Suppr超能文献

AAUAAA上游信号和启动子近端在人类免疫缺陷病毒1型mRNA 3'末端形成调控中的相对作用

Relative roles of signals upstream of AAUAAA and promoter proximity in regulation of human immunodeficiency virus type 1 mRNA 3' end formation.

作者信息

DeZazzo J D, Scott J M, Imperiale M J

机构信息

Department of Microbiology and Immunology, University of Michigan Medical School, Ann Arbor 48109-0620.

出版信息

Mol Cell Biol. 1992 Dec;12(12):5555-62. doi: 10.1128/mcb.12.12.5555-5562.1992.

Abstract

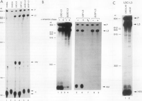
At least two mechanisms have been implicated in regulating poly(A) site use in human immunodeficiency virus type 1 (HIV-1): inhibition of basal signals within 500 nucleotides (nt) of the cap site, leading to specific suppression of the 5' poly(A) site, and stimulation of basal signals by long terminal repeat U3 sequences, leading to specific activation of the 3' poly(A) site. We determined the relative contributions of these mechanisms in a HeLa cell transcription/processing reaction and by transient transfection analysis. In vitro, the efficiency of basal signals is equivalent close to (270 nt) and far from (1,080 nt) the promoter and is stimulated at least 30-fold in both positions by upstream U3 sequences. In vivo, U3 sequences also enhance processing at both positions. There are two additional effects when the poly(A) site is close to the cap site: at least a 15-fold reduction in total RNA levels and a 5-fold decrease in relative levels of RNA processed at the HIV-1 site in constructs containing U3. Both effects are overcome by insertion of upstream splicing signals in an orientation-dependent manner. Splicing appears to influence poly(A)+ RNA levels by two distinct mechanisms: stabilizing nuclear transcripts and directly stimulating 3' end formation. It is proposed that upstream elements play major roles in regulating poly(A) site choice and in controlling the subsequent fate of polyadenylated RNA. The impact of these findings on mechanisms of mRNA biogenesis in the HIV-1 provirus is discussed.

摘要

至少有两种机制参与调节人类免疫缺陷病毒1型(HIV-1)中的聚腺苷酸化位点使用:抑制帽位点500个核苷酸(nt)内的基础信号,导致5'聚腺苷酸化位点的特异性抑制;长末端重复序列U3序列刺激基础信号,导致3'聚腺苷酸化位点的特异性激活。我们通过HeLa细胞转录/加工反应和瞬时转染分析确定了这些机制的相对贡献。在体外,基础信号的效率在接近(270 nt)和远离(1080 nt)启动子时相当,并且在上游U3序列的作用下,在这两个位置至少被刺激30倍。在体内,U3序列也增强了这两个位置的加工。当聚腺苷酸化位点靠近帽位点时,还有另外两种效应:在含有U3的构建体中,总RNA水平至少降低15倍,HIV-1位点加工的RNA相对水平降低5倍。通过以方向依赖的方式插入上游剪接信号,这两种效应都被克服。剪接似乎通过两种不同机制影响聚腺苷酸化RNA水平:稳定核转录本并直接刺激3'末端形成。有人提出上游元件在调节聚腺苷酸化位点选择和控制聚腺苷酸化RNA的后续命运中起主要作用。讨论了这些发现对HIV-1前病毒中mRNA生物合成机制的影响。

https://cdn.ncbi.nlm.nih.gov/pmc/blobs/4be1/360494/a0a479e0a07f/molcellb00135-0288-a.jpg

文献检索

告别复杂PubMed语法,用中文像聊天一样搜索,搜遍4000万医学文献。AI智能推荐,让科研检索更轻松。

立即免费搜索

文件翻译

保留排版,准确专业,支持PDF/Word/PPT等文件格式,支持 12+语言互译。

免费翻译文档

深度研究

AI帮你快速写综述,25分钟生成高质量综述,智能提取关键信息,辅助科研写作。

立即免费体验