• 文献检索
  • 文档翻译
  • 深度研究
  • 学术资讯
  • Suppr Zotero 插件Zotero 插件
  • 邀请有礼
  • 套餐&价格
  • 历史记录
应用&插件
Suppr Zotero 插件Zotero 插件浏览器插件Mac 客户端Windows 客户端微信小程序
定价
高级版会员购买积分包购买API积分包
服务
文献检索文档翻译深度研究API 文档MCP 服务
关于我们
关于 Suppr公司介绍联系我们用户协议隐私条款
关注我们

Suppr 超能文献

核心技术专利:CN118964589B侵权必究
粤ICP备2023148730 号-1Suppr @ 2026

文献检索

告别复杂PubMed语法,用中文像聊天一样搜索,搜遍4000万医学文献。AI智能推荐,让科研检索更轻松。

立即免费搜索

文件翻译

保留排版,准确专业,支持PDF/Word/PPT等文件格式,支持 12+语言互译。

免费翻译文档

深度研究

AI帮你快速写综述,25分钟生成高质量综述,智能提取关键信息,辅助科研写作。

立即免费体验

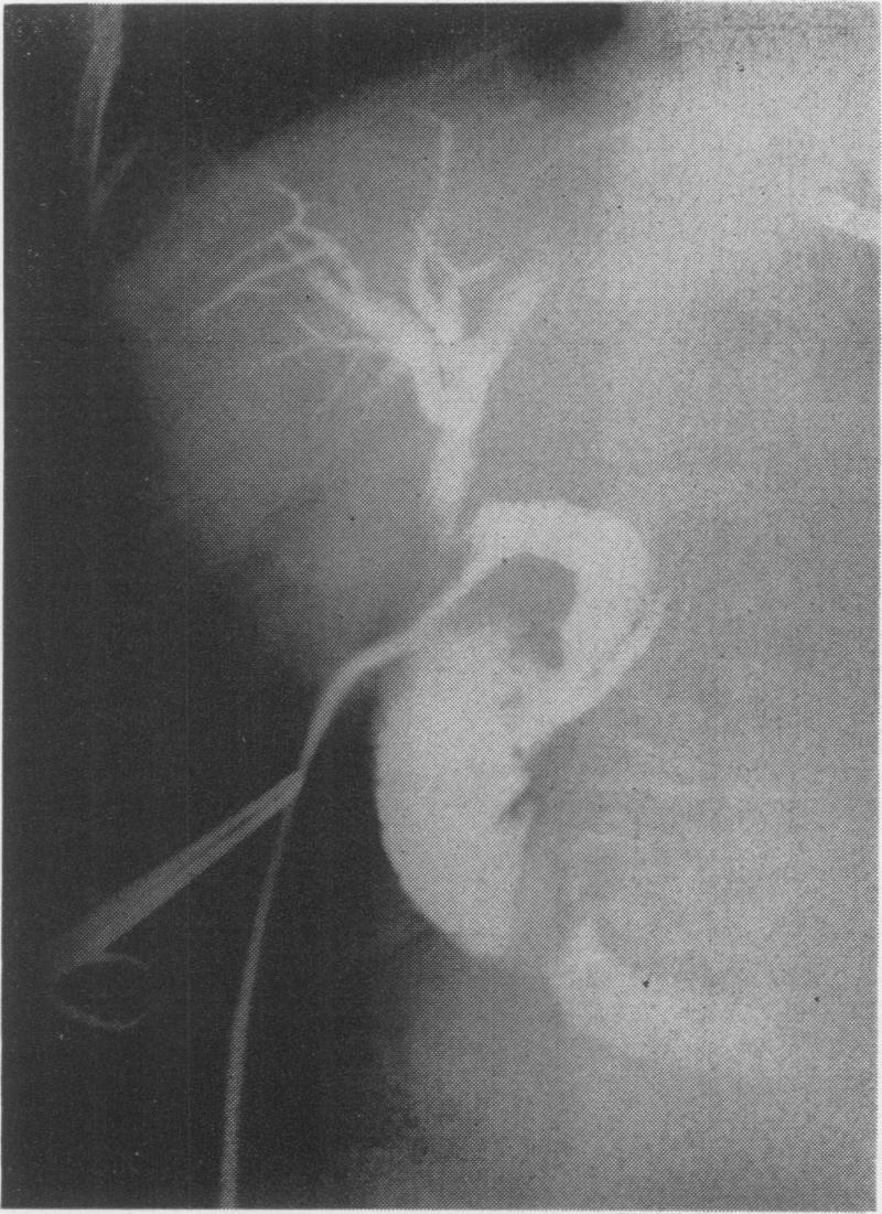
Residual common duct calculi.

