Suppr超能文献

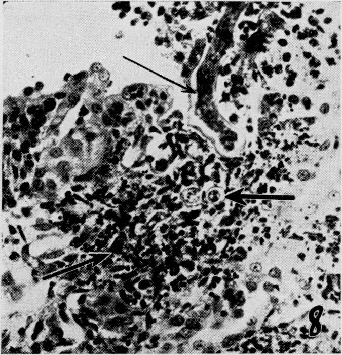
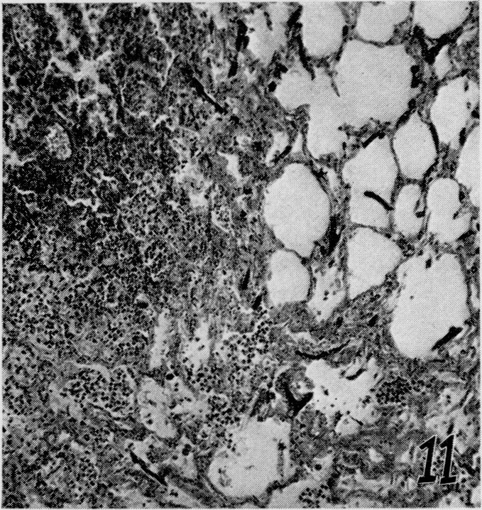
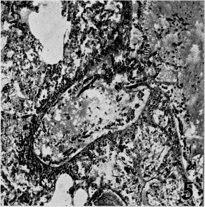
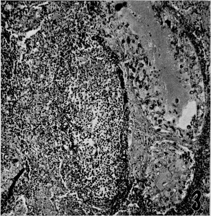
The effects of metabolic alterations on experimental Rhizopus oryzae (mucormycosis) infection.

作者信息

BAUER H, FLANAGAN J F, SHELDON W H

出版信息

Yale J Biol Med. 1956 Sep;29(1):23-32.

Abstract
摘要
https://cdn.ncbi.nlm.nih.gov/pmc/blobs/85f7/2603718/f25f9ead59aa/yjbm00640-0046-a.jpg

文献AI研究员

20分钟写一篇综述,助力文献阅读效率提升50倍。

立即体验

用中文搜PubMed

大模型驱动的PubMed中文搜索引擎

马上搜索

文档翻译

学术文献翻译模型,支持多种主流文档格式。

立即体验