Suppr超能文献

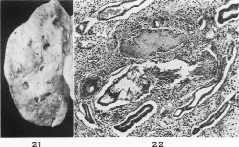
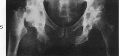
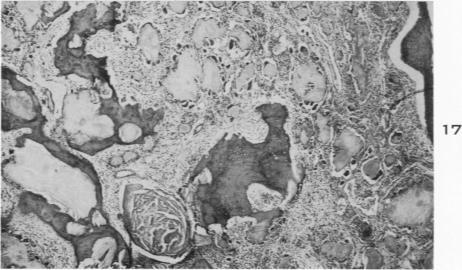
Pathologic changes in gout; survey of eleven necropsied cases.

作者信息

LEVIN M H, LICHTENSTEIN L, SCOTT H W

出版信息

Am J Pathol. 1956 Sep-Oct;32(5):871-95.

Abstract
摘要
https://cdn.ncbi.nlm.nih.gov/pmc/blobs/74a0/1942635/6bb2b628668c/amjpathol00693-0023-a.jpg

文献AI研究员

20分钟写一篇综述,助力文献阅读效率提升50倍。

立即体验

用中文搜PubMed

大模型驱动的PubMed中文搜索引擎

马上搜索

文档翻译

学术文献翻译模型,支持多种主流文档格式。

立即体验