• 文献检索
  • 文档翻译
  • 深度研究
  • 学术资讯
  • Suppr Zotero 插件Zotero 插件
  • 邀请有礼
  • 套餐&价格
  • 历史记录
应用&插件
Suppr Zotero 插件Zotero 插件浏览器插件Mac 客户端Windows 客户端微信小程序
定价
高级版会员购买积分包购买API积分包
服务
文献检索文档翻译深度研究API 文档MCP 服务
关于我们
关于 Suppr公司介绍联系我们用户协议隐私条款
关注我们

Suppr 超能文献

核心技术专利:CN118964589B侵权必究
粤ICP备2023148730 号-1Suppr @ 2026

文献检索

告别复杂PubMed语法,用中文像聊天一样搜索,搜遍4000万医学文献。AI智能推荐,让科研检索更轻松。

立即免费搜索

文件翻译

保留排版,准确专业,支持PDF/Word/PPT等文件格式,支持 12+语言互译。

免费翻译文档

深度研究

AI帮你快速写综述,25分钟生成高质量综述,智能提取关键信息,辅助科研写作。

立即免费体验

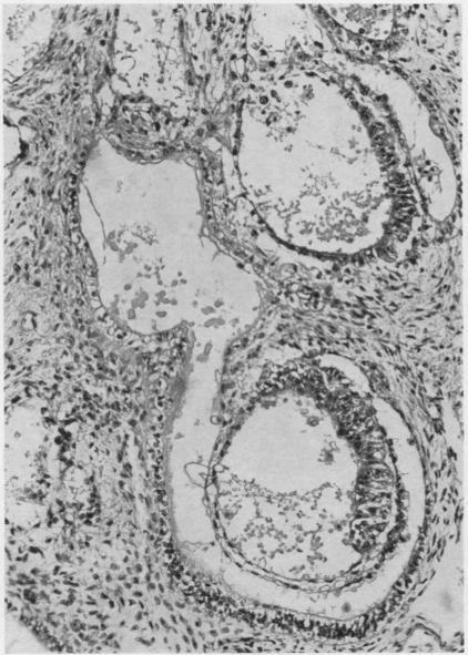
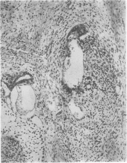
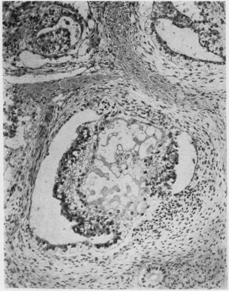
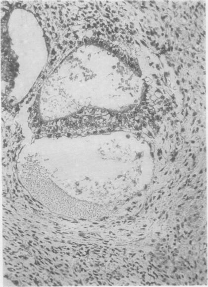
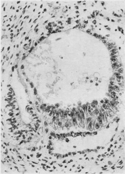
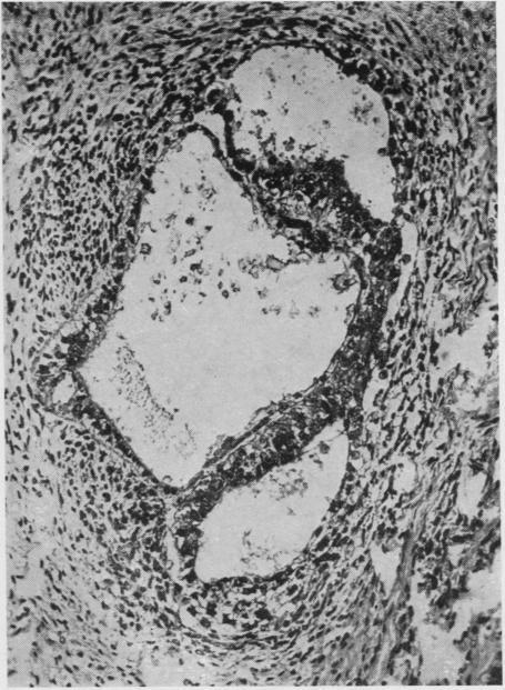
Developmental stages of embryo-like bodies in teratoma testis.

作者信息

EVANS R W

出版信息

J Clin Pathol. 1957 Feb;10(1):31-9. doi: 10.1136/jcp.10.1.31.