作者信息

SINGLETON A O, COLEMAN J L

出版信息

Ann Surg. 1956 May;143(5):619-26; discussion, 626-7. doi: 10.1097/00000658-195605000-00008.

DOI:10.1097/00000658-195605000-00008
PMID:13314535
原文链接:https://pmc.ncbi.nlm.nih.gov/articles/PMC1465259/
Abstract
摘要
https://cdn.ncbi.nlm.nih.gov/pmc/blobs/83b4/1465259/2563a06f53ed/annsurg01278-0068-a.jpg
https://cdn.ncbi.nlm.nih.gov/pmc/blobs/83b4/1465259/29876e507de5/annsurg01278-0064-a.jpg
https://cdn.ncbi.nlm.nih.gov/pmc/blobs/83b4/1465259/c08d4a37a06b/annsurg01278-0065-a.jpg
https://cdn.ncbi.nlm.nih.gov/pmc/blobs/83b4/1465259/f4de85f8a519/annsurg01278-0066-a.jpg
https://cdn.ncbi.nlm.nih.gov/pmc/blobs/83b4/1465259/1ab1fb24a17a/annsurg01278-0067-a.jpg
https://cdn.ncbi.nlm.nih.gov/pmc/blobs/83b4/1465259/580fd983f860/annsurg01278-0067-b.jpg
https://cdn.ncbi.nlm.nih.gov/pmc/blobs/83b4/1465259/2563a06f53ed/annsurg01278-0068-a.jpg
https://cdn.ncbi.nlm.nih.gov/pmc/blobs/83b4/1465259/29876e507de5/annsurg01278-0064-a.jpg
https://cdn.ncbi.nlm.nih.gov/pmc/blobs/83b4/1465259/c08d4a37a06b/annsurg01278-0065-a.jpg
https://cdn.ncbi.nlm.nih.gov/pmc/blobs/83b4/1465259/f4de85f8a519/annsurg01278-0066-a.jpg
https://cdn.ncbi.nlm.nih.gov/pmc/blobs/83b4/1465259/1ab1fb24a17a/annsurg01278-0067-a.jpg
https://cdn.ncbi.nlm.nih.gov/pmc/blobs/83b4/1465259/580fd983f860/annsurg01278-0067-b.jpg
https://cdn.ncbi.nlm.nih.gov/pmc/blobs/83b4/1465259/2563a06f53ed/annsurg01278-0068-a.jpg

