Bonnerot C, Legouy E, Choulika A, Nicolas J F
Unité de Biologie moléculaire du Développement, Institut Pasteur, France.
J Virol. 1992 Aug;66(8):4982-91. doi: 10.1128/JVI.66.8.4982-4991.1992.
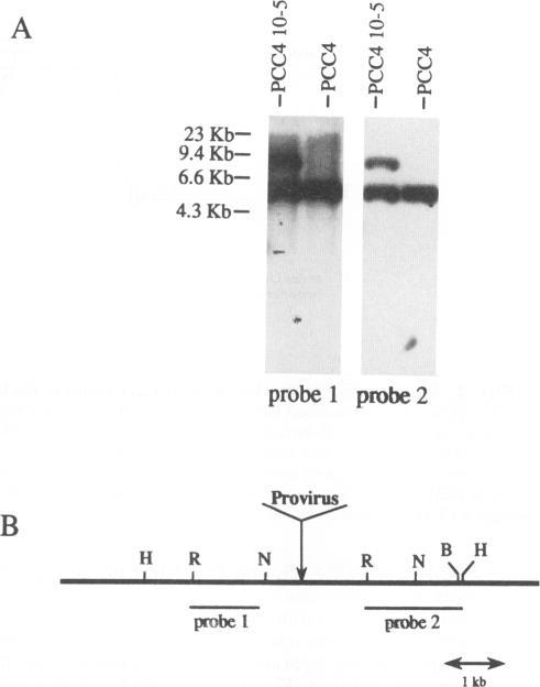
The expression of murine leukemia provirus in embryonal carcinoma (EC) cells is blocked by a mechanism still incompletely understood. The blockage is not overcome by deleting a large portion of the enhancer region (in U3) in recombinant retroviruses (M-MuLVneo delta Enh). This confirms the presence of negative elements outside the viral 82-bp repeats. However, a few sites in the genomes of EC cells permit M-MuLVneo delta Enh proviral expression. One such site, identified in PCC4, PCC3, and LT, was studied. The complete analysis of the mechanism of activation by Northern (RNA) blotting, cloning, and sequencing of partial cDNA copies of the viral transcript and of the site of integration establishes that viral transcripts are initiated from an upstream host-cell promoter and are spliced from a host donor to a cryptic viral acceptor at position 542 in the Moloney murine leukemia virus (M-MuLV) genome. In consequence, the mature transcripts are host cell-virus fusion transcripts from which M-MuLV sequences, including the cis-active negative elements of the 5' long terminal repeat-containing region, are absent. The provirus integrates apparently randomly into any of the three most proximal introns of the transcriptional unit. The host cell promoter contains a TATA box and 14 potential SpI binding sites included in a 1.0-kb GC-rich island. These elements promote gene expression of recombinant vectors in EC and differentiated cells. The mechanism described points to a mechanism by which retroviruses can be transcribed from upstream nonviral elements and can acquire host genes by 5' annexation of exons.
鼠白血病原病毒在胚胎癌细胞(EC)中的表达被一种尚未完全理解的机制所阻断。在重组逆转录病毒(M-MuLVneo delta Enh)中删除大部分增强子区域(U3中的)并不能克服这种阻断。这证实了病毒82bp重复序列之外存在负调控元件。然而,EC细胞基因组中的一些位点允许M-MuLVneo delta Enh原病毒表达。对在PCC4、PCC3和LT中鉴定出的一个这样的位点进行了研究。通过Northern(RNA)印迹、病毒转录本部分cDNA拷贝的克隆和测序以及整合位点的分析,对激活机制进行了全面研究,结果表明病毒转录本从上游宿主细胞启动子起始,并从宿主供体剪接到莫洛尼鼠白血病病毒(M-MuLV)基因组中第542位的一个隐蔽病毒受体。因此,成熟转录本是宿主细胞-病毒融合转录本,其中不存在M-MuLV序列,包括含5'长末端重复序列区域的顺式作用负调控元件。原病毒显然随机整合到转录单元最靠近的三个内含子中的任何一个。宿主细胞启动子包含一个TATA框和一个1.0kb富含GC的岛中包含的14个潜在SpI结合位点。这些元件促进重组载体在EC细胞和分化细胞中的基因表达。所描述的机制指出了一种逆转录病毒可从上游非病毒元件转录并通过外显子的5'附加获得宿主基因的机制。