DOI:10.1136/jcp.10.1.31
PMID:13406071
原文链接:https://pmc.ncbi.nlm.nih.gov/articles/PMC1023992/
Abstract
摘要
https://cdn.ncbi.nlm.nih.gov/pmc/blobs/4aea/1023992/7d61ec82446d/jclinpath00038-0042-b.jpg
https://cdn.ncbi.nlm.nih.gov/pmc/blobs/4aea/1023992/a4dc4e0213b8/jclinpath00038-0043-a.jpg
https://cdn.ncbi.nlm.nih.gov/pmc/blobs/4aea/1023992/d9e401ead930/jclinpath00038-0043-b.jpg
https://cdn.ncbi.nlm.nih.gov/pmc/blobs/4aea/1023992/a834be058192/jclinpath00038-0037-a.jpg
https://cdn.ncbi.nlm.nih.gov/pmc/blobs/4aea/1023992/ac0853747956/jclinpath00038-0037-b.jpg
https://cdn.ncbi.nlm.nih.gov/pmc/blobs/4aea/1023992/85c2d5cd1de4/jclinpath00038-0037-c.jpg
https://cdn.ncbi.nlm.nih.gov/pmc/blobs/4aea/1023992/bfcb024658e9/jclinpath00038-0039-a.jpg
https://cdn.ncbi.nlm.nih.gov/pmc/blobs/4aea/1023992/2a2d8ac7ec36/jclinpath00038-0039-b.jpg
https://cdn.ncbi.nlm.nih.gov/pmc/blobs/4aea/1023992/5aebc1c1767b/jclinpath00038-0039-c.jpg
https://cdn.ncbi.nlm.nih.gov/pmc/blobs/4aea/1023992/0be5652de4b7/jclinpath00038-0038-a.jpg
https://cdn.ncbi.nlm.nih.gov/pmc/blobs/4aea/1023992/fa9fccb36dac/jclinpath00038-0038-b.jpg
https://cdn.ncbi.nlm.nih.gov/pmc/blobs/4aea/1023992/8b7a8a83cae1/jclinpath00038-0038-c.jpg
https://cdn.ncbi.nlm.nih.gov/pmc/blobs/4aea/1023992/0439a4bc05e3/jclinpath00038-0038-d.jpg
https://cdn.ncbi.nlm.nih.gov/pmc/blobs/4aea/1023992/e513d7bbaca2/jclinpath00038-0040-a.jpg
https://cdn.ncbi.nlm.nih.gov/pmc/blobs/4aea/1023992/b41ab87ab344/jclinpath00038-0040-b.jpg
https://cdn.ncbi.nlm.nih.gov/pmc/blobs/4aea/1023992/9a7f1be3949b/jclinpath00038-0040-c.jpg
https://cdn.ncbi.nlm.nih.gov/pmc/blobs/4aea/1023992/0bf07be2e989/jclinpath00038-0040-d.jpg
https://cdn.ncbi.nlm.nih.gov/pmc/blobs/4aea/1023992/ad564750abd4/jclinpath00038-0036-a.jpg
https://cdn.ncbi.nlm.nih.gov/pmc/blobs/4aea/1023992/418bec33ad6c/jclinpath00038-0041-a.jpg
https://cdn.ncbi.nlm.nih.gov/pmc/blobs/4aea/1023992/7ea2cc9f1dd0/jclinpath00038-0041-b.jpg
https://cdn.ncbi.nlm.nih.gov/pmc/blobs/4aea/1023992/80e947648896/jclinpath00038-0042-a.jpg
https://cdn.ncbi.nlm.nih.gov/pmc/blobs/4aea/1023992/7d61ec82446d/jclinpath00038-0042-b.jpg
https://cdn.ncbi.nlm.nih.gov/pmc/blobs/4aea/1023992/a4dc4e0213b8/jclinpath00038-0043-a.jpg
https://cdn.ncbi.nlm.nih.gov/pmc/blobs/4aea/1023992/d9e401ead930/jclinpath00038-0043-b.jpg
https://cdn.ncbi.nlm.nih.gov/pmc/blobs/4aea/1023992/a834be058192/jclinpath00038-0037-a.jpg
https://cdn.ncbi.nlm.nih.gov/pmc/blobs/4aea/1023992/ac0853747956/jclinpath00038-0037-b.jpg
https://cdn.ncbi.nlm.nih.gov/pmc/blobs/4aea/1023992/85c2d5cd1de4/jclinpath00038-0037-c.jpg
https://cdn.ncbi.nlm.nih.gov/pmc/blobs/4aea/1023992/bfcb024658e9/jclinpath00038-0039-a.jpg
https://cdn.ncbi.nlm.nih.gov/pmc/blobs/4aea/1023992/2a2d8ac7ec36/jclinpath00038-0039-b.jpg
https://cdn.ncbi.nlm.nih.gov/pmc/blobs/4aea/1023992/5aebc1c1767b/jclinpath00038-0039-c.jpg
https://cdn.ncbi.nlm.nih.gov/pmc/blobs/4aea/1023992/0be5652de4b7/jclinpath00038-0038-a.jpg
https://cdn.ncbi.nlm.nih.gov/pmc/blobs/4aea/1023992/fa9fccb36dac/jclinpath00038-0038-b.jpg
https://cdn.ncbi.nlm.nih.gov/pmc/blobs/4aea/1023992/8b7a8a83cae1/jclinpath00038-0038-c.jpg
https://cdn.ncbi.nlm.nih.gov/pmc/blobs/4aea/1023992/0439a4bc05e3/jclinpath00038-0038-d.jpg
https://cdn.ncbi.nlm.nih.gov/pmc/blobs/4aea/1023992/e513d7bbaca2/jclinpath00038-0040-a.jpg
https://cdn.ncbi.nlm.nih.gov/pmc/blobs/4aea/1023992/b41ab87ab344/jclinpath00038-0040-b.jpg
https://cdn.ncbi.nlm.nih.gov/pmc/blobs/4aea/1023992/9a7f1be3949b/jclinpath00038-0040-c.jpg
https://cdn.ncbi.nlm.nih.gov/pmc/blobs/4aea/1023992/0bf07be2e989/jclinpath00038-0040-d.jpg
https://cdn.ncbi.nlm.nih.gov/pmc/blobs/4aea/1023992/ad564750abd4/jclinpath00038-0036-a.jpg
https://cdn.ncbi.nlm.nih.gov/pmc/blobs/4aea/1023992/418bec33ad6c/jclinpath00038-0041-a.jpg
https://cdn.ncbi.nlm.nih.gov/pmc/blobs/4aea/1023992/7ea2cc9f1dd0/jclinpath00038-0041-b.jpg
https://cdn.ncbi.nlm.nih.gov/pmc/blobs/4aea/1023992/80e947648896/jclinpath00038-0042-a.jpg
https://cdn.ncbi.nlm.nih.gov/pmc/blobs/4aea/1023992/7d61ec82446d/jclinpath00038-0042-b.jpg

