Suppr超能文献

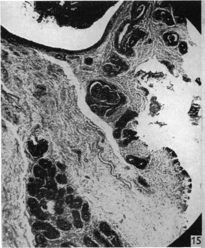
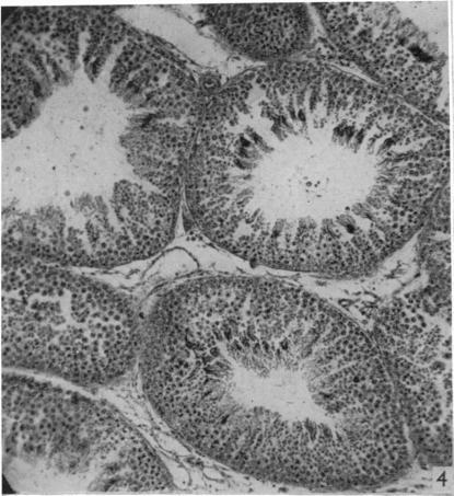
The male reproductive tract of the fowl.

作者信息

LAKE P E

出版信息

J Anat. 1957 Jan;91(1):116-29.

Abstract
摘要
https://cdn.ncbi.nlm.nih.gov/pmc/blobs/6b59/1244890/82a694e2bc5c/janat00451-0159-a.jpg

文献AI研究员

20分钟写一篇综述,助力文献阅读效率提升50倍。

立即体验

用中文搜PubMed

大模型驱动的PubMed中文搜索引擎

马上搜索

文档翻译

学术文献翻译模型,支持多种主流文档格式。

立即体验