相似文献

1
Residual common duct calculi.残余胆总管结石
Ann Surg. 1956 May;143(5):619-26; discussion, 626-7. doi: 10.1097/00000658-195605000-00008.
2
Cholecystitis, chronic, with cholelithiasis with gallstone in common bile duct.慢性胆囊炎,伴有胆结石,胆总管有胆石
J Okla State Med Assoc. 1948 Oct;41(10):423-7.
3
[INDICATIONS AND RESULTS OF EXPLORATION OF THE COMMON BILE DUCT IN CHOLELITHIASIS. EVALUATION OF 1000 CASES].[胆结石患者胆总管探查的适应症与结果。1000例病例评估]
Prensa Med Argent. 1964;Suppl.:SUPPL:154-62.
4
[Intramural biliary calculi of the bile duct].[胆管壁内胆结石]
Arch Mal Appar Dig Mal Nutr. 1955 Jun;44(6):802-4.
5
[THE DIVULSION OF THE PAPILLA IN SURGERY OF THE HEPATIC DUCT AND COMMON BILE DUCT].[肝管和胆总管手术中乳头的撕脱]
Gazz Int Med Chir. 1963 Dec 31;67:2784-92.
6
[Cancer of the pancreas and cholelithiasis of the common bile duct].[胰腺癌与胆总管胆石症]
Bol Trab Soc Cir B Aires. 1963 Jul 17;47:349-54.
7
Obstruction of the common bile duct caused by an eroding gallstone; report of two cases.胆囊结石侵蚀致胆总管梗阻;2例报告
J Mt Sinai Hosp N Y. 1949 Sep-Oct;16(3):197-9.
8
On spontaneous complete discharge of stones from the gallbladder and common duct.关于胆囊和胆总管结石的自然完全排出。
Acta Chir Scand. 1947 Mar 15;95(3):260-4.
9
The prevention of residual biliary calculi.残余胆管结石的预防
Calif Med. 1971 May;114(5):1-6.
10
Recurrent and overlooked common duct calculi.复发性且易被忽视的胆总管结石
Northwest Med. 1953 Aug;52(8):630-2.

引用本文的文献

1
Routine operative cholangiography: an evaluation.常规手术胆管造影:一项评估
Ann Surg. 1961 Dec;154(6)Suppl(Suppl 6):192-202. doi: 10.1097/00000658-196112000-00026.

本文引用的文献

1
Conservative Therapy of Residual Calculi Following Operations on the Common Bile Duct : Report of Two Cases.胆总管手术后残留结石的保守治疗:两例报告
Ann Surg. 1948 Jul;128(1):30-7.
2
THE INFLUENCE OF THE FOODSTUFFS UPON THE SUSCEPTIBILITY OF THE LIVER TO INJURY BY CHLOROFORM, AND THE PROBABLE MECHANISM OF THEIR ACTION.食物对肝脏对氯仿损伤易感性的影响及其可能的作用机制。
J Clin Invest. 1939 May;18(3):277-89. doi: 10.1172/JCI101044.
3
Technic, indications and value of postoperative cholangiography.术后胆管造影的技术、适应证及价值。
Arch Surg (1920). 1950 Jun;60(6):1102-13. doi: 10.1001/archsurg.1950.01250011127007.
4
Symptoms of common duct stones; analysis of clinical data on one hundred sixty-five patients having explorations of the common duct.胆总管结石的症状;165例胆总管探查患者的临床资料分析
AMA Arch Surg. 1952 Jun;64(6):788-93.
5
Operative cholangiography: an evaluation of 406 cases.术中胆管造影:406例病例的评估
Ann Surg. 1951 Sep;134(3):346-50. doi: 10.1097/00000658-195109000-00005.
6
Nonoperative treatment of retained postoperative common duct stones.术后胆总管结石残留的非手术治疗。
Ann Surg. 1951 Feb;133(2):174-83. doi: 10.1097/00000658-195102000-00004.
7
Indications for the use of operative cholangiography.手术胆管造影的使用指征。
Ann Surg. 1955 Apr;141(4):499-503. doi: 10.1097/00000658-195504000-00010.
8
The problem of the overlooked common duct stone.被忽视的胆总管结石问题。
Am Surg. 1954 Nov;20(11):1171-9.
9
A complication arising from the attempted dissolution of a common duct stone; case report.胆总管结石溶解尝试引发的并发症;病例报告
Surgery. 1954 Aug;36(2):294-8.
10
Residual choledochal stones; etiology and complications in one hundred ten cases.残余胆总管结石;110例患者的病因及并发症
AMA Arch Surg. 1954 May;68(5):643-56.