• 文献检索
  • 文档翻译
  • 深度研究
  • 学术资讯
  • Suppr Zotero 插件Zotero 插件
  • 邀请有礼
  • 套餐&价格
  • 历史记录
应用&插件
Suppr Zotero 插件Zotero 插件浏览器插件Mac 客户端Windows 客户端微信小程序
定价
高级版会员购买积分包购买API积分包
服务
文献检索文档翻译深度研究API 文档MCP 服务
关于我们
关于 Suppr公司介绍联系我们用户协议隐私条款
关注我们

Suppr 超能文献

核心技术专利:CN118964589B侵权必究
粤ICP备2023148730 号-1Suppr @ 2026

文献检索

告别复杂PubMed语法,用中文像聊天一样搜索,搜遍4000万医学文献。AI智能推荐,让科研检索更轻松。

立即免费搜索

文件翻译

保留排版,准确专业,支持PDF/Word/PPT等文件格式,支持 12+语言互译。

免费翻译文档

深度研究

AI帮你快速写综述,25分钟生成高质量综述,智能提取关键信息,辅助科研写作。

立即免费体验

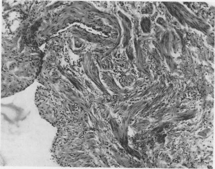
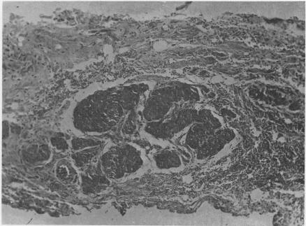
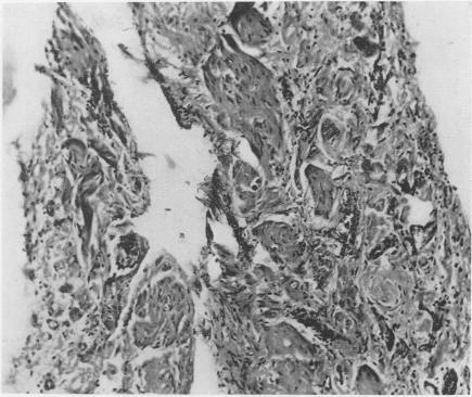
Congenital cysts of the mesentery; report of four cases.

作者信息

MOORE T C

出版信息

Ann Surg. 1957 Mar;145(3):428-36. doi: 10.1097/00000658-195703000-00020.

DOI:10.1097/00000658-195703000-00020
PMID:13403596
原文链接:https://pmc.ncbi.nlm.nih.gov/articles/PMC1465487/
Abstract
摘要
https://cdn.ncbi.nlm.nih.gov/pmc/blobs/955f/1465487/8cbbc14ff1b2/annsurg01264-0150-a.jpg
https://cdn.ncbi.nlm.nih.gov/pmc/blobs/955f/1465487/e75f2a28341d/annsurg01264-0145-a.jpg
https://cdn.ncbi.nlm.nih.gov/pmc/blobs/955f/1465487/6359b3bad256/annsurg01264-0146-a.jpg
https://cdn.ncbi.nlm.nih.gov/pmc/blobs/955f/1465487/ae4e61755044/annsurg01264-0146-b.jpg
https://cdn.ncbi.nlm.nih.gov/pmc/blobs/955f/1465487/c91ead886c01/annsurg01264-0147-a.jpg
https://cdn.ncbi.nlm.nih.gov/pmc/blobs/955f/1465487/d1e5ab0cf5e1/annsurg01264-0147-b.jpg
https://cdn.ncbi.nlm.nih.gov/pmc/blobs/955f/1465487/ffb0e81c367a/annsurg01264-0148-a.jpg
https://cdn.ncbi.nlm.nih.gov/pmc/blobs/955f/1465487/7cd9b691aa0d/annsurg01264-0149-a.jpg
https://cdn.ncbi.nlm.nih.gov/pmc/blobs/955f/1465487/8cbbc14ff1b2/annsurg01264-0150-a.jpg
https://cdn.ncbi.nlm.nih.gov/pmc/blobs/955f/1465487/e75f2a28341d/annsurg01264-0145-a.jpg
https://cdn.ncbi.nlm.nih.gov/pmc/blobs/955f/1465487/6359b3bad256/annsurg01264-0146-a.jpg
https://cdn.ncbi.nlm.nih.gov/pmc/blobs/955f/1465487/ae4e61755044/annsurg01264-0146-b.jpg
https://cdn.ncbi.nlm.nih.gov/pmc/blobs/955f/1465487/c91ead886c01/annsurg01264-0147-a.jpg
https://cdn.ncbi.nlm.nih.gov/pmc/blobs/955f/1465487/d1e5ab0cf5e1/annsurg01264-0147-b.jpg
https://cdn.ncbi.nlm.nih.gov/pmc/blobs/955f/1465487/ffb0e81c367a/annsurg01264-0148-a.jpg
https://cdn.ncbi.nlm.nih.gov/pmc/blobs/955f/1465487/7cd9b691aa0d/annsurg01264-0149-a.jpg
https://cdn.ncbi.nlm.nih.gov/pmc/blobs/955f/1465487/8cbbc14ff1b2/annsurg01264-0150-a.jpg

