Ross S R, Choy L, Graves R A, Fox N, Solevjeva V, Klaus S, Ricquier D, Spiegelman B M
Department of Biochemistry, University of Illinois College of Medicine, Chicago 60612.
Proc Natl Acad Sci U S A. 1992 Aug 15;89(16):7561-5. doi: 10.1073/pnas.89.16.7561.
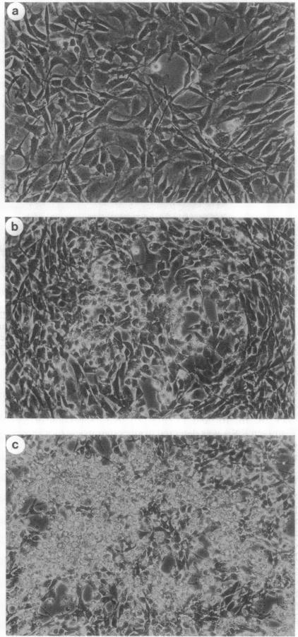
Transgenic mice were produced containing the adipocyte-specific regulatory region from the adipocyte P2 (aP2) gene linked to the simian virus 40 transforming genes. Most of the transgenic mice developed brown fat tumors (hibernomas) in their interscapular brown adipose tissue. Hibernoma formation was noticeable in some of the mice as early as 1 day after birth and most of the mice developed very large tumors by 1 month of age. All of the tumor tissue expressed the brown fat-specific uncoupling protein (UCP) gene as well as the aP2 gene. Several of the tumors have been used to establish cultured cell lines and at least one of these lines can be induced to differentiate into brown adipocytes. The cultured adipocytes express mRNA for UCP upon stimulation with N6,O2'-dibutyryladenosine 3',5'-cyclic monophosphate, norepinephrine, isoproterenol or D7114, a beta 3 adrenergic agonist. Thus, regulation of the key thermogenic gene UCP can now be studied in an established cell line.
构建了转基因小鼠,其包含与猿猴病毒40转化基因相连的脂肪细胞P2(aP2)基因的脂肪细胞特异性调控区。大多数转基因小鼠在肩胛间棕色脂肪组织中形成了棕色脂肪肿瘤(冬眠瘤)。早在出生后1天,一些小鼠就出现了明显的冬眠瘤形成,到1月龄时,大多数小鼠都长出了非常大的肿瘤。所有肿瘤组织都表达棕色脂肪特异性解偶联蛋白(UCP)基因以及aP2基因。其中一些肿瘤已被用于建立培养细胞系,并且这些细胞系中的至少一种可以被诱导分化为棕色脂肪细胞。在用N6,O2'-二丁酰腺苷3',5'-环一磷酸、去甲肾上腺素、异丙肾上腺素或β3肾上腺素能激动剂D7114刺激后,培养的脂肪细胞表达UCP的mRNA。因此,现在可以在已建立的细胞系中研究关键产热基因UCP的调控。