Suppr超能文献

Experimental production of pigmented villonodular synovitis in dogs.

作者信息

YOUNG J M, HUDACEK A G

出版信息

Am J Pathol. 1954 Jul-Aug;30(4):799-811.

Abstract
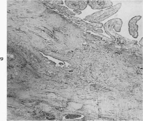
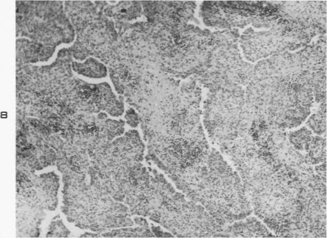
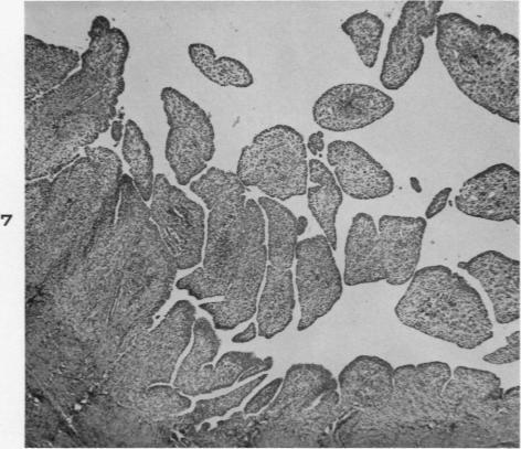
摘要
https://cdn.ncbi.nlm.nih.gov/pmc/blobs/f16e/1942543/2d2eb2a42330/amjpathol00704-0145-a.jpg

文献AI研究员

20分钟写一篇综述,助力文献阅读效率提升50倍。

立即体验

用中文搜PubMed

大模型驱动的PubMed中文搜索引擎

马上搜索

文档翻译

学术文献翻译模型,支持多种主流文档格式。

立即体验