相似文献

1
Congenital cysts of the mesentery; report of four cases.肠系膜先天性囊肿;4例报告
Ann Surg. 1957 Mar;145(3):428-36. doi: 10.1097/00000658-195703000-00020.
2
Lymphatic cysts of the mesentery; a review of the literature and a report of two cases.肠系膜淋巴管囊肿;文献综述及两例报告
Br J Surg. 1955 Nov;43(179):304-8. doi: 10.1002/bjs.18004317912.
3
[Congenital suppurating cyst of the mesentery of the small intestine].
Khirurgiia (Mosk). 1958 Apr;34(4):116-7.
4
Cysts of the mesentery: report of a case.肠系膜囊肿:一例报告
J Med Soc N J. 1955 Jun;52(6):295-7.
5
Ovarian cyst in the mesentery of the ileum; report of a case.回肠系膜卵巢囊肿;病例报告
Obstet Gynecol. 1956 May;7(5):565-6.
6
Mesenteric cysts; report of six cases, in two of which the cysts had displaced the uterers.肠系膜囊肿;6例报告,其中2例囊肿使输尿管移位。
Portland Clin Bull. 1952 Sep;6(2):41-52.
7
Chylous cysts of the mesentery in children.儿童肠系膜乳糜囊肿
Ann Surg. 1954 Aug;140(2):185-93. doi: 10.1097/00000658-195408000-00006.
8
[A case of multiple sebaceous cysts of the mesentery].[肠系膜多发性皮脂腺囊肿1例]
G Med Mil. 1954 May-Jun;104(3):286-98.
9
[Comments on the diagnosis and treatment of cysts of the mesentery].
Acta Chir Belg. 1954 Jan;53(1):124-7.
10
Complications of mesenteric cysts; report of two cases.肠系膜囊肿的并发症;两例报告。
J Med Soc N J. 1959 Feb;56(2):49-54.

引用本文的文献

1
Huge omental cyst mimicking ascites.
Indian J Pediatr. 1996 Sep-Oct;63(5):707-8. doi: 10.1007/BF02730829.
2
Chylolymphatic mesenteric cyst: an unusual abdominal mass in a newborn.乳糜性肠系膜囊肿:新生儿罕见的腹部肿块。
Indian J Pediatr. 1993 Sep-Oct;60(5):712-4. doi: 10.1007/BF02821744.
3
Lymphangioma of mesentery in a child: a case report.儿童肠系膜淋巴管瘤:一例报告
Indian J Pediatr. 1979 Jun;46(377):219-21. doi: 10.1007/BF02898232.

本文引用的文献

1
Chylous cysts of the mesentery in children.儿童肠系膜乳糜囊肿
Ann Surg. 1954 Aug;140(2):185-93. doi: 10.1097/00000658-195408000-00006.
2
Congenital duplications of the small intestine; report of 11 cases.先天性小肠重复畸形;11例报告
Surg Gynecol Obstet. 1952 Nov;95(5):557-67.