Suppr超能文献

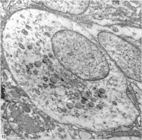
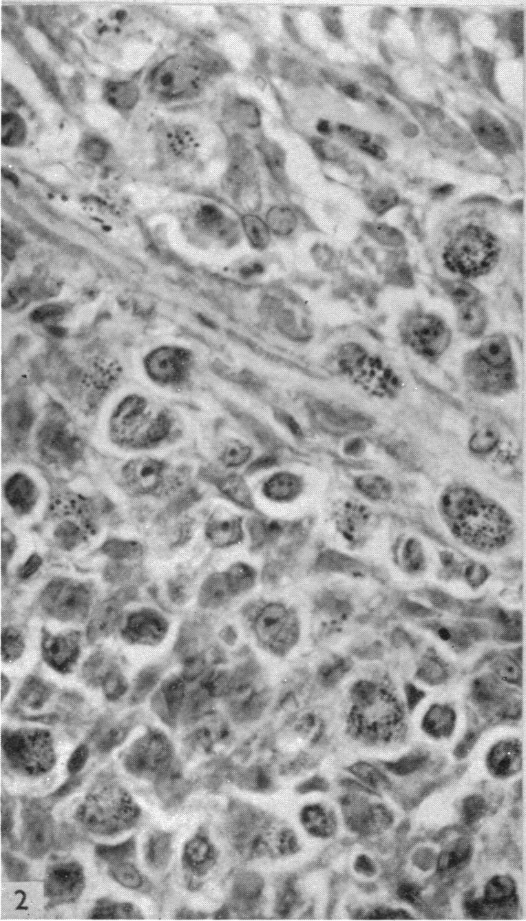
The cytology, histochemistry and electron microscopy of the granular cells of the metrial gland of the gravid rat.

作者信息

WISLOCKI G B, WEISS L P, BURGOS M H, ELLIS R A

出版信息

J Anat. 1957 Jan;91(1):130-40.

Abstract
摘要
https://cdn.ncbi.nlm.nih.gov/pmc/blobs/ba0a/1244891/eebbd95579eb/janat00451-0172-a.jpg

文献AI研究员

20分钟写一篇综述,助力文献阅读效率提升50倍。

立即体验

用中文搜PubMed

大模型驱动的PubMed中文搜索引擎

马上搜索

文档翻译

学术文献翻译模型,支持多种主流文档格式。

立即体验