Suppr超能文献

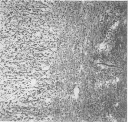
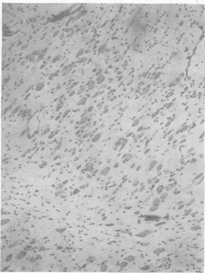
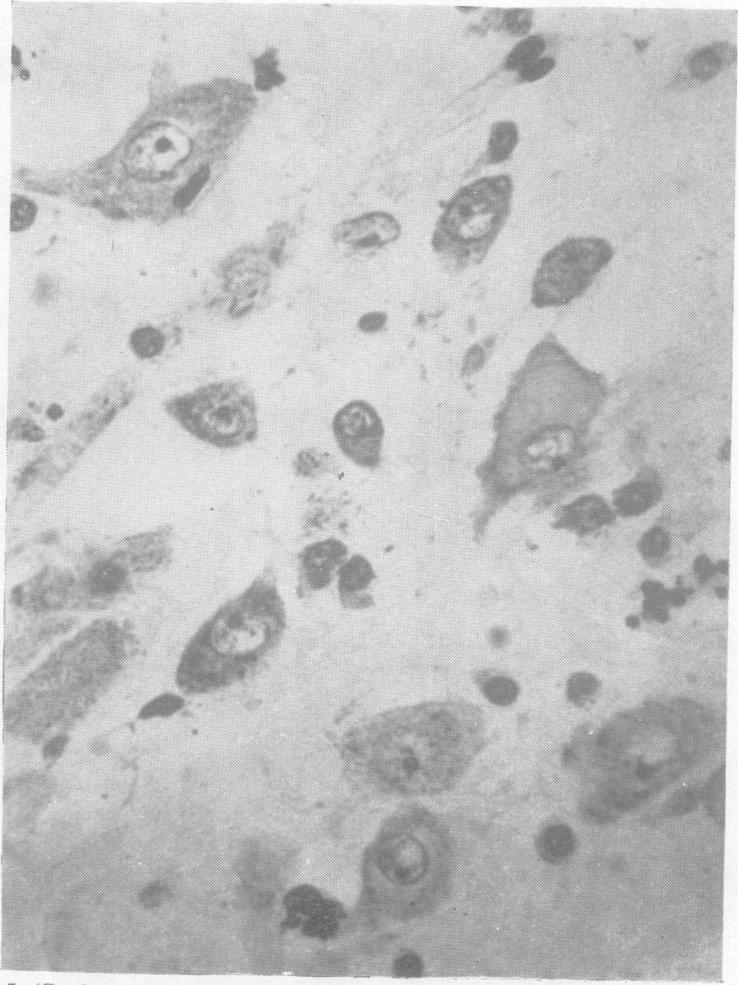
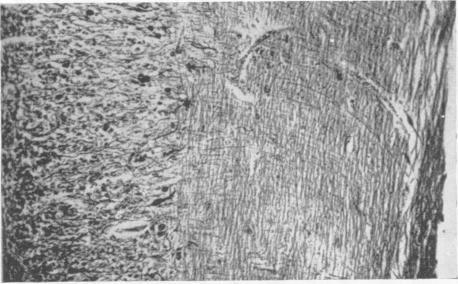
A benign tumour of the cerebellum; report on two cases of diffuse hypertrophy of the cerebellar cortex with a review of nine previously reported cases.

作者信息

OPPENHEIMER D R

出版信息

J Neurol Neurosurg Psychiatry. 1955 Aug;18(3):199-213. doi: 10.1136/jnnp.18.3.199.

Abstract
摘要
https://cdn.ncbi.nlm.nih.gov/pmc/blobs/a735/503239/88645530c518/jnnpsyc00295-0042-a.jpg

文献AI研究员

20分钟写一篇综述,助力文献阅读效率提升50倍。

立即体验

用中文搜PubMed

大模型驱动的PubMed中文搜索引擎

马上搜索

文档翻译

学术文献翻译模型,支持多种主流文档格式。

立即体验