Suppr超能文献

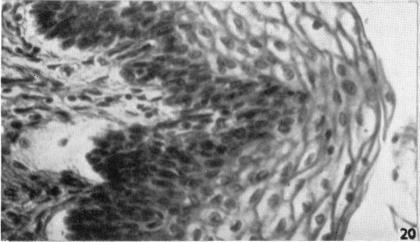
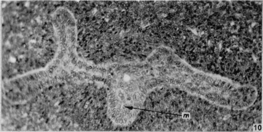
The development of the human vagina.

作者信息

BULMER D

出版信息

J Anat. 1957 Oct;91(4):490-509.

Abstract
摘要
https://cdn.ncbi.nlm.nih.gov/pmc/blobs/14d9/1244904/8e20957a3017/janat00454-0098-a.jpg

相似文献

1
The development of the human vagina.
J Anat. 1957 Oct;91(4):490-509.
3
Embryology and anatomy of the vagina.
Ann N Y Acad Sci. 1959 Nov 18;83:80-8. doi: 10.1111/j.1749-6632.1960.tb40885.x.
4
On the development of the hamster vagina.
Acta Anat (Basel). 1960;41:16-37. doi: 10.1159/000141603.
6
On the development of the rat vagina.
Acta Anat (Basel). 1959;37:106-25. doi: 10.1159/000141459.
7
On the development of the rabbit vagina.
Z Anat Entwicklungsgesch. 1961;122:459-81. doi: 10.1007/BF00523384.
9
The vagina.
Manit Med Rev. 1952 Jun-Jul;32(6):360-3.
10
Experimental contributions to the study of the embryology of the vagina.
Hum Reprod. 2006 Jun;21(6):1623-8. doi: 10.1093/humrep/del031. Epub 2006 Feb 13.

引用本文的文献

2
Organoids of the Female Reproductive Tract: Innovative Tools to Study Desired to Unwelcome Processes.
Front Cell Dev Biol. 2021 Apr 20;9:661472. doi: 10.3389/fcell.2021.661472. eCollection 2021.
3
Ontogeny of estrogen receptors in human male and female fetal reproductive tracts.
Differentiation. 2021 Mar-Apr;118:107-131. doi: 10.1016/j.diff.2020.10.001. Epub 2020 Oct 17.
4
Reproductive tract biology: Of mice and men.
Differentiation. 2019 Nov-Dec;110:49-63. doi: 10.1016/j.diff.2019.07.004. Epub 2019 Sep 6.
5
Immunohistochemical expression analysis of the human fetal lower urogenital tract.
Differentiation. 2018 Sep-Oct;103:100-119. doi: 10.1016/j.diff.2018.09.004. Epub 2018 Sep 19.
6
Development of the human female reproductive tract.
Differentiation. 2018 Sep-Oct;103:46-65. doi: 10.1016/j.diff.2018.09.001. Epub 2018 Sep 6.
7
Molecular mechanisms of development of the human fetal female reproductive tract.
Differentiation. 2017 Sep-Oct;97:54-72. doi: 10.1016/j.diff.2017.07.003. Epub 2017 Jul 29.
8
New insights into human female reproductive tract development.
Differentiation. 2017 Sep-Oct;97:9-22. doi: 10.1016/j.diff.2017.08.002. Epub 2017 Aug 11.
9
The great divide: septation and malformation of the cloaca, and its implications for surgeons.
Pediatr Surg Int. 2014 Nov;30(11):1089-95. doi: 10.1007/s00383-014-3593-8. Epub 2014 Sep 14.
10
Development of epithelial and mesenchymal regionalization of the human fetal utero-vaginal anlagen.
J Anat. 2013 Apr;222(4):462-72. doi: 10.1111/joa.12029. Epub 2013 Feb 13.

本文引用的文献

1
Morphology of the Human Urinogenital Tract.
J Anat Physiol. 1901 Apr;35(Pt 3):330-75.
3
5
[Normal and abnormal development of human vagina].
Anat Anz. 1955 Dec 21;102(15-17):270-8.
7
[The fate of the urogenital sinus in the woman].
Z Mikrosk Anat Forsch. 1952;59(1-3):6-28.
8
Development of the vagina in the human fetus.
Contrib Embryol. 1933 Sep;24(140):59-91.

文献AI研究员

20分钟写一篇综述,助力文献阅读效率提升50倍。

立即体验

用中文搜PubMed

大模型驱动的PubMed中文搜索引擎

马上搜索

文档翻译

学术文献翻译模型,支持多种主流文档格式。

立即体验