相似文献

1
Developmental stages of embryo-like bodies in teratoma testis.睾丸畸胎瘤中类胚体的发育阶段。
J Clin Pathol. 1957 Feb;10(1):31-9. doi: 10.1136/jcp.10.1.31.
2
[Sex determination in cell nucleus for clarification of the pathogenesis of teratomas and testicular tumors].[细胞核中的性别决定用于阐明畸胎瘤和睾丸肿瘤的发病机制]
Z Krebsforsch. 1956;61(4):376-80.
3
Carcinoid tumor of the testis occurring in a cystic teratoma of the testis.睾丸类癌瘤发生于睾丸囊性畸胎瘤中。
J Urol. 1959 Sep;82:352-5. doi: 10.1016/S0022-5347(17)65892-0.
4
[A rare variant of testicular teratoma].
Urol Nefrol (Mosk). 1999 Mar-Apr(2):52-3.
5
Teratoma of the testis in a pubertal child.青春期男孩的睾丸畸胎瘤。
J Urol. 1985 Jan;133(1):105-6.
6
Metastatic teratoma of testis.睾丸转移性畸胎瘤。
Tex State J Med. 1953 Aug;49(8):606-8.
7
Teratoma testis.睾丸畸胎瘤
Med Rec Ann. 1946 May;40:1412-5.
8
Teratoma of testis.睾丸畸胎瘤
Antiseptic. 1946 Apr;43:229-32.
9
Teratoma testis: report of 100 consecutive cases.睾丸畸胎瘤:100例连续病例报告。
J Urol. 1954 Sep;72(3):404-10. doi: 10.1016/S0022-5347(17)67603-1.
10
Characterization of the model for experimental testicular teratoma in 129/SvJ-mice.129/SvJ小鼠实验性睾丸畸胎瘤模型的特征
Br J Cancer. 1999 Apr;80(1-2):149-60. doi: 10.1038/sj.bjc.6690334.

引用本文的文献

1
The first embryo, the origin of cancer and animal phylogeny. V. Cancer stem cells as the unifying biomechanical principle between embryology and oncology.首个胚胎、癌症起源与动物系统发育。五、癌症干细胞作为胚胎学与肿瘤学之间统一的生物力学原理。
Mechanobiol Med. 2024 Dec 5;3(1):100110. doi: 10.1016/j.mbm.2024.100110. eCollection 2025 Mar.
2
The first embryo, the origin of cancer and animal phylogeny. I. A presentation of the neoplastic process and its connection with cell fusion and germline formation.首个胚胎、癌症起源与动物系统发育。I. 肿瘤形成过程及其与细胞融合和种系形成的关联介绍。
Front Cell Dev Biol. 2023 Jan 4;10:1067248. doi: 10.3389/fcell.2022.1067248. eCollection 2022.
3

本文引用的文献

1
Testicular tumors; a clinicopathological study.睾丸肿瘤;一项临床病理研究。
Cancer. 1953 May;6(3):427-54. doi: 10.1002/1097-0142(195305)6:3<427::aid-cncr2820060302>3.0.co;2-u.
Polyembryoma of the testis: a report of two cases dominant within mixed germ cell tumors and review of gonadal polyembryomas.
睾丸多胚瘤:两个在混合性生殖细胞肿瘤中占主导地位的病例报告,并复习性腺多胚瘤。
Mod Pathol. 2017 Jul;30(7):908-918. doi: 10.1038/modpathol.2017.25. Epub 2017 Apr 21.
4
The differential diagnosis of testicular germ cell tumors in theory and practice. A critical analysis of two major systems of classifiction and review of 389 cases.睾丸生殖细胞肿瘤的理论与实践鉴别诊断。对两种主要分类系统的批判性分析及389例病例回顾。
Virchows Arch A Pathol Anat Histol. 1982 Aug;396(3):247-77. doi: 10.1007/BF00431386.
5
Origin, nature and significance of the "embryoids" of human teratomas.
Virchows Arch Pathol Anat Physiol Klin Med. 1965 Dec 21;340(2):105-21. doi: 10.1007/BF00958666.