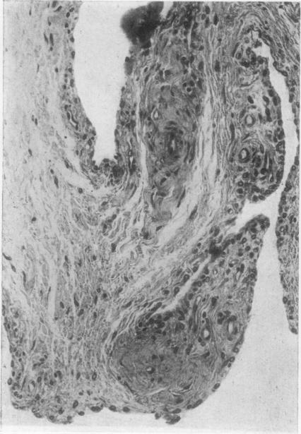
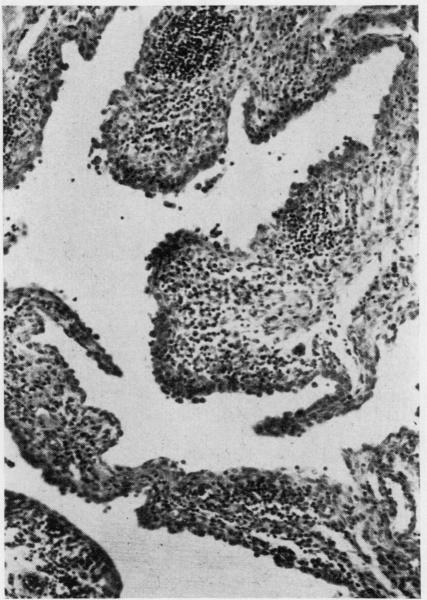
Seventeen rabbits were immunized with complete Freund's adjuvant and bovine serum albumin by the method of Dumonde and Glynn (1962), as modified by Cooke and Jasin (1972). Fifteen weeks after allergic arthritis developed in the knee joint, 8 animals were given an injection of 20 muCi yttrium 90 (90Y) into the left joint cavity; 7 were injected with 400 muCi. The animals were sacrificed at 2, 4, 8, 12, and 16 weeks and at 6 and 12 months after the injection. The right knee joint served as control for assessment of untreated allergic arthritis. Morphological control of the severity of the arthritis was provided by sacrificing 2 uninjected animals 13 weeks after immunization.

摘要

按照杜蒙德和格林(1962年)的方法,并经库克和贾辛(1972年)改良,用完全弗氏佐剂和牛血清白蛋白对17只兔子进行免疫。膝关节出现过敏性关节炎15周后,给8只动物的左关节腔内注射20微居里钇90(90Y);7只动物注射400微居里。在注射后2周、4周、8周、12周、16周以及6个月和12个月处死这些动物。右膝关节作为评估未经治疗的过敏性关节炎的对照。在免疫13周后处死2只未注射的动物,以提供关节炎严重程度的形态学对照。

https://cdn.ncbi.nlm.nih.gov/pmc/blobs/4785/1006509/c393903ab702/annrheumd00032-0069-a.jpg

文献检索

告别复杂PubMed语法,用中文像聊天一样搜索,搜遍4000万医学文献。AI智能推荐,让科研检索更轻松。

立即免费搜索

文件翻译

保留排版,准确专业,支持PDF/Word/PPT等文件格式,支持 12+语言互译。

免费翻译文档

深度研究

AI帮你快速写综述,25分钟生成高质量综述,智能提取关键信息,辅助科研写作。

立即免费体验